Department of Oncology, Ludwig Institute for Cancer Research Lausanne, Lausanne University Hospital and University of Lausanne, Lausanne, Vaud, Switzerland
Department of Oncology, Ludwig Institute for Cancer Research Lausanne, Lausanne University Hospital and University of Lausanne, Lausanne, Vaud, Switzerland.
J Immunother Cancer. 2021 Aug;9(8). doi: 10.1136/jitc-2020-002151.
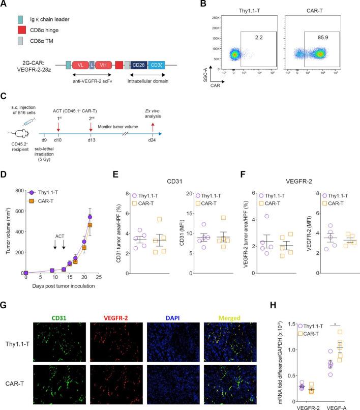
The adoptive transfer of chimeric antigen receptor (CAR)-T cells has emerged as a potent immunotherapy against some hematological malignancies but not yet for epithelial-derived solid tumors. One critical issue is the paucity of broadly expressed solid tumor antigens (TAs), and another is the presence of suppressive mechanisms in the tumor microenvironment (TME) that can impair CAR-T cell homing, extravasation and effector functions. TAs expressed by endothelial cells of the tumor vasculature are of clinical interest for CAR therapy because of their genomic stability and accessibility to circulating T cells, as well as their expression across multiple tumor types. In this study, we sought to explore limitations to the efficacy of second-generation (2G) murine CAR-T cells redirected against the vascular endothelial growth factor receptor-2 (VEGFR-2) with the well-characterized single-chain variable fragment DC101.
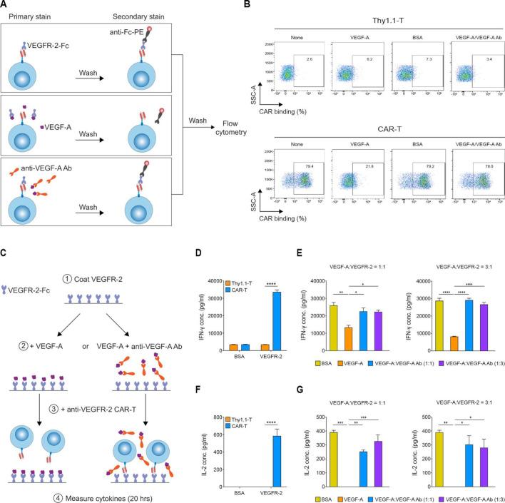
Primary murine T cells were retrovirally transduced to express a 2G anti-VEGFR-2-CAR, and the in vitro binding to VEGFR-2, as well as reactivity against TA-expressing cells, was evaluated in the absence versus presence of exogenous VEGF-A. The CAR-T cells were further tested in vivo for tumor control alone and in combination with anti-VEGF-A antibody. Finally, we performed ex vivo phenotypic analyses of tumor-infiltrating CAR-T cells for the two treatment groups.
In line with previous reports, we observed poor control of B16 melanoma by the 2G anti-VEGFR-2 CAR-T cells as a monotherapy. We further showed that VEGFR-2 is not downregulated by B16 melanoma tumors post treatment, but that its soluble ligand VEGF-A is upregulated and furthermore competes in vitro with the CAR-T cells for binding to VEGFR-2. This competition resulted in impaired CAR-T cell adhesion and effector function in vitro that could be restored in the presence of anti-VEGF-A antibody. Finally, we demonstrated that coadministration of anti-VEGF-A antibody in vivo promoted CAR-T cell persistence and tumor control and was associated with reduced frequencies of PD-1 Ki67 and LAG-3 Ki67 CAR-T cells in the TME.
This study represents the first example of impaired function of a vasculature-targeted CAR by an angiogenic ligand and rationalizes the use of combinatorial therapies that target the tumor vasculature and augment CAR-T cell effector function.
嵌合抗原受体 (CAR)-T 细胞的过继转移已成为针对某些血液恶性肿瘤的有效免疫疗法,但尚未用于上皮源性实体肿瘤。一个关键问题是广泛表达的实体肿瘤抗原 (TA) 的缺乏,另一个问题是肿瘤微环境 (TME) 中存在抑制机制,这些机制可能会损害 CAR-T 细胞归巢、渗出和效应功能。肿瘤血管内皮细胞表达的 TA 因其基因组稳定性和对循环 T 细胞的可及性以及在多种肿瘤类型中的表达而成为 CAR 治疗的临床关注对象。在这项研究中,我们试图探索针对血管内皮生长因子受体-2 (VEGFR-2) 的第二代 (2G) 鼠源 CAR-T 细胞的功效限制,该受体使用经过充分表征的单链可变片段 DC101 进行重定向。
用逆转录病毒转导原代鼠 T 细胞表达 2G 抗-VEGFR-2-CAR,并在不存在和存在外源性 VEGF-A 的情况下评估其与 VEGFR-2 的体外结合以及对表达 TA 的细胞的反应性。CAR-T 细胞进一步单独用于肿瘤控制,并与抗 VEGF-A 抗体联合使用。最后,我们对两种治疗组的肿瘤浸润性 CAR-T 细胞进行了体外表型分析。
与之前的报道一致,我们观察到作为单一疗法,2G 抗-VEGFR-2 CAR-T 细胞对 B16 黑色素瘤的控制不佳。我们进一步表明,VEGFR-2 在 B16 黑色素瘤肿瘤治疗后不会下调,但它的可溶性配体 VEGF-A 会上调,并且在体外与 CAR-T 细胞竞争结合 VEGFR-2。这种竞争导致 CAR-T 细胞在体外的粘附和效应功能受损,而在存在抗 VEGF-A 抗体的情况下可以恢复。最后,我们证明了体内联合使用抗 VEGF-A 抗体可促进 CAR-T 细胞的持久性和肿瘤控制,并与 TME 中 PD-1 Ki67 和 LAG-3 Ki67 CAR-T 细胞的频率降低相关。
这项研究代表了第一个血管靶向 CAR 因血管生成配体而功能受损的例子,并合理化了使用靶向肿瘤血管和增强 CAR-T 细胞效应功能的联合治疗。