Suppr超能文献

感染与缺血性结肠炎的罕见临床关联:病例报告及文献复习。

Rare Clinical Association between Infection and Ischemic Colitis: Case Report and Literature Review.

机构信息

Department of Gastroenterology, "Elias" Emergency University Hospital, 011461 Bucharest, Romania.

Department of Gastroenterology, "Carol Davila" University of Medicine and Pharmacy, 020021 Bucharest, Romania.

出版信息

Medicina (Kaunas). 2021 Jul 11;57(7):705. doi: 10.3390/medicina57070705.

Abstract

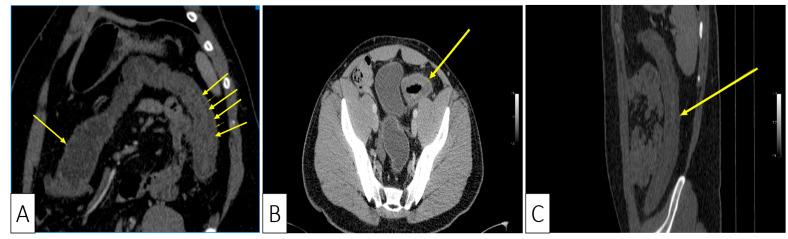
Gut microbiota plays an important role in the wellbeing of the host through different interactions between microflora constituents. In certain instances, may pullulate, causing infection with associated colitis that may vary in terms of severity from mild disease to severe colitis, with increased associated mortality due to its complications. However, there are few literature data regarding the association between and ischemic colitis. We report the case of a 30-year-old male patient, overweight, with impending dehydration, who presented with hematochezia and colicky abdominal pain, with positive fecal tests for the detection of infection and endoscopic appearance suggesting ischemic colitis in the sigmoid and left colon, confirmed by computed tomography and histology. The patient was treated with oral Vancomycin, with resolution of symptoms, and was reevaluated through colonoscopy eight weeks after discharge, with endoscopic mucosal normalization and histological scarring process on biopsy samples. We report one of the few cases in the literature of ischemic colitis associated with infection, with resolution of clinical, endoscopic, and histologic changes after specific treatment with oral Vancomycin suggesting a possible association between the two diseases. We also review the existing literature data regarding this comorbid association.

摘要

肠道微生物群通过微生物组成部分之间的不同相互作用对宿主的健康起着重要作用。在某些情况下,可能会过度生长,导致感染相关结肠炎,其严重程度从轻度疾病到重度结肠炎不等,并因并发症而导致死亡率增加。然而,关于 和缺血性结肠炎之间的关联的文献数据很少。我们报告了一例 30 岁男性患者,超重,有脱水的危险,出现血便和痉挛性腹痛,粪便检测呈阳性,提示感染 和内镜表现提示乙状结肠和左结肠缺血性结肠炎,计算机断层扫描和组织学证实。患者接受口服万古霉素治疗,症状缓解,出院后 8 周通过结肠镜检查重新评估,内镜黏膜正常化和活检样本的组织瘢痕过程。我们报告了文献中少数几例与 感染相关的缺血性结肠炎病例之一,经口服万古霉素特异性治疗后临床、内镜和组织学改变得到缓解,提示这两种疾病之间可能存在关联。我们还回顾了关于这种合并症关联的现有文献数据。

https://cdn.ncbi.nlm.nih.gov/pmc/blobs/47ef/8307989/323d59fb9166/medicina-57-00705-g001.jpg

文献检索

告别复杂PubMed语法,用中文像聊天一样搜索,搜遍4000万医学文献。AI智能推荐,让科研检索更轻松。

立即免费搜索

文件翻译

保留排版,准确专业,支持PDF/Word/PPT等文件格式,支持 12+语言互译。

免费翻译文档

深度研究

AI帮你快速写综述,25分钟生成高质量综述,智能提取关键信息,辅助科研写作。

立即免费体验