• 文献检索
  • 文档翻译
  • 深度研究
  • 学术资讯
  • Suppr Zotero 插件Zotero 插件
  • 邀请有礼
  • 套餐&价格
  • 历史记录
应用&插件
Suppr Zotero 插件Zotero 插件浏览器插件Mac 客户端Windows 客户端微信小程序
定价
高级版会员购买积分包购买API积分包
服务
文献检索文档翻译深度研究API 文档MCP 服务
关于我们
关于 Suppr公司介绍联系我们用户协议隐私条款
关注我们

Suppr 超能文献

核心技术专利:CN118964589B侵权必究
粤ICP备2023148730 号-1Suppr @ 2026

文献检索

告别复杂PubMed语法,用中文像聊天一样搜索,搜遍4000万医学文献。AI智能推荐,让科研检索更轻松。

立即免费搜索

文件翻译

保留排版,准确专业,支持PDF/Word/PPT等文件格式,支持 12+语言互译。

免费翻译文档

深度研究

AI帮你快速写综述,25分钟生成高质量综述,智能提取关键信息,辅助科研写作。

立即免费体验

前列腺动脉栓塞术的先进图像引导——一份多中心技术说明。

Advanced image guidance for prostatic artery embolization - a multicenter technical note.

作者信息

Carnevale Francisco Cesar, McClure Timothy, Cadour Farah, Vidal Vincent, de Assis André Moreira, Moreira Airton Mota, Rocha Arthur Diego Dias, Rebet Aya, Nutting Charles

机构信息

Department of Radiology, University of Sao Paulo Medical School, Av. Dr. Enéas Carvalho de Aguiar, 255, São Paulo, SP, 05403-000, Brazil.

Weill Cornell Medicine, New York, NY, USA.

出版信息

CVIR Endovasc. 2021 Aug 10;4(1):63. doi: 10.1186/s42155-021-00249-z.

DOI:10.1186/s42155-021-00249-z
PMID:34374875
原文链接:https://pmc.ncbi.nlm.nih.gov/articles/PMC8355292/
Abstract

BACKGROUND

Prostatic artery embolization (PAE) is associated with patients' quality of life improvements and limited side effects compared to surgery. However, this procedure remains technically challenging due to complex vasculature, anatomical variations and small arteries, inducing long procedure times and high radiation exposure levels both to patients and medical staff. Moreover, the risk of non-target embolization can lead to relevant complications. In this context, advanced imaging can constitute a solid ally to address these challenges and deliver good clinical outcomes at acceptable radiation levels.

MAIN TEXT

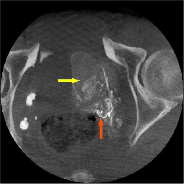
This technical note aims to share the consolidated experience of four institutions detailing their optimized workflow using advanced image guidance, discussing variants, and sharing their best practices to reach a consensus standardized imaging workflow for PAE procedure, as well as pre and post-operative imaging.

CONCLUSIONS

This technical note puts forth a consensus optimized imaging workflow and best practices, with the hope of helping drive adoption of the procedure, deliver good clinical outcomes, and minimize radiation dose levels and contrast media injections while making PAE procedures shorter and safer.

摘要

背景

与手术相比,前列腺动脉栓塞术(PAE)可改善患者生活质量且副作用有限。然而,由于血管系统复杂、解剖变异以及动脉细小,该手术在技术上仍具有挑战性,导致手术时间长,患者和医护人员所受辐射暴露水平高。此外,非靶栓塞风险可能导致相关并发症。在此背景下,先进成像技术可成为应对这些挑战并在可接受的辐射水平下实现良好临床结果的有力帮手。

正文

本技术说明旨在分享四个机构的综合经验,详细介绍它们使用先进图像引导的优化工作流程,讨论变异情况,并分享最佳实践,以达成PAE手术以及术前和术后成像的共识标准化成像工作流程。

结论

本技术说明提出了一种共识优化成像工作流程和最佳实践,希望有助于推动该手术的应用,实现良好临床结果,在缩短PAE手术时间并使其更安全的同时,将辐射剂量水平和造影剂注射量降至最低。

https://cdn.ncbi.nlm.nih.gov/pmc/blobs/c18b/8355292/607421d477d0/42155_2021_249_Fig4_HTML.jpg
https://cdn.ncbi.nlm.nih.gov/pmc/blobs/c18b/8355292/ba16a5d0bf20/42155_2021_249_Fig1_HTML.jpg
https://cdn.ncbi.nlm.nih.gov/pmc/blobs/c18b/8355292/2d1a95f8e2d4/42155_2021_249_Fig2_HTML.jpg
https://cdn.ncbi.nlm.nih.gov/pmc/blobs/c18b/8355292/288e3b7e0e34/42155_2021_249_Fig3_HTML.jpg
https://cdn.ncbi.nlm.nih.gov/pmc/blobs/c18b/8355292/607421d477d0/42155_2021_249_Fig4_HTML.jpg
https://cdn.ncbi.nlm.nih.gov/pmc/blobs/c18b/8355292/ba16a5d0bf20/42155_2021_249_Fig1_HTML.jpg
https://cdn.ncbi.nlm.nih.gov/pmc/blobs/c18b/8355292/2d1a95f8e2d4/42155_2021_249_Fig2_HTML.jpg
https://cdn.ncbi.nlm.nih.gov/pmc/blobs/c18b/8355292/288e3b7e0e34/42155_2021_249_Fig3_HTML.jpg
https://cdn.ncbi.nlm.nih.gov/pmc/blobs/c18b/8355292/607421d477d0/42155_2021_249_Fig4_HTML.jpg

相似文献

1
Advanced image guidance for prostatic artery embolization - a multicenter technical note.前列腺动脉栓塞术的先进图像引导——一份多中心技术说明。
CVIR Endovasc. 2021 Aug 10;4(1):63. doi: 10.1186/s42155-021-00249-z.
2
Efficacy and safety of prostate artery embolization for benign prostatic hyperplasia: an observational study and propensity-matched comparison with transurethral resection of the prostate (the UK-ROPE study).前列腺动脉栓塞治疗良性前列腺增生症的疗效和安全性:一项观察性研究及与经尿道前列腺切除术的倾向评分匹配比较(英国-ROPE 研究)。
BJU Int. 2018 Aug;122(2):270-282. doi: 10.1111/bju.14249. Epub 2018 May 6.
3
Prostatic Artery Embolization: Equipment, Procedure Steps, and Overcoming Technical Challenges.前列腺动脉栓塞术:设备、操作步骤及技术挑战的克服。
Tech Vasc Interv Radiol. 2020 Sep;23(3):100691. doi: 10.1016/j.tvir.2020.100691. Epub 2020 Oct 6.
4
Anatomical Variants in Prostate Artery Embolization: A Pictorial Essay.前列腺动脉栓塞术中的解剖变异:图文综述。
Cardiovasc Intervent Radiol. 2017 Sep;40(9):1321-1337. doi: 10.1007/s00270-017-1687-0. Epub 2017 May 15.
5
Limiting radiation exposure during prostatic arteries embolization: influence of patient characteristics, anatomical conditions, and technical factors.限制前列腺动脉栓塞术中的辐射暴露:患者特征、解剖条件和技术因素的影响。
Eur Radiol. 2021 Sep;31(9):6471-6479. doi: 10.1007/s00330-021-07844-7. Epub 2021 Mar 10.
6
Prostatic artery embolization using three-dimensional cone-beam computed tomography.经直肠三维锥形束 CT 前列腺动脉栓塞术。
Diagn Interv Imaging. 2020 Nov;101(11):721-725. doi: 10.1016/j.diii.2020.05.002. Epub 2020 Jun 9.
7
Prostatic Artery Embolization-Anatomic Predictors of Technical Outcomes.前列腺动脉栓塞术——技术结果的解剖学预测因素
J Vasc Interv Radiol. 2020 Mar;31(3):378-387. doi: 10.1016/j.jvir.2019.09.005. Epub 2019 Nov 15.
8
Prostatic Artery Embolization: Influence of Cone-Beam Computed Tomography on Radiation Exposure, Procedure Time, and Contrast Media Use.前列腺动脉栓塞术:锥形束计算机断层扫描对辐射暴露、手术时间和对比剂使用的影响。
Cardiovasc Intervent Radiol. 2021 Jul;44(7):1089-1094. doi: 10.1007/s00270-021-02787-4. Epub 2021 Mar 3.
9
Embolisation of prostatic arteries as treatment of moderate to severe lower urinary symptoms (LUTS) secondary to benign hyperplasia: results of short- and mid-term follow-up.前列腺动脉栓塞术治疗良性前列腺增生所致中重度下尿路症状(LUTS):短期和中期随访结果。
Eur Radiol. 2013 Sep;23(9):2561-72. doi: 10.1007/s00330-012-2714-9. Epub 2013 Jan 31.
10
Using prostate contrast retention (PCR) as the procedural endpoint in prostatic artery embolization for benign prostatic hyperplasia.采用前列腺对比剂滞留(PCR)作为前列腺动脉栓塞治疗良性前列腺增生的程序终点。
Eur Radiol. 2021 Dec;31(12):9150-9160. doi: 10.1007/s00330-021-08063-w. Epub 2021 May 29.

引用本文的文献

1
Photon counting detector CTA for prostate artery embolization pre-procedure planning and intra-procedural guidance.用于前列腺动脉栓塞术前规划和术中引导的光子计数探测器CTA
CVIR Endovasc. 2025 Jun 21;8(1):55. doi: 10.1186/s42155-025-00567-6.
2
Anatomy for Prostatic Artery Embolization.前列腺动脉栓塞术的解剖学
Semin Intervent Radiol. 2025 Apr 3;42(2):213-218. doi: 10.1055/s-0045-1804908. eCollection 2025 Apr.
3
Clinical Outcome and Utility of Cone‑Beam Computed Tomography Imaging for Transcatheter Arterial Embolization in Patients with Malignant Intractable Hematuria.

本文引用的文献

1
Prostatic artery embolization using three-dimensional cone-beam computed tomography.经直肠三维锥形束 CT 前列腺动脉栓塞术。
Diagn Interv Imaging. 2020 Nov;101(11):721-725. doi: 10.1016/j.diii.2020.05.002. Epub 2020 Jun 9.
2
Prostatic Artery Embolization for the Treatment of Lower Urinary Tract Symptoms Due to Benign Prostatic Hyperplasia: 10 Years' Experience.前列腺动脉栓塞治疗良性前列腺增生引起的下尿路症状:10 年经验。
Radiology. 2020 Aug;296(2):444-451. doi: 10.1148/radiol.2020191249. Epub 2020 Jun 2.
3
Radiation Exposure During Prostatic Artery Embolisation: A Systematic Review and Calculation of Associated Risks.
锥形束计算机断层扫描成像在恶性顽固性血尿患者经导管动脉栓塞治疗中的临床结果及应用价值
J Belg Soc Radiol. 2025 Feb 3;109(1):1. doi: 10.5334/jbsr.3781. eCollection 2025.
4
Ischemic penile necrosis following embolization of the prostate for benign prostatic hyperplasia: A case report.良性前列腺增生症前列腺栓塞术后阴茎缺血性坏死:一例报告
Urol Case Rep. 2024 Jun 24;55:102783. doi: 10.1016/j.eucr.2024.102783. eCollection 2024 Jul.
5
Benefits and advances of Cone Beam CT use in prostatic artery embolization: review of the literature and pictorial essay.锥形束CT在前列腺动脉栓塞术中应用的益处与进展:文献综述及图像分析
CVIR Endovasc. 2024 May 15;7(1):46. doi: 10.1186/s42155-024-00459-1.
6
Evaluation of Current Surgical BPH Interventions for Young and Elderly Men.当前针对年轻和老年男性的 BPH 手术干预措施的评估。
Curr Urol Rep. 2024 May;25(5):79-91. doi: 10.1007/s11934-024-01198-5. Epub 2024 Mar 12.
7
Virtual Injection Software Reduces Radiation Exposure and Procedural Time of Prostatic Artery Embolization Performed with Cone-Beam CT.虚拟注射软件可减少锥形束 CT 引导下前列腺动脉栓塞术的辐射暴露和操作时间。
J Vasc Interv Radiol. 2024 Mar;35(3):409-415. doi: 10.1016/j.jvir.2023.11.012. Epub 2023 Nov 25.
8
Prostatic Artery Embolization: Technical Pearls.前列腺动脉栓塞术:技术要点
Semin Intervent Radiol. 2022 Dec 20;39(6):555-561. doi: 10.1055/s-0042-1759690. eCollection 2022 Dec.
9
Controversies in Prostate Artery Embolization: Future Best Practice.前列腺动脉栓塞术的争议:未来最佳实践
Semin Intervent Radiol. 2022 Dec 20;39(6):562-570. doi: 10.1055/s-0042-1759701. eCollection 2022 Dec.
10
Prostate artery embolization on lower urinary tract symptoms related to benign prostatic hyperplasia: A systematic review and meta-analysis.前列腺动脉栓塞术治疗良性前列腺增生相关下尿路症状:一项系统评价和荟萃分析。
World J Clin Cases. 2022 Nov 16;10(32):11812-11826. doi: 10.12998/wjcc.v10.i32.11812.
前列腺动脉栓塞术中的辐射暴露:系统评价及相关风险计算。
Eur Urol Focus. 2021 May;7(3):608-611. doi: 10.1016/j.euf.2020.04.012. Epub 2020 May 14.
4
Semi-automatic prostatic artery detection using cone-beam CT during prostatic arterial embolization.在前列腺动脉栓塞术中使用锥形束CT进行半自动前列腺动脉检测。
Acta Radiol. 2020 Aug;61(8):1116-1124. doi: 10.1177/0284185119891689. Epub 2019 Dec 12.
5
CIRSE Standards of Practice on Prostatic Artery Embolisation.CIRSE前列腺动脉栓塞术实践标准
Cardiovasc Intervent Radiol. 2020 Feb;43(2):176-185. doi: 10.1007/s00270-019-02379-3. Epub 2019 Dec 2.
6
Radiation Dose in Prostatic Artery Embolization Using Cone-Beam CT and 3D Roadmap Software.使用锥形束 CT 和 3D 路径图软件进行前列腺动脉栓塞的辐射剂量。
J Vasc Interv Radiol. 2019 Sep;30(9):1452-1458. doi: 10.1016/j.jvir.2019.04.040. Epub 2019 Jul 29.
7
Effects of Prostatic Artery Embolization on the Dynamic Component of Benign Prostate Hyperplasia as Assessed by Ultrasound Elastography: A Pilot Series.超声弹性成像评估前列腺动脉栓塞对良性前列腺增生动态成分的影响:一项初步系列研究。
Cardiovasc Intervent Radiol. 2019 Jul;42(7):1001-1007. doi: 10.1007/s00270-019-02220-x. Epub 2019 Apr 16.
8
Angiographic Findings during Repeat Prostatic Artery Embolization.重复前列腺动脉栓塞术中的血管造影表现。
J Vasc Interv Radiol. 2019 May;30(5):645-651. doi: 10.1016/j.jvir.2018.12.734. Epub 2019 Apr 1.
9
Technical and Imaging Outcomes from the UK Registry of Prostate Artery Embolization (UK-ROPE) Study: Focusing on Predictors of Clinical Success.英国前列腺动脉栓塞注册研究(UK-ROPE)的技术与影像结果:聚焦临床成功的预测因素
Cardiovasc Intervent Radiol. 2019 May;42(5):666-676. doi: 10.1007/s00270-018-02156-8. Epub 2019 Jan 2.
10
Minimally Invasive Treatment for Benign Prostatic Hyperplasia: Economic Evaluation from a Standardized Hospital Case Costing System.良性前列腺增生的微创治疗:基于标准化医院病例成本核算系统的经济评估
Cardiovasc Intervent Radiol. 2019 Apr;42(4):520-527. doi: 10.1007/s00270-018-2132-8. Epub 2018 Nov 30.