Suppr超能文献

两颗心脏面临风险:一名失代偿性肥厚型梗阻性心肌病孕妇的紧急酒精间隔消融术

Two Hearts at Risk: Emergency Alcohol Septal Ablation in a Pregnant Woman With Decompensated HOCM.

作者信息

Gi Weng-Tein, Amr Ali, Sedaghat-Hamedani Farbod, Kayvanpour Elham, Mohr Isabell, Meder Manuela, Shirvani Samani Omid, Fluhr Herbert, Katus Hugo A, Meder Benjamin

机构信息

Institute for Cardiomyopathy, Department of Medicine III, University of Heidelberg, Heidelberg, Germany.

DZHK (German Centre for Cardiovascular Research), Heidelberg/Mannheim, Germany.

出版信息

JACC Case Rep. 2020 Jan 15;2(1):139-144. doi: 10.1016/j.jaccas.2019.11.053. eCollection 2020 Jan.

Abstract

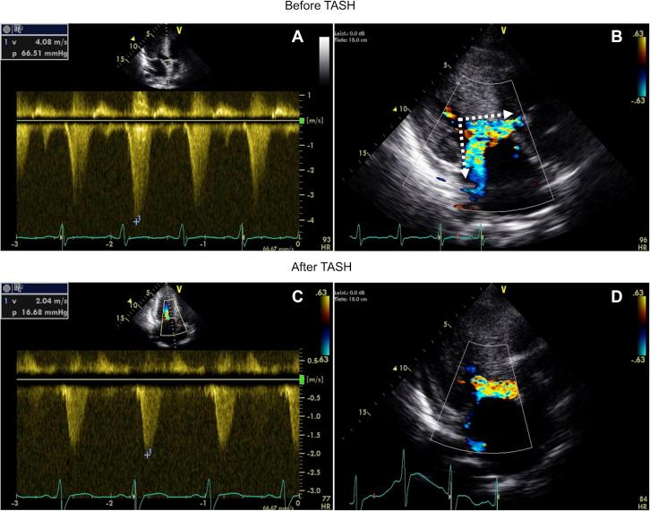
Hypertrophic obstructive cardiomyopathy (HOCM) increases the risk for mother and fetus during pregnancy. Alcohol septal ablation (ASA) is an established procedure in nonpregnant patients with HOCM. In this report, we present a case of a 29-year-old woman in her 29th gestational week with decompensated HOCM undergoing a successful ASA. ().

摘要

肥厚型梗阻性心肌病(HOCM)在孕期会增加母亲和胎儿的风险。酒精室间隔消融术(ASA)是针对非妊娠HOCM患者的既定治疗方法。在本报告中,我们介绍了一例29岁、孕29周、失代偿性HOCM的女性患者成功接受酒精室间隔消融术的病例。()

https://cdn.ncbi.nlm.nih.gov/pmc/blobs/c1e5/8301529/a69f86321ff1/fx1.jpg

文献检索

告别复杂PubMed语法,用中文像聊天一样搜索,搜遍4000万医学文献。AI智能推荐,让科研检索更轻松。

立即免费搜索

文件翻译

保留排版,准确专业,支持PDF/Word/PPT等文件格式,支持 12+语言互译。

免费翻译文档

深度研究

AI帮你快速写综述,25分钟生成高质量综述,智能提取关键信息,辅助科研写作。

立即免费体验