Suppr超能文献

采用偏心螺钉技术治疗非老年患者的股骨颈垂直骨折可增强断端间稳定性并改善临床预后。

Enhanced interfragmentary stability and improved clinical prognosis with use of the off-axis screw technique to treat vertical femoral neck fractures in nongeriatric patients.

机构信息

Department of Orthopedic Surgery and Orthopedic Biomechanical Laboratory, Shanghai Jiao Tong University Affiliated Sixth People's Hospital, Shanghai, 200233, People's Republic of China.

出版信息

J Orthop Surg Res. 2021 Jul 31;16(1):473. doi: 10.1186/s13018-021-02619-8.

Abstract

BACKGROUND

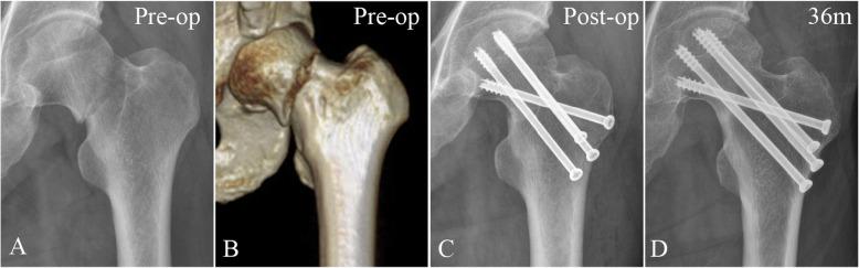
The optimal internal fixation strategy for vertical femoral neck fractures (VFNFs) in nongeriatric patients remains uncertain. Therefore, the purpose of this study was to compare the clinical prognoses and underlying mechanical characteristics of a novel off-axis screw technique with dynamic hip screws (DHSs) and three traditional parallel screws.

METHODS

This study included a clinical investigation and a patient-specific finite element analysis (FEA). In the clinical investigation, VFNF patients were grouped by fixation type: (1) use of three parallel screws (G-TRI); (2) augmentation with an off-axis screw (G-ALP); and (3) DHS with an anti-rotational screw (G-DHS). Fixation failures (nonunion, femoral neck shortening (FNS), varus deformation, screw cut-out) and avascular necrosis (AVN) consequent to the three types of fixations were compared. In the FEA, twenty-four fixation models with the three fixation types were created based on the data of eight healthy volunteers. Models were assessed under walking conditions. Stiffness, interfragmentary motion (IFM), and implant stress were evaluated.

RESULTS

In the clinical investigation, the fixation failure rate was significantly (p < 0.05) lower in G-ALP (18.5%) than in G-DHS (37.5%) and G-TRI (39.3%). No significant difference in AVN was observed among the three fixation groups. In the FEA, stiffness and implant stress in the G-DHS models were significantly (p < 0.05) higher, and the IFM of G-ALP was significantly (p < 0.05) lower among the groups.

CONCLUSIONS

Among fixation types for VFNFs, the off-axis screw technique exhibited better interfragmentary stability (lowest IFM) and a lower fixation failure rate (especially FNS). Analyzing interfragmentary stability in biomechanical experiments is more consistent with clinical prognosis than construct stability for VFNFs, suggesting that internal fixations should aim for this outcome.

摘要

背景

非老年患者垂直股骨颈骨折(VFNF)的最佳内固定策略仍不确定。因此,本研究的目的是比较新型偏心螺钉技术与动力髋螺钉(DHS)和三种传统平行螺钉的临床预后和潜在力学特性。

方法

本研究包括临床调查和患者特定的有限元分析(FEA)。在临床调查中,根据固定类型将 VFNF 患者分为三组:(1)使用三根平行螺钉(G-TRI);(2)使用偏心螺钉增强(G-ALP);(3)使用带有抗旋转螺钉的 DHS(G-DHS)。比较三种固定方式的固定失败(不愈合、股骨颈缩短(FNS)、内翻变形、螺钉切出)和随后发生的股骨头坏死(AVN)。在 FEA 中,根据 8 名健康志愿者的数据,建立了 24 种三种固定类型的固定模型。在行走条件下评估模型。评估了刚度、断端间运动(IFM)和植入物应力。

结果

在临床研究中,G-ALP 的固定失败率(18.5%)明显低于 G-DHS(37.5%)和 G-TRI(39.3%)(p<0.05)。三组固定方式之间 AVN 无显著差异。在 FEA 中,G-DHS 模型的刚度和植入物应力明显较高(p<0.05),G-ALP 模型的 IFM 明显较低(p<0.05)。

结论

在 VFNF 的固定方式中,偏心螺钉技术表现出更好的断端稳定性(最低 IFM)和较低的固定失败率(尤其是 FNS)。在生物力学实验中分析断端稳定性与 VFNF 的临床预后更一致,表明内固定应以此为目标。

https://cdn.ncbi.nlm.nih.gov/pmc/blobs/4e02/8325251/331a87a8befc/13018_2021_2619_Fig1_HTML.jpg

文献AI研究员

20分钟写一篇综述,助力文献阅读效率提升50倍。

立即体验

用中文搜PubMed

大模型驱动的PubMed中文搜索引擎

马上搜索

文档翻译

学术文献翻译模型,支持多种主流文档格式。

立即体验