Suppr超能文献

复杂肺部疾病与变应性支气管肺曲霉病的同步治疗:一例报告

Simultaneous treatment for complex lung disease and allergic bronchopulmonary aspergillosis: A case report.

作者信息

Oda Nobuhiro, Nakashima Kei, Homma Yuya, Kubota Norihiko, Taniguchi Jumpei, Nagai Tatsuya, Yoshimi Yoshinori, Otsuki Ayumu, Ito Hiroyuki

机构信息

Department of General Internal Medicine, Kameda Medical Center, Kamogawa, Japan.

Department of Pulmonology, Kameda Medical Center, Kamogawa, Japan.

出版信息

Respir Med Case Rep. 2021 Jul 24;34:101488. doi: 10.1016/j.rmcr.2021.101488. eCollection 2021.

Abstract

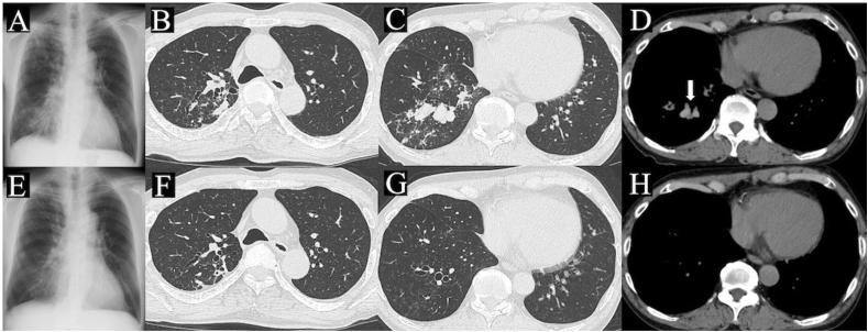
Recently, there are several reports of simultaneous allergic bronchopulmonary aspergillosis (ABPA) and (MAC) lung disease. However, the strategies for early diagnosis and appropriate treatment for patients with both ABPA and MAC lung disease have not been established. Here, we report a case with ABPA complicated by MAC lung disease, which was successfully diagnosed and treated by simultaneous administration of systemic steroids and antimycobacterial drugs. Bronchoscopy can be useful in the diagnosis of such cases. Furthermore, in a patient with concurrent ABPA and MAC lung disease, simultaneous treatments for both diseases could reduce both diseases.

摘要

最近,有几篇关于同时发生变应性支气管肺曲霉病(ABPA)和非结核分枝杆菌(MAC)肺病的报道。然而,针对同时患有ABPA和MAC肺病患者的早期诊断和恰当治疗策略尚未确立。在此,我们报告1例并发MAC肺病的ABPA病例,该病例通过同时给予全身用类固醇和抗分枝杆菌药物而成功获得诊断和治疗。支气管镜检查对此类病例的诊断可能有用。此外,对于同时患有ABPA和MAC肺病的患者,对两种疾病同时进行治疗可使两种疾病均得到缓解。

https://cdn.ncbi.nlm.nih.gov/pmc/blobs/c11e/8334719/f91410a2a479/gr1.jpg

文献AI研究员

20分钟写一篇综述,助力文献阅读效率提升50倍。

立即体验

用中文搜PubMed

大模型驱动的PubMed中文搜索引擎

马上搜索

文档翻译

学术文献翻译模型,支持多种主流文档格式。

立即体验