Suppr超能文献

肠道微生物组在链脲佐菌素诱导的糖尿病大鼠中的失调及在视网膜病变期间的后续变化。

Dysbiosis in the Gut Microbiome in Streptozotocin-Induced Diabetes Rats and Follow-Up During Retinal Changes.

机构信息

Prof Brien Holden Eye Research Centre, L. V. Prasad Eye Institute, Hyderabad, Telangana, India.

Smt. Kanuri Santhamma Centre for Vitreo Retinal Diseases, L. V. Prasad Eye Institute, Hyderabad, Telangana, India.

出版信息

Invest Ophthalmol Vis Sci. 2021 Aug 2;62(10):31. doi: 10.1167/iovs.62.10.31.

Abstract

PURPOSE

To analyze the gut bacterial microbiome of streptozotocin-induced diabetic rats and rats with retinal changes.

METHODS

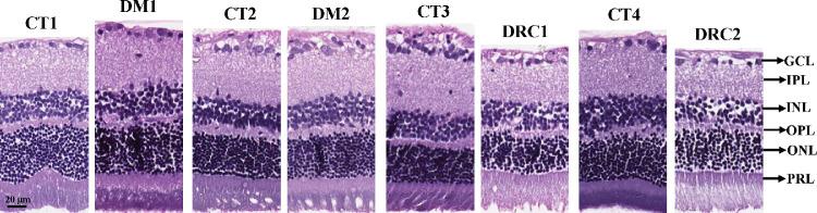
Induction of diabetes was confirmed by an increase in blood sugar (>150 mg/dL), and the progression of diabetes with retinal changes was assessed by histology and immunohistochemistry of retinal sections. Microbiomes were generated using fecal DNA, and the V3-V4 amplicons were sequenced and analyzed by QIIME and R.

RESULTS

Dysbiosis in the gut microbiome of diabetic rats and diabetic rats with retinal changes was observed at the phylum and genus levels compared with the control rats. Heat-map analysis based on the differentially abundant genera indicated that the microbiomes of controls and diabetic rats separated into two distinct clusters. The majority of the microbiomes in diabetic rats with retinal changes also formed a distinct cluster from the control rats. β-diversity analysis separated the microbiome of control rats from the microbiome of diabetic rats and diabetic rats with retinal changes, but the microbiomes of diabetic rats and diabetic rats with retinal changes showed an overlap. Functional analysis indicated that the enhanced inflammation in diabetic rats showing retinal changes could be ascribed to a decrease in anti-inflammatory bacteria and an increase in pathogenic and proinflammatory bacteria.

CONCLUSIONS

This study showed that the gut bacterial microbiome in diabetic rats with retinal changes was different compared with control rats. The results could help develop novel therapeutics for diabetics and diabetic individuals with retinal changes.

摘要

目的

分析链脲佐菌素诱导的糖尿病大鼠和伴有视网膜病变大鼠的肠道细菌微生物组。

方法

通过血糖升高(>150mg/dL)确认糖尿病的诱导,通过视网膜切片的组织学和免疫组织化学评估糖尿病伴视网膜病变的进展。使用粪便 DNA 生成微生物组,通过 QIIME 和 R 对 V3-V4 扩增子进行测序和分析。

结果

与对照组大鼠相比,糖尿病大鼠和伴有视网膜病变的糖尿病大鼠的肠道微生物组在门和属水平上出现了失调。基于差异丰度属的热图分析表明,对照组和糖尿病大鼠的微生物组分为两个不同的簇。大多数伴有视网膜病变的糖尿病大鼠的微生物组也与对照组形成了一个独特的簇。β多样性分析将对照组大鼠的微生物组与糖尿病大鼠和伴有视网膜病变的糖尿病大鼠的微生物组分开,但糖尿病大鼠和伴有视网膜病变的糖尿病大鼠的微生物组显示出重叠。功能分析表明,伴有视网膜病变的糖尿病大鼠炎症增强可归因于抗炎细菌减少和致病性和促炎细菌增加。

结论

本研究表明,伴有视网膜病变的糖尿病大鼠的肠道细菌微生物组与对照组大鼠不同。这些结果可能有助于为糖尿病患者和伴有视网膜病变的糖尿病患者开发新的治疗方法。

https://cdn.ncbi.nlm.nih.gov/pmc/blobs/10b2/8399471/8a77469cfc1e/iovs-62-10-31-f001.jpg

文献AI研究员

20分钟写一篇综述,助力文献阅读效率提升50倍。

立即体验

用中文搜PubMed

大模型驱动的PubMed中文搜索引擎

马上搜索

文档翻译

学术文献翻译模型,支持多种主流文档格式。

立即体验