Suppr超能文献

全身应用奥美拉唑对钛牙种植体周围骨整合的影响:犬的组织形态计量学研究

Effect of systemic administration of omeprazole on osseointegration around titanium dental implants: A histomorphometric study in dogs.

作者信息

Kanounisabet Negar, Mogharehabed Ahmad, Torabinia Nakisa, Nejad Seyedeh Marzieh Hashemi, Yaghini Jaber

机构信息

Department of Periodontology, School of Dentistry, Tehran University of Medical Sciences, Tehran, Iran.

Department of Periodontology, Dental Implant Research Center, Dental Research Institute, Isfahan University of Medical Sciences, Isfahan, Iran.

出版信息

Dent Res J (Isfahan). 2021 Jun 22;18:43. eCollection 2021.

Abstract

BACKGROUND

Dental implants are widely accepted substitutes for replacing missing teeth. Many factors, including the use of specific drugs such as proton-pump inhibitors (PPIs) (omeprazole), can affect the success of dental implantations. The aim of this study was to investigate the relationship between the use of omeprazole and osseointegration of dental implants.

MATERIALS AND METHODS

This experimental animal study was performed on eight native male dogs weighted 11-13 kg and aged 16-20 months. The dogs were divided into two groups (receivers and nonreceivers of omeprazole). After extraction of mandibular teeth, treatment was started randomly with the administration of omeprazole and saline. After a 2-month recovery period, six titanium implants were placed in the jaws of all dogs and the administration of omeprazole was continued for 2 weeks. After 4 and 12 weeks, the dogs were anesthetized and dental implants with their bone marrow were removed. The samples were examined histomorphometrically to determine osseointegration. Data were analyzed with two-way ANOVA test for 95% confidence interval. The value was set at 0.05.

RESULTS

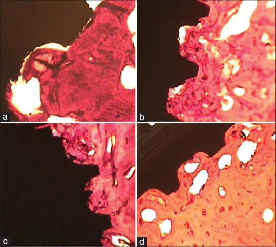
In the microscopic examination of the samples in week 4, the levels of bone-implant contact (BIC) in the study group were significantly lower than the control group (46.37 vs. 64.37%). In 12 weeks, BIC was significantly lower than that of the control group (67.33 vs. 82.00%). The type of bone formed in week 4 in both the groups was more woven, and in the 12th week, it was mostly lamellar.

CONCLUSION

Systemic administration of PPIs may interfere with osseointegration of dental implants.

摘要

背景

牙种植体是广泛应用于替代缺失牙的修复体。许多因素,包括使用特定药物如质子泵抑制剂(PPIs)(奥美拉唑),都可能影响牙种植的成功率。本研究旨在探讨奥美拉唑的使用与牙种植体骨结合之间的关系。

材料与方法

本实验性动物研究选取8只体重11 - 13 kg、年龄16 - 20个月的雄性本土犬。将犬分为两组(奥美拉唑给药组和非给药组)。拔除下颌牙齿后,随机开始给予奥美拉唑和生理盐水治疗。经过2个月的恢复期后,所有犬的颌骨内植入6枚钛种植体,并继续给予奥美拉唑2周。4周和12周后,对犬进行麻醉并取出带有骨髓的牙种植体。对样本进行组织形态计量学检查以确定骨结合情况。采用双向方差分析对数据进行分析,置信区间为95%。设定P值为0.05。

结果

在第4周样本的显微镜检查中,研究组的骨 - 种植体接触(BIC)水平显著低于对照组(46.37%对64.37%)。在第12周时,BIC仍显著低于对照组(67.33%对82.00%)。两组在第4周形成的骨类型多为编织骨,在第12周时,大多为板层骨。

结论

全身应用质子泵抑制剂可能会干扰牙种植体的骨结合。

https://cdn.ncbi.nlm.nih.gov/pmc/blobs/9500/8351961/c78557df538f/DRJ-18-43-g001.jpg

文献检索

告别复杂PubMed语法,用中文像聊天一样搜索,搜遍4000万医学文献。AI智能推荐,让科研检索更轻松。

立即免费搜索

文件翻译

保留排版,准确专业,支持PDF/Word/PPT等文件格式,支持 12+语言互译。

免费翻译文档

深度研究

AI帮你快速写综述,25分钟生成高质量综述,智能提取关键信息,辅助科研写作。

立即免费体验