Suppr超能文献

小儿患者自体块状嵌体移植术增高狭窄前牙槽嵴:病例报告

Augmentation of Narrow Anterior Alveolar Ridge Using Autogenous Block Onlay Graft in a Pediatric Patient: A Case Report.

作者信息

Bhandary Meghna, Hegde Amitha M, Shetty Rajmohan, Shetty Preethesh

机构信息

Department of Pediatric and Preventive Dentistry, AB Shetty Memorial Institute of Dental Sciences, Deralakatte, Mangaluru, Karnataka, India.

Department of Conservative Dentistry and Endodontics, AB Shetty Memorial Institute of Dental Sciences, Deralakatte, Mangaluru, Karnataka, India.

出版信息

Int J Clin Pediatr Dent. 2021 Mar-Apr;14(2):311-314. doi: 10.5005/jp-journals-10005-1931.

Abstract

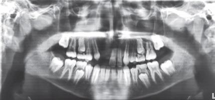
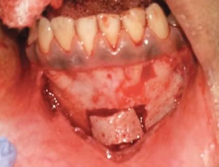
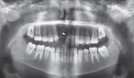
Tooth loss due to trauma often triggers residual alveolar resorption to a greater degree in the sagittal direction leading to atrophy. However, in a pediatric patient, if this defect is left untreated, it can cause further atrophy leading to collapse of the arch. In the maxillary anterior area, this is also of esthetic concern. Hence, it is viable to reconstruct the alveolar defects and restore the alveolar anatomy with superior quality of bone while the patient is still in growing phase to avoid any structural and dental malformation, as well as to provide a more novel treatment like dental implant at a later stage when growth ceases. Modes for successfully augmenting the bone are diverse. Among these, barrier membrane with guided bone regeneration, distraction osteogenesis, and bone block graft is ubiquitous. The current case report deals with the management of horizontal atrophic anterior maxillary region using autologous block bone graft harvested from mandibular symphysis, to augment the alveolar ridge and aid in esthetic and functional restoration of alveolar anatomy by restoring the defect with the bone of superior quality as well as preparing the site for receiving implant prosthesis in future when growth ceases. Bhandary M, Hegde AM, Shetty R, Augmentation of Narrow Anterior Alveolar Ridge Using Autogenous Block Onlay Graft in a Pediatric Patient: A Case Report. Int J Clin Pediatr Dent 2021;14(2):311-314.

摘要

因创伤导致的牙齿缺失通常会在矢状方向上更大程度地引发残余牙槽骨吸收,进而导致萎缩。然而,对于儿科患者,如果这种缺损不进行治疗,可能会导致进一步萎缩,进而导致牙弓塌陷。在上颌前部区域,这也涉及美观问题。因此,在患者仍处于生长阶段时,重建牙槽骨缺损并恢复具有优质骨的牙槽骨解剖结构是可行的,以避免任何结构和牙齿畸形,并在生长停止后的后期提供更新颖的治疗方法,如牙种植体。成功增加骨量(骨增量)的方式多种多样。其中,引导骨再生屏障膜、牵张成骨和骨块移植很常见。本病例报告涉及使用从下颌联合处获取的自体块状骨移植来处理上颌前部水平萎缩区域,以增加牙槽嵴,并通过用优质骨修复缺损以及为生长停止后未来接受种植修复体准备位点,来帮助牙槽骨解剖结构的美观和功能恢复。Bhandary M, Hegde AM, Shetty R, 儿科患者使用自体块状贴附移植增加狭窄前牙槽嵴:病例报告。《国际临床儿科牙科学杂志》2021年;14(2):311 - 314。

https://cdn.ncbi.nlm.nih.gov/pmc/blobs/1c7c/8343676/bf70c8acda45/ijcpd-14-311-g001.jpg

文献检索

告别复杂PubMed语法,用中文像聊天一样搜索,搜遍4000万医学文献。AI智能推荐,让科研检索更轻松。

立即免费搜索

文件翻译

保留排版,准确专业,支持PDF/Word/PPT等文件格式,支持 12+语言互译。

免费翻译文档

深度研究

AI帮你快速写综述,25分钟生成高质量综述,智能提取关键信息,辅助科研写作。

立即免费体验