• 文献检索
  • 文档翻译
  • 深度研究
  • 学术资讯
  • Suppr Zotero 插件Zotero 插件
  • 邀请有礼
  • 套餐&价格
  • 历史记录
应用&插件
Suppr Zotero 插件Zotero 插件浏览器插件Mac 客户端Windows 客户端微信小程序
定价
高级版会员购买积分包购买API积分包
服务
文献检索文档翻译深度研究API 文档MCP 服务
关于我们
关于 Suppr公司介绍联系我们用户协议隐私条款
关注我们

Suppr 超能文献

核心技术专利:CN118964589B侵权必究
粤ICP备2023148730 号-1Suppr @ 2026

文献检索

告别复杂PubMed语法,用中文像聊天一样搜索,搜遍4000万医学文献。AI智能推荐,让科研检索更轻松。

立即免费搜索

文件翻译

保留排版,准确专业,支持PDF/Word/PPT等文件格式,支持 12+语言互译。

免费翻译文档

深度研究

AI帮你快速写综述,25分钟生成高质量综述,智能提取关键信息,辅助科研写作。

立即免费体验

15岁男性乙状结肠扭转的内镜下复位术

Endoscopic Reduction of Sigmoid Volvulus in a 15-Year-Old Male.

作者信息

Gohsman Zach, Chan Albert, Davis Michael K

机构信息

University of Florida, Gainesville, FL, USA.

出版信息

Glob Pediatr Health. 2021 Jul 29;8:2333794X211033438. doi: 10.1177/2333794X211033438. eCollection 2021.

DOI:10.1177/2333794X211033438
PMID:34377744
原文链接:https://pmc.ncbi.nlm.nih.gov/articles/PMC8330459/
Abstract

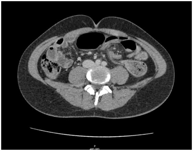
Sigmoid volvulus is a well-recognized phenomenon in the elderly but rare in children. The proposed mechanism involves rotation of a redundant sigmoid loop around a narrow, elongated mesentery with subsequent vascular occlusion. The condition can be intermittent or may resolve spontaneously, complicating diagnosis. Early diagnosis is imperative to prevent ischemic complications including necrosis, perforation, and sepsis. Abdominal pain, abdominal distention, and vomiting are the most common presenting symptoms, however abdominal tenderness is uncommon. Colonic dilation is the most frequent finding on abdominal radiograph. Contrast enema reveals a "bird's beak" configuration of the twisted colon and moreover, is successful in reducing the majority of pediatric cases. If there is no evidence of bowel ischemia or perforation, endoscopic reduction has been proposed as first-line treatment for sigmoid volvulus, especially in children. We report the case of 15-year-old male in which endoscopic reduction of sigmoid volvulus was successful without complication.

摘要

乙状结肠扭转在老年人中是一种广为人知的现象,但在儿童中罕见。其推测机制包括一个冗长的乙状结肠袢围绕狭窄、细长的肠系膜旋转,随后发生血管闭塞。这种情况可以是间歇性的,也可能自行缓解,这使得诊断变得复杂。早期诊断对于预防包括坏死、穿孔和败血症在内的缺血性并发症至关重要。腹痛、腹胀和呕吐是最常见的症状表现,然而腹部压痛并不常见。结肠扩张是腹部X线片上最常见的表现。钡剂灌肠显示扭转结肠呈“鸟嘴”状,而且,大多数儿科病例通过钡剂灌肠复位成功。如果没有肠缺血或穿孔的证据,内镜复位已被提议作为乙状结肠扭转的一线治疗方法,尤其是在儿童中。我们报告了一例15岁男性患者,其乙状结肠扭转经内镜复位成功且无并发症。

https://cdn.ncbi.nlm.nih.gov/pmc/blobs/2de7/8330459/08dab61f7f8b/10.1177_2333794X211033438-fig3.jpg
https://cdn.ncbi.nlm.nih.gov/pmc/blobs/2de7/8330459/64639eaadc16/10.1177_2333794X211033438-fig1.jpg
https://cdn.ncbi.nlm.nih.gov/pmc/blobs/2de7/8330459/bcfb3123616d/10.1177_2333794X211033438-fig2.jpg
https://cdn.ncbi.nlm.nih.gov/pmc/blobs/2de7/8330459/08dab61f7f8b/10.1177_2333794X211033438-fig3.jpg
https://cdn.ncbi.nlm.nih.gov/pmc/blobs/2de7/8330459/64639eaadc16/10.1177_2333794X211033438-fig1.jpg
https://cdn.ncbi.nlm.nih.gov/pmc/blobs/2de7/8330459/bcfb3123616d/10.1177_2333794X211033438-fig2.jpg
https://cdn.ncbi.nlm.nih.gov/pmc/blobs/2de7/8330459/08dab61f7f8b/10.1177_2333794X211033438-fig3.jpg

相似文献

1
Endoscopic Reduction of Sigmoid Volvulus in a 15-Year-Old Male.15岁男性乙状结肠扭转的内镜下复位术
Glob Pediatr Health. 2021 Jul 29;8:2333794X211033438. doi: 10.1177/2333794X211033438. eCollection 2021.
2
Sigmoid volvulus in children: report of two cases.儿童乙状结肠扭转:两例报告。
J Formos Med Assoc. 2001 Feb;100(2):134-6.
3
Sigmoid volvulus in a teenager, successfully managed with endoscopic detorsion: An unusual case report and review of the literature.青少年乙状结肠扭转,经内镜扭转复位成功治疗:一例罕见病例报告及文献复习
Int J Surg Case Rep. 2020;77:875-879. doi: 10.1016/j.ijscr.2020.11.152. Epub 2020 Dec 3.
4
Presentation and endoscopic management of sigmoid volvulus in children.儿童乙状结肠扭转的临床表现及内镜治疗
Eur J Pediatr. 2015 Jul;174(7):965-9. doi: 10.1007/s00431-015-2489-5. Epub 2015 Jan 28.
5
Pediatric sigmoid volvulus of an extremely long sigmoid colon with hypoganglionosis: a case report.小儿超长乙状结肠伴神经节减少症所致乙状结肠扭转:一例报告
J Int Med Res. 2021 Jul;49(7):3000605211032429. doi: 10.1177/03000605211032429.
6
Sigmoid Volvulus with Widespread Bowel Ischemia after Endoscopic Reduction Successfully Treated with Elective Laparoscopic Surgery.内镜复位后发生广泛肠缺血的乙状结肠扭转经择期腹腔镜手术成功治疗
Case Rep Gastroenterol. 2020 May 13;14(2):286-290. doi: 10.1159/000507611. eCollection 2020 May-Aug.
7
Sigmoid volvulus in 16-year-old boy with an associated anomalous congenital band.一名16岁男孩的乙状结肠扭转伴先天性异常束带。
Am Surg. 2013 Nov;79(11):1140-1.
8
Management of sigmoid volvulus avoiding sigmoid resection.避免乙状结肠切除的乙状结肠扭转管理。
Case Rep Gastroenterol. 2012 May;6(2):293-9. doi: 10.1159/000339216. Epub 2012 May 23.
9
Sigmoid volvulus.乙状结肠扭转
Eurasian J Med. 2010 Dec;42(3):142-7. doi: 10.5152/eajm.2010.39.
10
Endoscopic management of sigmoid volvulus in children.儿童乙状结肠扭转的内镜治疗
World J Gastrointest Endosc. 2016 Jun 25;8(12):439-43. doi: 10.4253/wjge.v8.i12.439.

引用本文的文献

1
Can Infant Dyschezia Be a Suspect of Rectosigmoid Redundancy?婴儿排便困难可能是乙状结肠冗长症的疑似症状吗?
Children (Basel). 2022 Jul 21;9(7):1097. doi: 10.3390/children9071097.

本文引用的文献

1
American Society for Gastrointestinal Endoscopy guideline on the role of endoscopy in the management of acute colonic pseudo-obstruction and colonic volvulus.美国胃肠道内镜学会关于内镜在急性结肠假性梗阻和结肠扭转治疗中作用的指南。
Gastrointest Endosc. 2020 Feb;91(2):228-235. doi: 10.1016/j.gie.2019.09.007. Epub 2019 Nov 30.
2
Pediatric Sigmoid Volvulus.小儿乙状结肠扭转
Pediatr Emerg Care. 2019 Dec;35(12):e232-e233. doi: 10.1097/PEC.0000000000001470.
3
Sigmoid volvulus: the first one thousand-case single center series in the world.
乙状结肠扭转:全球首个千例单中心系列研究
Eur J Trauma Emerg Surg. 2019 Feb;45(1):175-176. doi: 10.1007/s00068-017-0859-6. Epub 2017 Oct 27.
4
Neonatal sigmoid volvulus.新生儿乙状结肠扭转
J Pediatr Surg. 2016 Nov;51(11):1782-1785. doi: 10.1016/j.jpedsurg.2016.06.017. Epub 2016 Jul 5.
5
Endoscopic management of sigmoid volvulus in children.儿童乙状结肠扭转的内镜治疗
World J Gastrointest Endosc. 2016 Jun 25;8(12):439-43. doi: 10.4253/wjge.v8.i12.439.
6
Sigmoid volvulus: an uncommon complication of Hirschsprung's disease.乙状结肠扭转:先天性巨结肠症的一种罕见并发症。
BMJ Case Rep. 2016 May 26;2016:bcr2016214693. doi: 10.1136/bcr-2016-214693.
7
Presentation and endoscopic management of sigmoid volvulus in children.儿童乙状结肠扭转的临床表现及内镜治疗
Eur J Pediatr. 2015 Jul;174(7):965-9. doi: 10.1007/s00431-015-2489-5. Epub 2015 Jan 28.
8
Sigmoid volvulus in children and adolescents.儿童和青少年的乙状结肠扭转
J Am Coll Surg. 2000 Jun;190(6):717-23. doi: 10.1016/s1072-7515(00)00270-2.