Suppr超能文献

急性卒中机械取栓术中明胶海绵栓塞治疗远端中等血管损伤:一例报告

Gelfoam embolization for distal, medium vessel injury during mechanical thrombectomy in acute stroke: A case report.

作者信息

Kang Ji Yun, Yi Kyung Sik, Cha Sang-Hoon, Choi Chi-Hoon, Kim Yook, Lee Jisun, Cho Bum Sang

机构信息

Department of Radiology, Chungbuk National University Hospital, Cheongju 28644, South Korea.

出版信息

World J Clin Cases. 2021 Jul 16;9(20):5668-5674. doi: 10.12998/wjcc.v9.i20.5668.

Abstract

BACKGROUND

Arterial perforation has inevitably increased as endovascular treatments have become more common for intracranial large vessel occlusions, and even distal, medium vessel occlusions. A distal, medium vessel has a tortuous course and thinner wall compared to large arteries, making it more susceptible to damage. Here, we review the treatment strategies for arterial perforation during mechanical thrombectomy, and we report the case of a patient treated with gelfoam embolization.

CASE SUMMARY

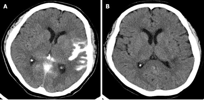
A 63-year-old woman presented to the emergency department with sudden neurologic symptoms of right hemiparesis and global aphasia. The initial National Institutes of Health Stroke Scale score was 15. Computed tomography (CT) and CT angiography revealed hyperacute infarction and emergent arterial occlusion of the left middle cerebral artery M2-3 portion. During endovascular mechanical thrombectomy, arterial rupture occurred. The patient's vital signs were stable, but delayed angiography showed persistent active bleeding. Therefore, selective embolization of the injured artery was performed using gelfoam. Subsequent left vertebral and internal carotid angiography was performed to confirm hemostasis. A localized subarachnoid hemorrhage (SAH) was confirmed on a follow-up CT scan. A repeated CT scan after 12 d showed resolution of the SAH, and rebleeding did not occur.

CONCLUSION

Rescue embolization with gelfoam could be considered an additional option in distal, medium vessel perforation.

摘要

背景

随着血管内治疗在颅内大血管闭塞甚至远端中等血管闭塞中变得越来越普遍,动脉穿孔的情况不可避免地增加了。与大动脉相比,远端中等血管走行迂曲且管壁较薄,使其更容易受到损伤。在此,我们回顾了机械取栓过程中动脉穿孔的治疗策略,并报告了一例接受明胶海绵栓塞治疗的患者。

病例摘要

一名63岁女性因突发右侧偏瘫和完全性失语的神经系统症状就诊于急诊科。最初的美国国立卫生研究院卒中量表评分为15分。计算机断层扫描(CT)和CT血管造影显示超急性梗死以及左大脑中动脉M2 - 3段的急性动脉闭塞。在血管内机械取栓过程中,发生了动脉破裂。患者生命体征稳定,但延迟血管造影显示持续活动性出血。因此,使用明胶海绵对受损动脉进行了选择性栓塞。随后进行了左侧椎动脉和颈内动脉血管造影以确认止血情况。随访CT扫描证实有局限性蛛网膜下腔出血(SAH)。12天后重复CT扫描显示SAH已消退,且未发生再出血。

结论

对于远端中等血管穿孔,可考虑将明胶海绵抢救性栓塞作为一种额外的选择。

https://cdn.ncbi.nlm.nih.gov/pmc/blobs/2130/8281413/55d07a5c2735/WJCC-9-5668-g001.jpg

文献AI研究员

20分钟写一篇综述,助力文献阅读效率提升50倍。

立即体验

用中文搜PubMed

大模型驱动的PubMed中文搜索引擎

马上搜索

文档翻译

学术文献翻译模型,支持多种主流文档格式。

立即体验