• 文献检索
  • 文档翻译
  • 深度研究
  • 学术资讯
  • Suppr Zotero 插件Zotero 插件
  • 邀请有礼
  • 套餐&价格
  • 历史记录
应用&插件
Suppr Zotero 插件Zotero 插件浏览器插件Mac 客户端Windows 客户端微信小程序
定价
高级版会员购买积分包购买API积分包
服务
文献检索文档翻译深度研究API 文档MCP 服务
关于我们
关于 Suppr公司介绍联系我们用户协议隐私条款
关注我们

Suppr 超能文献

核心技术专利:CN118964589B侵权必究
粤ICP备2023148730 号-1Suppr @ 2026

文献检索

告别复杂PubMed语法,用中文像聊天一样搜索,搜遍4000万医学文献。AI智能推荐,让科研检索更轻松。

立即免费搜索

文件翻译

保留排版,准确专业,支持PDF/Word/PPT等文件格式,支持 12+语言互译。

免费翻译文档

深度研究

AI帮你快速写综述,25分钟生成高质量综述,智能提取关键信息,辅助科研写作。

立即免费体验

额颞叶痴呆的神经影像学:异质性与潜在神经病理学的关系。

Neuroimaging in Frontotemporal Dementia: Heterogeneity and Relationships with Underlying Neuropathology.

机构信息

Memory and Aging Center, Department of Neurology, Weill Institute for Neurosciences, University of California, San Francisco, CA, USA.

出版信息

Neurotherapeutics. 2021 Apr;18(2):728-752. doi: 10.1007/s13311-021-01101-x. Epub 2021 Aug 13.

DOI:10.1007/s13311-021-01101-x
PMID:34389969
原文链接:https://pmc.ncbi.nlm.nih.gov/articles/PMC8423978/
Abstract

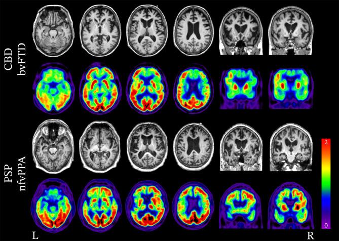
Frontotemporal dementia encompasses a group of clinical syndromes defined pathologically by degeneration of the frontal and temporal lobes. Historically, these syndromes have been challenging to diagnose, with an average of about three years between the time of symptom onset and the initial evaluation and diagnosis. Research in the field of neuroimaging has revealed numerous biomarkers of the various frontotemporal dementia syndromes, which has provided clinicians with a method of narrowing the differential diagnosis and improving diagnostic accuracy. As such, neuroimaging is considered a core investigative tool in the evaluation of neurodegenerative disorders. Furthermore, patterns of neurodegeneration correlate with the underlying neuropathological substrates of the frontotemporal dementia syndromes, which can aid clinicians in determining the underlying etiology and improve prognostication. This review explores the advancements in neuroimaging and discusses the phenotypic and pathologic features of behavioral variant frontotemporal dementia, semantic variant primary progressive aphasia, and nonfluent variant primary progressive aphasia, as seen on structural magnetic resonance imaging and positron emission tomography.

摘要

额颞叶痴呆包括一组临床综合征,这些综合征在病理学上由额叶和颞叶的退化定义。从历史上看,这些综合征的诊断一直具有挑战性,从症状出现到首次评估和诊断的平均时间约为三年。神经影像学领域的研究揭示了各种额颞叶痴呆综合征的许多生物标志物,这为临床医生提供了一种缩小鉴别诊断范围和提高诊断准确性的方法。因此,神经影像学被认为是评估神经退行性疾病的核心研究工具。此外,神经退行性变的模式与额颞叶痴呆综合征的潜在神经病理学基础相关,这可以帮助临床医生确定潜在病因并改善预后。这篇综述探讨了神经影像学的进展,并讨论了在结构磁共振成像和正电子发射断层扫描上观察到的行为变异型额颞叶痴呆、语义变异型原发性进行性失语症和非流利变异型原发性进行性失语症的表型和病理特征。

https://cdn.ncbi.nlm.nih.gov/pmc/blobs/96f7/8423978/073e06c3d8e5/13311_2021_1101_Fig6_HTML.jpg
https://cdn.ncbi.nlm.nih.gov/pmc/blobs/96f7/8423978/b71d07860791/13311_2021_1101_Fig1_HTML.jpg
https://cdn.ncbi.nlm.nih.gov/pmc/blobs/96f7/8423978/96d3efa35d28/13311_2021_1101_Fig2_HTML.jpg
https://cdn.ncbi.nlm.nih.gov/pmc/blobs/96f7/8423978/04db6edb9d29/13311_2021_1101_Fig3_HTML.jpg
https://cdn.ncbi.nlm.nih.gov/pmc/blobs/96f7/8423978/818e45f6cb11/13311_2021_1101_Fig4_HTML.jpg
https://cdn.ncbi.nlm.nih.gov/pmc/blobs/96f7/8423978/a361e62a6e6b/13311_2021_1101_Fig5_HTML.jpg
https://cdn.ncbi.nlm.nih.gov/pmc/blobs/96f7/8423978/073e06c3d8e5/13311_2021_1101_Fig6_HTML.jpg
https://cdn.ncbi.nlm.nih.gov/pmc/blobs/96f7/8423978/b71d07860791/13311_2021_1101_Fig1_HTML.jpg
https://cdn.ncbi.nlm.nih.gov/pmc/blobs/96f7/8423978/96d3efa35d28/13311_2021_1101_Fig2_HTML.jpg
https://cdn.ncbi.nlm.nih.gov/pmc/blobs/96f7/8423978/04db6edb9d29/13311_2021_1101_Fig3_HTML.jpg
https://cdn.ncbi.nlm.nih.gov/pmc/blobs/96f7/8423978/818e45f6cb11/13311_2021_1101_Fig4_HTML.jpg
https://cdn.ncbi.nlm.nih.gov/pmc/blobs/96f7/8423978/a361e62a6e6b/13311_2021_1101_Fig5_HTML.jpg
https://cdn.ncbi.nlm.nih.gov/pmc/blobs/96f7/8423978/073e06c3d8e5/13311_2021_1101_Fig6_HTML.jpg

相似文献

1
Neuroimaging in Frontotemporal Dementia: Heterogeneity and Relationships with Underlying Neuropathology.额颞叶痴呆的神经影像学:异质性与潜在神经病理学的关系。
Neurotherapeutics. 2021 Apr;18(2):728-752. doi: 10.1007/s13311-021-01101-x. Epub 2021 Aug 13.
2
Imaging frontotemporal lobar degeneration.脑额颞叶变性的影像学表现
Curr Neurol Neurosci Rep. 2014 Oct;14(10):489. doi: 10.1007/s11910-014-0489-x.
3
TDP-43 subtypes are associated with distinct atrophy patterns in frontotemporal dementia.TDP-43 亚型与额颞叶痴呆的不同萎缩模式相关。
Neurology. 2010 Dec 14;75(24):2204-11. doi: 10.1212/WNL.0b013e318202038c.
4
Atypical parkinsonian syndromes: a general neurologist's perspective.非典型帕金森综合征:一位普通神经科医生的视角。
Eur J Neurol. 2018 Jan;25(1):41-58. doi: 10.1111/ene.13412. Epub 2017 Sep 28.
5
FTD spectrum: Neuroimaging across the FTD spectrum.额颞叶痴呆谱:额颞叶痴呆谱中的神经影像学。
Prog Mol Biol Transl Sci. 2019;165:187-223. doi: 10.1016/bs.pmbts.2019.05.009. Epub 2019 Jun 18.
6
Neuroinflammation and protein aggregation co-localize across the frontotemporal dementia spectrum.神经炎症和蛋白聚集在额颞叶痴呆谱中共同定位。
Brain. 2020 Mar 1;143(3):1010-1026. doi: 10.1093/brain/awaa033.
7
Primary progressive aphasia and the FTD-MND spectrum disorders: clinical, pathological, and neuroimaging correlates.原发性进行性失语症和额颞叶变性-运动神经元病谱障碍:临床、病理和神经影像学相关性。
Amyotroph Lateral Scler Frontotemporal Degener. 2019 May;20(3-4):146-158. doi: 10.1080/21678421.2018.1556695. Epub 2019 Jan 22.
8
[Progressive nonfluent aphasia].[进行性非流利性失语症]
Brain Nerve. 2011 Oct;63(10):1037-46.
9
Molecular and Anatomical Imaging of Dementia With Lewy Bodies and Frontotemporal Lobar Degeneration.路易体痴呆和额颞叶痴呆的分子与解剖成像
Semin Nucl Med. 2021 May;51(3):264-274. doi: 10.1053/j.semnuclmed.2020.12.002. Epub 2021 Jan 2.
10
Prediction of pathology in primary progressive language and speech disorders.原发性进行性语言和言语障碍的病理预测。
Neurology. 2010 Jan 5;74(1):42-9. doi: 10.1212/WNL.0b013e3181c7198e. Epub 2009 Nov 25.

引用本文的文献

1
The neural basis of frontotemporal dementia (FTD): insights from ALE meta-analyses of four FTD subtypes encompassing 8,057 patients.额颞叶痴呆(FTD)的神经基础:来自对包含8057例患者的四种FTD亚型的ALE荟萃分析的见解。
medRxiv. 2025 Jun 2:2025.06.02.25328809. doi: 10.1101/2025.06.02.25328809.
2
Cross-Interaction with Amyloid-β Drives Pathogenic Structural Transformation within the Amyloidogenic Core Region of TDP-43.与β-淀粉样蛋白的交叉相互作用驱动TDP-43淀粉样核心区域内的致病性结构转变。
ACS Chem Neurosci. 2025 Apr 16;16(8):1565-1581. doi: 10.1021/acschemneuro.5c00084. Epub 2025 Apr 1.
3
Regional cerebral blood flow in behavioral variant of FTD: hypoperfusion patterns and clinical associations.

本文引用的文献

1
Amyloid-PET-Positive Patient With bvFTD: Wrong Diagnosis, False Positive Scan, or Copathology?患有行为变异型额颞叶痴呆(bvFTD)的淀粉样蛋白PET阳性患者:诊断错误、假阳性扫描还是合并病理学改变?
Neurol Clin Pract. 2021 Dec;11(6):e952-e955. doi: 10.1212/CPJ.0000000000001049.
2
Four distinct trajectories of tau deposition identified in Alzheimer's disease.阿尔茨海默病中tau 沉积的四种不同轨迹。
Nat Med. 2021 May;27(5):871-881. doi: 10.1038/s41591-021-01309-6. Epub 2021 Apr 29.
3
Plasma Neurofilament Light for Prediction of Disease Progression in Familial Frontotemporal Lobar Degeneration.
行为变异型额颞叶痴呆的局部脑血流:灌注不足模式及临床关联
Acta Neurol Belg. 2024 Dec;124(6):1973-1980. doi: 10.1007/s13760-024-02584-z. Epub 2024 Oct 25.
4
The Aphasia Recovery Cohort, an open-source chronic stroke repository.失语症康复队列,一个开源的慢性中风存储库。
Sci Data. 2024 Sep 9;11(1):981. doi: 10.1038/s41597-024-03819-7.
5
Research trends and hotspots for frontotemporal dementia from 2000 to 2022: a bibliometric analysis.2000年至2022年前额颞叶痴呆的研究趋势与热点:一项文献计量分析
Front Neurol. 2024 Jul 17;15:1399600. doi: 10.3389/fneur.2024.1399600. eCollection 2024.
6
Exploratory Tau PET/CT with [11C]PBB3 in Patients with Suspected Alzheimer's Disease and Frontotemporal Lobar Degeneration: A Pilot Study on Correlation with PET Imaging and Cerebrospinal Fluid Biomarkers.使用[11C]PBB3对疑似阿尔茨海默病和额颞叶痴呆患者进行探索性Tau PET/CT:一项与PET成像和脑脊液生物标志物相关性的初步研究
Biomedicines. 2024 Jul 1;12(7):1460. doi: 10.3390/biomedicines12071460.
7
Dysphagia in primary progressive aphasia: Clinical predictors and neuroanatomical basis.原发性进行性失语症中的吞咽困难:临床预测因子和神经解剖学基础。
Eur J Neurol. 2024 Sep;31(9):e16370. doi: 10.1111/ene.16370. Epub 2024 Jun 21.
8
Advancing the Frontier: Neuroimaging Techniques in the Early Detection and Management of Neurodegenerative Diseases.推进前沿:神经退行性疾病早期检测与管理中的神经成像技术
Cureus. 2024 May 29;16(5):e61335. doi: 10.7759/cureus.61335. eCollection 2024 May.
9
[Not Available].[无可用内容]
Alzheimers Dement. 2024 May;20(5):3525-3542. doi: 10.1002/alz.13750. Epub 2024 Apr 16.
10
Differential diagnosis of frontotemporal dementia subtypes with explainable deep learning on structural MRI.基于结构磁共振成像的可解释深度学习对额颞叶痴呆亚型的鉴别诊断
Front Neurosci. 2024 Feb 7;18:1331677. doi: 10.3389/fnins.2024.1331677. eCollection 2024.
血浆神经丝轻链对家族性额颞叶变性疾病进展的预测。
Neurology. 2021 May 4;96(18):e2296-e2312. doi: 10.1212/WNL.0000000000011848. Epub 2021 Apr 7.
4
Neuroinflammation is highest in areas of disease progression in semantic dementia.神经炎症在语义性痴呆疾病进展区域最为严重。
Brain. 2021 Jun 22;144(5):1565-1575. doi: 10.1093/brain/awab057.
5
Sex differences in the behavioral variant of frontotemporal dementia: A new window to executive and behavioral reserve.额颞叶痴呆行为变异型的性别差异:执行和行为储备的新窗口。
Alzheimers Dement. 2021 Aug;17(8):1329-1341. doi: 10.1002/alz.12299. Epub 2021 Feb 16.
6
Conventional Magnetic Resonance Imaging in the Diagnosis of Parkinsonian Disorders: A Meta-Analysis.传统磁共振成像在帕金森病诊断中的应用:一项荟萃分析
Mov Disord Clin Pract. 2020 Sep 14;8(2):217-223. doi: 10.1002/mdc3.13070. eCollection 2021 Feb.
7
Frontotemporal Dementia: A Cross-Cultural Perspective.额颞叶痴呆:跨文化视角
Adv Exp Med Biol. 2021;1281:141-150. doi: 10.1007/978-3-030-51140-1_10.
8
Nosology of Primary Progressive Aphasia and the Neuropathology of Language.原发性进行性失语症的分类学和语言神经病理学。
Adv Exp Med Biol. 2021;1281:33-49. doi: 10.1007/978-3-030-51140-1_3.
9
Brain volumetric deficits in MAPT mutation carriers: a multisite study.MAPT 基因突变携带者的脑容量缺陷:一项多中心研究。
Ann Clin Transl Neurol. 2021 Jan;8(1):95-110. doi: 10.1002/acn3.51249. Epub 2020 Nov 28.
10
Diagnostic Accuracy of Amyloid versus F-Fluorodeoxyglucose Positron Emission Tomography in Autopsy-Confirmed Dementia.淀粉样蛋白与 F-氟脱氧葡萄糖正电子发射断层扫描对尸检证实的痴呆症的诊断准确性。
Ann Neurol. 2021 Feb;89(2):389-401. doi: 10.1002/ana.25968. Epub 2020 Dec 7.