Suppr超能文献

使用脱细胞肌肉和生物活性陶瓷评估新型外科手术:组织学分析

Assessment of novel surgical procedures using decellularised muscle and bioactive ceramic: a histological analysis.

作者信息

Alfotawi Randa, Ahmed Raeesa, Atteya Muhammad, Mahmood Amer, Siyal Abdulazize, AlHindi Marium, El-Ghannam Ahmad

机构信息

Oral & Maxillofacial dept, Dental Collage, King Saud University, Riyadh, Saudi Arabia.

College of Medicine, King Saud University, Riyadh, Saudi Arabia.

出版信息

J Mater Sci Mater Med. 2021 Aug 28;32(9):113. doi: 10.1007/s10856-021-06585-9.

Abstract

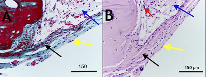
Tissue regeneration and neovascularisation in cases of major bone loss is a challenge in maxillofacial surgery. The hypothesis of the present study is that the addition of resorbable bioactive ceramic Silica Calcium Phosphate Cement (SCPC) to Declluraized Muscle Scaffold (DSM) can expedite bone formation and maturation. Two surgical defect models were created in 18 nude transgenic mice. Group 1(n = 6), with a 2-mm decortication calvarial defect, was treated with a DSM/SCPC sheet over the corticated bone as an onlay then seeded with human Mesenchymal Stromal Cells hMSC in situ. In Group 2 (n = 6), a critical size (4 mm) calvarial defect was made and grafted with DSM/SCPC/in situ human bone marrow stromal cells (hMSCs). The control groups included Group 3 (n = 3) animals, with a 2-mm decortication defect treated with an onlay DSM sheet, and Group 4 (n = 3) animals, treated with critical size defect grafted with plain DSM. After 8 weeks, bone regeneration in various groups was evaluated using histology, immunohistochemistry and histomorphometry. New bone formation and maturation was superior in groups treated with DSM/SCPC/hMSC. The DMS/SCPC scaffold has the ability to augment and induce bone regeneration and neovascularisation in cases of major bone resorption and critical size defects.

摘要

在严重骨缺损病例中,组织再生和新血管形成是颌面外科面临的一项挑战。本研究的假设是,将可吸收生物活性陶瓷磷酸硅钙骨水泥(SCPC)添加到去细胞化肌肉支架(DSM)中可加速骨形成和成熟。在18只裸转基因小鼠中创建了两种手术缺损模型。第1组(n = 6)有一个2毫米的颅骨去皮质缺损,在皮质骨上覆盖DSM/SCPC片作为贴附物,然后原位接种人间充质基质细胞(hMSC)。第2组(n = 6)制造了一个临界尺寸(4毫米)的颅骨缺损,并用DSM/SCPC/原位人骨髓基质细胞(hMSC)进行移植。对照组包括第3组(n = 3)动物,有一个2毫米的去皮质缺损,用贴附的DSM片治疗;以及第4组(n = 3)动物,用普通DSM移植临界尺寸缺损进行治疗。8周后,使用组织学、免疫组织化学和组织形态计量学评估各组的骨再生情况。在接受DSM/SCPC/hMSC治疗的组中,新骨形成和成熟情况更好。DMS/SCPC支架有能力在严重骨吸收和临界尺寸缺损的情况下增强和诱导骨再生及新血管形成。

https://cdn.ncbi.nlm.nih.gov/pmc/blobs/60b2/8403111/7187c4a6a664/10856_2021_6585_Fig1_HTML.jpg

文献AI研究员

20分钟写一篇综述,助力文献阅读效率提升50倍。

立即体验

用中文搜PubMed

大模型驱动的PubMed中文搜索引擎

马上搜索

文档翻译

学术文献翻译模型,支持多种主流文档格式。

立即体验