• 文献检索
  • 文档翻译
  • 深度研究
  • 学术资讯
  • Suppr Zotero 插件Zotero 插件
  • 邀请有礼
  • 套餐&价格
  • 历史记录
应用&插件
Suppr Zotero 插件Zotero 插件浏览器插件Mac 客户端Windows 客户端微信小程序
定价
高级版会员购买积分包购买API积分包
服务
文献检索文档翻译深度研究API 文档MCP 服务
关于我们
关于 Suppr公司介绍联系我们用户协议隐私条款
关注我们

Suppr 超能文献

核心技术专利:CN118964589B侵权必究
粤ICP备2023148730 号-1Suppr @ 2026

文献检索

告别复杂PubMed语法,用中文像聊天一样搜索,搜遍4000万医学文献。AI智能推荐,让科研检索更轻松。

立即免费搜索

文件翻译

保留排版,准确专业,支持PDF/Word/PPT等文件格式,支持 12+语言互译。

免费翻译文档

深度研究

AI帮你快速写综述,25分钟生成高质量综述,智能提取关键信息,辅助科研写作。

立即免费体验

结肠髓样癌:一项组织病理学挑战。

Medullary Carcinoma of the Colon: A Histopathologic Challenge.

作者信息

Fatima Zainab, Sharma Purva, Youssef Bahaaeldin, Krishnan Koyamangalath

机构信息

Internal Medicine, East Tennessee State University, Johnson City, USA.

Medical Oncology, East Tennessee State University, Johnson City, USA.

出版信息

Cureus. 2021 Jun 22;13(6):e15831. doi: 10.7759/cureus.15831. eCollection 2021 Jun.

DOI:10.7759/cureus.15831
PMID:34327072
原文链接:https://pmc.ncbi.nlm.nih.gov/articles/PMC8301270/
Abstract

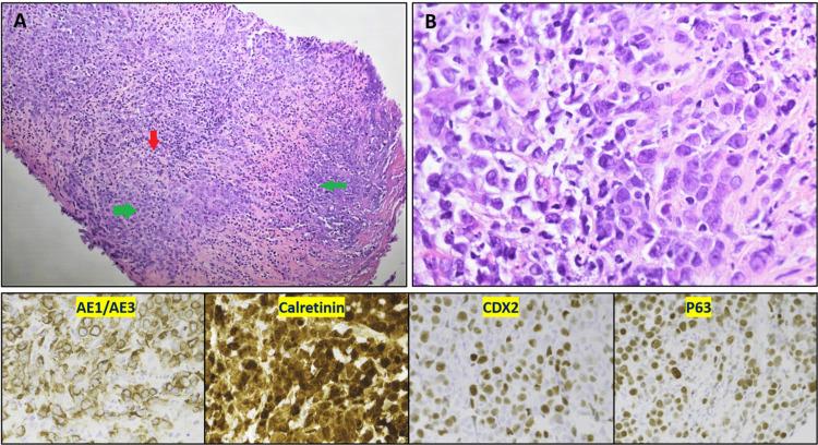
Medullary carcinoma (MC) of the colon is a rare and unique histologic subtype of colorectal cancer. It is commonly associated with deficient mismatch repair proteins and has a strong association with Lynch syndrome. Diagnosis is challenging as it does not have the usual immunohistochemical stains on pathology seen in colorectal adenocarcinoma. Here, we discuss an interesting case of MC of the colon that was metastatic on presentation and constituted a diagnostic challenge.

摘要

结肠髓样癌(MC)是一种罕见且独特的结直肠癌组织学亚型。它通常与错配修复蛋白缺陷相关,并且与林奇综合征密切相关。由于其在病理检查中没有结直肠腺癌常见的免疫组化染色表现,因此诊断具有挑战性。在此,我们讨论一例有趣的结肠髓样癌病例,该病例在初诊时已发生转移,构成了诊断难题。

https://cdn.ncbi.nlm.nih.gov/pmc/blobs/845b/8301270/c738f764a43d/cureus-0013-00000015831-i05.jpg
https://cdn.ncbi.nlm.nih.gov/pmc/blobs/845b/8301270/0a6aba441230/cureus-0013-00000015831-i01.jpg
https://cdn.ncbi.nlm.nih.gov/pmc/blobs/845b/8301270/01b36fe94270/cureus-0013-00000015831-i02.jpg
https://cdn.ncbi.nlm.nih.gov/pmc/blobs/845b/8301270/f92283f6cf26/cureus-0013-00000015831-i03.jpg
https://cdn.ncbi.nlm.nih.gov/pmc/blobs/845b/8301270/21ae45334c4d/cureus-0013-00000015831-i04.jpg
https://cdn.ncbi.nlm.nih.gov/pmc/blobs/845b/8301270/c738f764a43d/cureus-0013-00000015831-i05.jpg
https://cdn.ncbi.nlm.nih.gov/pmc/blobs/845b/8301270/0a6aba441230/cureus-0013-00000015831-i01.jpg
https://cdn.ncbi.nlm.nih.gov/pmc/blobs/845b/8301270/01b36fe94270/cureus-0013-00000015831-i02.jpg
https://cdn.ncbi.nlm.nih.gov/pmc/blobs/845b/8301270/f92283f6cf26/cureus-0013-00000015831-i03.jpg
https://cdn.ncbi.nlm.nih.gov/pmc/blobs/845b/8301270/21ae45334c4d/cureus-0013-00000015831-i04.jpg
https://cdn.ncbi.nlm.nih.gov/pmc/blobs/845b/8301270/c738f764a43d/cureus-0013-00000015831-i05.jpg

相似文献

1
Medullary Carcinoma of the Colon: A Histopathologic Challenge.结肠髓样癌:一项组织病理学挑战。
Cureus. 2021 Jun 22;13(6):e15831. doi: 10.7759/cureus.15831. eCollection 2021 Jun.
2
A Case of Medullary Carcinoma of Colon Morphologically Resembling Non-Hodgkin's Lymphoma.1例形态学上类似非霍奇金淋巴瘤的结肠髓样癌
Indian J Surg Oncol. 2024 Mar;15(1):177-180. doi: 10.1007/s13193-023-01872-z. Epub 2024 Jan 5.
3
Stage II Medullary Carcinoma of the Colon: A Surgery Case Report.结肠II期髓样癌:一例手术病例报告
Cureus. 2023 Dec 17;15(12):e50674. doi: 10.7759/cureus.50674. eCollection 2023 Dec.
4
Immunohistochemical detection of ARID1A in colorectal carcinoma: loss of staining is associated with sporadic microsatellite unstable tumors with medullary histology and high TNM stage.结直肠癌中ARID1A的免疫组织化学检测:染色缺失与具有髓样组织学和高TNM分期的散发性微卫星不稳定肿瘤相关。
Hum Pathol. 2014 Dec;45(12):2430-6. doi: 10.1016/j.humpath.2014.08.007. Epub 2014 Sep 2.
5
Microsatellite Instability in Medullary Carcinoma of the Colon.结肠髓样癌中的微卫星不稳定性
Rare Tumors. 2017 Mar 30;9(1):6541. doi: 10.4081/rt.2017.6541. eCollection 2017 Mar 24.
6
Prevalence of Lynch syndrome among patients with upper urinary tract carcinoma in a Japanese hospital-based population.在一家日本医院人群中,上尿路尿路上皮癌患者中林奇综合征的患病率。
Jpn J Clin Oncol. 2020 Jan 24;50(1):80-88. doi: 10.1093/jjco/hyz140.
7
Medullary carcinoma of the duodenum treated with pembrolizumab: a case report.帕博利珠单抗治疗十二指肠髓样癌:一例报告
J Gastrointest Oncol. 2023 Apr 29;14(2):1149-1154. doi: 10.21037/jgo-22-755. Epub 2023 Mar 6.
8
Gastric Medullary Carcinoma with Sporadic Mismatch Repair Deficiency and a R273C Mutation: An Unusual Case with Wild-Type .伴有散发性错配修复缺陷及R273C突变的胃髓样癌:一例罕见的野生型病例
Case Rep Pathol. 2017;2017:3427343. doi: 10.1155/2017/3427343. Epub 2017 Aug 3.
9
Mismatch repair deficiency screening in colorectal carcinoma by a four-antibody immunohistochemical panel in Pakistani population and its correlation with histopathological parameters.采用四抗体免疫组织化学检测法对巴基斯坦人群结直肠癌错配修复缺陷进行筛查及其与组织病理学参数的相关性研究
World J Surg Oncol. 2017 Jun 26;15(1):116. doi: 10.1186/s12957-017-1158-8.
10
Choroidal Mucinous Metastatic Adenocarcinoma from the Colon: A Diagnostic Challenge.来自结肠的脉络膜黏液性转移性腺癌:一项诊断挑战。
Ocul Oncol Pathol. 2019 Jan;5(1):66-74. doi: 10.1159/000487598. Epub 2018 Jun 27.

引用本文的文献

1
Medullary Carcinoma of the Colon: Not as Favourable as Previously Thought?结肠髓样癌:并非如先前认为的那般预后良好?
J Gastrointest Cancer. 2025 Sep 11;56(1):185. doi: 10.1007/s12029-025-01304-x.
2
Medullary carcinoma of the left colon in a 16-year-old male: an extremely rare case report from Syria.一名16岁男性的左半结肠癌:叙利亚的一例极为罕见的病例报告。
Ann Med Surg (Lond). 2025 Feb 27;87(3):1741-1745. doi: 10.1097/MS9.0000000000003065. eCollection 2025 Mar.
3
Robotic Resection of Colonic Medullary Carcinoma: A Case Report.

本文引用的文献

1
Colorectal Carcinomas With Isolated Loss of PMS2 Staining by Immunohistochemistry.免疫组织化学染色 PMS2 单独缺失的结直肠癌。
Arch Pathol Lab Med. 2018 Apr;142(4):523-528. doi: 10.5858/arpa.2017-0156-OA. Epub 2018 Jan 16.
2
Medullary colonic carcinoma with microsatellite instability has lower survival compared with conventional colonic adenocarcinoma with microsatellite instability.与具有微卫星不稳定性的传统结肠腺癌相比,具有微卫星不稳定性的髓样结肠癌生存率更低。
Prz Gastroenterol. 2017;12(3):208-214. doi: 10.5114/pg.2016.64740. Epub 2016 Dec 20.
3
Microsatellite Instability in Medullary Carcinoma of the Colon.
机器人辅助结肠髓样癌切除术:一例报告
Cureus. 2025 Feb 25;17(2):e79624. doi: 10.7759/cureus.79624. eCollection 2025 Feb.
4
Primary medullary adenocarcinoma of the colon: Literature review and case series.结肠原发性髓样腺癌:文献综述与病例系列
Surg Pract Sci. 2024 Jul 4;19:100254. doi: 10.1016/j.sipas.2024.100254. eCollection 2024 Dec.
5
Stage II Medullary Carcinoma of the Colon: A Surgery Case Report.结肠II期髓样癌:一例手术病例报告
Cureus. 2023 Dec 17;15(12):e50674. doi: 10.7759/cureus.50674. eCollection 2023 Dec.
6
Colonic medullary carcinoma: an exceedingly rare type of colorectal malignancy: a case report and review of the literature.结状髓质样癌:一种非常罕见的结直肠恶性肿瘤:病例报告及文献复习。
J Med Case Rep. 2023 Oct 18;17(1):434. doi: 10.1186/s13256-023-04160-0.
7
Clinical and Molecular Characteristics of Rare Malignant Tumors of Colon and Rectum.结肠和直肠罕见恶性肿瘤的临床及分子特征
Biology (Basel). 2022 Feb 8;11(2):267. doi: 10.3390/biology11020267.
结肠髓样癌中的微卫星不稳定性
Rare Tumors. 2017 Mar 30;9(1):6541. doi: 10.4081/rt.2017.6541. eCollection 2017 Mar 24.
4
Medullary carcinoma in the colorectum: a systematic review and meta-analysis.结直肠髓样癌:一项系统评价与荟萃分析
Hum Pathol. 2016 Jul;53:91-6. doi: 10.1016/j.humpath.2016.02.018. Epub 2016 Mar 19.
5
Medullary carcinoma of the colon: a distinct morphology reveals a distinctive immunoregulatory microenvironment.结肠髓样癌:独特的形态揭示独特的免疫调节微环境。
Mod Pathol. 2016 May;29(5):528-41. doi: 10.1038/modpathol.2016.54. Epub 2016 Mar 11.
6
Medullary colorectal carcinoma revisited: a clinical and pathological study of 102 cases.髓样结直肠癌再探讨:102例临床与病理研究
Ann Surg Oncol. 2015 Sep;22(9):2988-96. doi: 10.1245/s10434-014-4355-5. Epub 2015 Jan 9.
7
Medullary colon cancer presenting with total necrosis of all regional lymph node metastases: morphologic description of a presumed immune-mediated event.表现为所有区域淋巴结转移灶完全坏死的髓样结肠癌:对一种推测的免疫介导事件的形态学描述
Diagn Pathol. 2014 Oct 22;9:204. doi: 10.1186/s13000-014-0204-x.
8
Medullary carcinoma of the colon: a case series and review of the literature.结肠髓样癌:病例系列及文献综述
In Vivo. 2014 May-Jun;28(3):311-4.
9
Cadherin-17 and SATB2 are sensitive and specific immunomarkers for medullary carcinoma of the large intestine.钙黏蛋白-17 和 SATB2 是大肠神经内分泌癌的敏感且特异的免疫标志物。
Arch Pathol Lab Med. 2014 Aug;138(8):1015-26. doi: 10.5858/arpa.2013-0452-OA. Epub 2014 Jan 17.
10
Medullary carcinoma of the large intestine: a population based analysis.大肠髓样癌:一项基于人群的分析。
Int J Oncol. 2010 Oct;37(4):901-7. doi: 10.3892/ijo_00000741.