Suppr超能文献

2019冠状病毒病中的肺栓塞:无声杀手。

Pulmonary embolism in coronavirus disease 2019: the silent killer.

作者信息

Marwah Vikas, Peter Deepu K, Malik Virender, Mishra Satish Chandra, Kumar Tentu Ajai, Kumar Arvind, Bhati Gaurav, Kumar Nikhil, Singh Shalendra, Choudhary Robin

机构信息

Professor & Head (Pulmonary, Critical Care & Sleep Medicine), Army Institute of Cardiothoracic Sciences (AICTS), Pune, India.

Graded Specialist (Pulmonary, Critical Care & Sleep Medicine), Army Institute of Cardiothoracic Sciences (AICTS), Pune, India.

出版信息

Med J Armed Forces India. 2021 Jul;77(Suppl 2):S312-S318. doi: 10.1016/j.mjafi.2021.03.025. Epub 2021 Jul 26.

Abstract

BACKGROUND

Pulmonary embolism (PE) has been identified as one of the deadliest complications of coronavirus disease 2019 (COVID-19), especially in patients admitted to the intensive care unit (ICU). Western literature reminds us of the high prevalence of PE in COVID. Here, we report a series of 13 cases of PE diagnosed and managed at our hospital.

METHODS

Retrospective analysis of medical records of 13 cases of PE admitted at our hospital from February 1, 2020, to September 31, 2020, were done. Their clinical, laboratory, and radiologic data were assessed in detail.

RESULTS

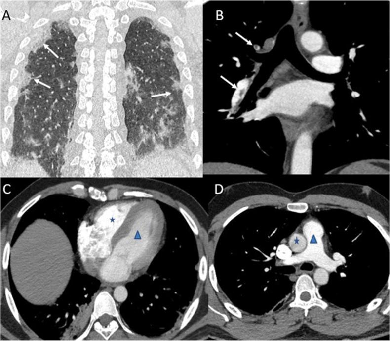
Computed tomography pulmonary arteriography was used to make the diagnosis in eight patients (61.53%), and clinical findings with corroborative ultrasound and laboratory parameters were used to label PE in five patients (38.46%). Five patients were hemodynamically unstable, requiring thrombolysis with recombinant tissue plasminogen activator, and four patients (30.76%) suffered a fatal outcome.

CONCLUSION

COVID-19 is a highly prothrombotic state, and all physicians should keep a high vigilance for PE. All hospitalized patients with COVID-19, especially those admitted in ICU, should be on prophylactic anticoagulation and, if there is any worsening, should be started on therapeutic regimen. Patients at the time of discharge should be switched to oral anticoagulation, which should be continued for at least 3-6 months.

摘要

背景

肺栓塞(PE)已被确定为2019冠状病毒病(COVID-19)最致命的并发症之一,尤其是在入住重症监护病房(ICU)的患者中。西方文献提醒我们COVID中PE的高患病率。在此,我们报告我院诊断和管理的一系列13例PE病例。

方法

对我院2020年2月1日至2020年9月31日收治的13例PE患者的病历进行回顾性分析。详细评估了他们的临床、实验室和放射学数据。

结果

8例患者(61.53%)通过计算机断层扫描肺动脉造影进行诊断,5例患者(38.46%)通过临床检查结果结合超声和实验室参数确诊为PE。5例患者血流动力学不稳定,需要用重组组织型纤溶酶原激活剂进行溶栓治疗,4例患者(30.76%)死亡。

结论

COVID-19是一种高凝状态,所有医生都应高度警惕PE。所有住院的COVID-19患者,尤其是入住ICU的患者,都应进行预防性抗凝治疗,如果病情恶化,应开始进行治疗方案。出院时患者应改用口服抗凝药,并应持续至少3至6个月。

https://cdn.ncbi.nlm.nih.gov/pmc/blobs/e845/8346806/cfb27d97fb6d/gr1.jpg

文献检索

告别复杂PubMed语法,用中文像聊天一样搜索,搜遍4000万医学文献。AI智能推荐,让科研检索更轻松。

立即免费搜索

文件翻译

保留排版,准确专业,支持PDF/Word/PPT等文件格式,支持 12+语言互译。

免费翻译文档

深度研究

AI帮你快速写综述,25分钟生成高质量综述,智能提取关键信息,辅助科研写作。

立即免费体验