Suppr超能文献

以不明原因发绀为首发表现的遗传性出血性毛细血管扩张症合并肺动静脉畸形:病例报告及文献综述

Pulmonary arteriovenous malformation with unexplained cyanosis as the first presentation of hereditary haemorrhagic telangiectasia, case report, and literature review.

作者信息

Alakhfash Ali, Alqwaiee Abdullah, Almesned Abdulrahman, Al-Hassnan Zuhair N

机构信息

Pediatric Cardiology Department, Prince Sultan cardiac Center-Qassim (PSCC-Qassim), MOH, Qassim, Saudi Arabia.

PhD researcher, Cardiovascular sciences, Sapienza Università di Roma - La Sapienza.

出版信息

Eur Heart J Case Rep. 2021 Jul 22;5(7):ytab261. doi: 10.1093/ehjcr/ytab261. eCollection 2021 Jul.

Abstract

BACKGROUND

Pulmonary arteriovenous malformations (PAVMs) are rare pulmonary vascular anomalies. They can result in right-to-left shunt and, if significant, low systemic saturation, cyanosis, polycythaemia, and paradoxical systemic embolization.

CASE SUMMARY

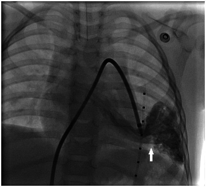
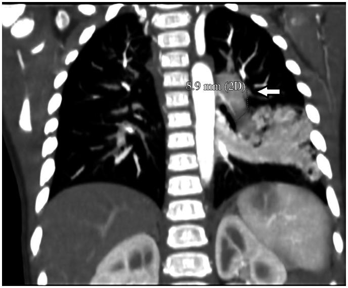
Eighteen months old female child was referred to our centre due to unexplained central and peripheral cyanosis. Based on the agitated saline contrast echocardiography study, computed tomography scan confirmed the presence of abnormal vasculature at the left lower lobe. Percutaneous closure of the PAVM was performed using Amplatzer Duct Occluder type 1 device. The genetic study revealed a pathogenic mutation in the endoglin gene, which is a known cause of hereditary haemorrhagic telangiectasia (HHT) inhered in an autosomal dominance pattern.

DISCUSSION

PAVM could be the first manifestation of HHT. Closing the malformation percutaneously is feasible, which can eliminate the right to left shunt and improves the saturation. Genetic study is warranted in these cases, as well as long-term follow-up.

摘要

背景

肺动静脉畸形(PAVM)是一种罕见的肺血管异常。它们可导致右向左分流,如果分流明显,可导致体循环饱和度降低、发绀、红细胞增多症和反常性体循环栓塞。

病例摘要

一名18个月大的女童因不明原因的中枢性和外周性发绀被转诊至我院。基于生理盐水对比剂超声心动图检查,计算机断层扫描证实左下叶存在异常血管。使用1型Amplatzer导管封堵器对PAVM进行了经皮封堵。基因研究显示内皮素基因存在致病性突变,这是常染色体显性遗传的遗传性出血性毛细血管扩张症(HHT)的已知病因。

讨论

PAVM可能是HHT的首发表现。经皮封堵畸形是可行的,这可以消除右向左分流并提高饱和度。在这些病例中,有必要进行基因研究以及长期随访。

https://cdn.ncbi.nlm.nih.gov/pmc/blobs/57ad/8343466/ced9acfc511b/ytab261f1.jpg

文献AI研究员

20分钟写一篇综述,助力文献阅读效率提升50倍。

立即体验

用中文搜PubMed

大模型驱动的PubMed中文搜索引擎

马上搜索

文档翻译

学术文献翻译模型,支持多种主流文档格式。

立即体验