Suppr超能文献

免疫功能低下个体中疱疹性食管炎的不寻常表现。

An Unusual Presentation of Herpes Esophagitis in an Immunocompromised Individual.

作者信息

Kataria Riya, D'Cruze Lawrence, Lal Tusharindra, Senthil N, Sundaram Sandhya

机构信息

Medicine, Sri Ramachandra Institute of Higher Education and Research, Chennai, IND.

Pathology, Sri Ramachandra Institute of Higher Education and Research, Chennai, IND.

出版信息

Cureus. 2021 Jun 14;13(6):e15635. doi: 10.7759/cureus.15635. eCollection 2021 Jun.

Abstract

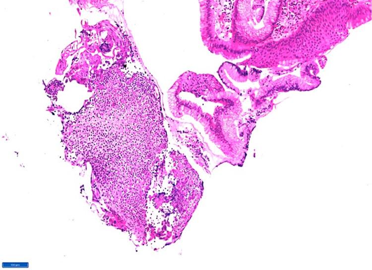
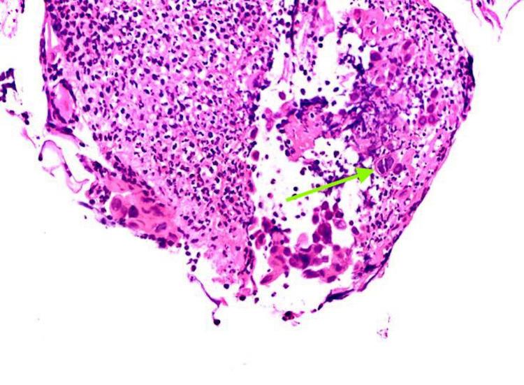
Herpes simplex infection remains the third most common cause of esophagitis following gastric reflux disease and candida infection. This disease usually occurs in immunocompromised individuals; however, it has been frequently reported in healthy individuals. We present a case of a 39-year-old man who presented to the ER with symptoms unusual of herpes esophagitis. He was presumed to be immunocompromised due to uncontrolled diabetes mellitus and chronic alcohol use. Endoscopy revealed features in favor of candidiasis; however, histopathology displayed characteristic features of herpes infection. Herpes esophagitis should thus be suspected in immunocompromised patients with an independent underlying pathology and treated early with antiviral agents like acyclovir to prevent impending complications.

摘要

单纯疱疹感染仍是继胃反流病和念珠菌感染之后食管炎的第三大常见病因。这种疾病通常发生在免疫功能低下的个体中;然而,在健康个体中也经常有病例报道。我们报告一例39岁男性患者,他因出现单纯疱疹性食管炎不常见的症状而就诊于急诊室。由于糖尿病控制不佳和长期酗酒,推测他免疫功能低下。内镜检查显示有念珠菌病的特征;然而,组织病理学表现出疱疹感染的特征性表现。因此,对于有独立基础疾病的免疫功能低下患者,应怀疑患有单纯疱疹性食管炎,并应尽早使用阿昔洛韦等抗病毒药物进行治疗,以预防即将出现的并发症。

https://cdn.ncbi.nlm.nih.gov/pmc/blobs/2a2c/8278358/a0c4f4aeb484/cureus-0013-00000015635-i01.jpg

文献AI研究员

20分钟写一篇综述,助力文献阅读效率提升50倍。

立即体验

用中文搜PubMed

大模型驱动的PubMed中文搜索引擎

马上搜索

文档翻译

学术文献翻译模型,支持多种主流文档格式。

立即体验