Suppr超能文献

非创伤性骨化性肌炎

Non-traumatic myositis ossificans.

作者信息

Rehman Nidhin, Sadashiva Harish, Madakshira Manoj Gopal, Raman Deep Kumar

机构信息

Command Hospital, Department of Laboratory Medicine, Lucknow, Uttar Pradesh, India.

Command Hospital, Department of Oncosurgery, Lucknow, Uttar Pradesh, India.

出版信息

Autops Case Rep. 2021 Aug 20;11:e2021316. doi: 10.4322/acr.2021.316. eCollection 2021.

Abstract

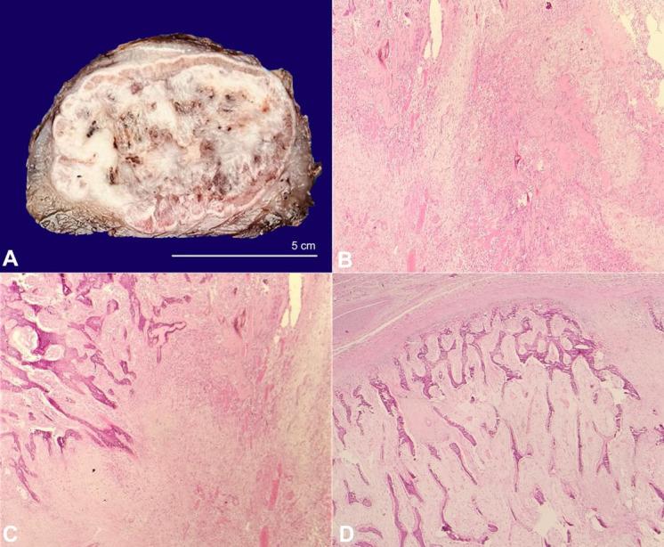
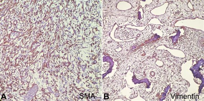
Myositis ossificans (MO) is a benign, ossifying lesion that usually affects the skeletal muscle. The rare non-traumatic form of MO can cause diagnostic dilemma and management issues. These lesions, however, have similar radiology and histopathological characteristics described in the more frequently encountered traumatic forms. Depending on the stage of the lesion, the inherent feature of myositis ossificans varies, and so does the management of the lesion. We describe a non-traumatic MO occurring in latissimus dorsi of a young girl and discuss the review of literature on this rare subtype.

摘要

骨化性肌炎(MO)是一种通常累及骨骼肌的良性骨化性病变。罕见的非创伤性骨化性肌炎可导致诊断困境和治疗问题。然而,这些病变具有与更常见的创伤性骨化性肌炎形式相似的放射学和组织病理学特征。根据病变阶段,骨化性肌炎的固有特征会有所不同,病变的治疗方法也是如此。我们描述了一名年轻女孩背阔肌中发生的非创伤性骨化性肌炎,并讨论了关于这种罕见亚型的文献综述。

https://cdn.ncbi.nlm.nih.gov/pmc/blobs/9c2f/8387081/ca8db9b8f135/autopsy-11-e2021316-g01.jpg

相似文献

1
Non-traumatic myositis ossificans.
Autops Case Rep. 2021 Aug 20;11:e2021316. doi: 10.4322/acr.2021.316. eCollection 2021.
2
Myositis Ossificans.
J Am Acad Orthop Surg. 2015 Oct;23(10):612-22. doi: 10.5435/JAAOS-D-14-00269. Epub 2015 Aug 28.
3
Post-traumatic myositis ossificans: a benign lesion that simulates malignant bone and soft tissue tumours.
EFORT Open Rev. 2021 Jul 8;6(7):572-583. doi: 10.1302/2058-5241.6.210002. eCollection 2021 Jul.
4
Traumatic myositis ossificans (ossifying pseudotumor) of temporal muscle.
Int J Oral Maxillofac Surg. 2002 Feb;31(1):110-1. doi: 10.1054/ijom.2001.0118.
5
A nontraumatic myositis ossificans case of the forearm: Case report and literature review.
Exp Ther Med. 2021 May;21(5):531. doi: 10.3892/etm.2021.9963. Epub 2021 Mar 23.
6
Two cases of myositis ossificans in children, after prolonged immobilization.
J Musculoskelet Neuronal Interact. 2019 Mar 1;19(1):118-122.
7
Myositis ossificans on the forearm in a 10-year-old girl.
J Pediatr Orthop B. 2015 May;24(3):223-5. doi: 10.1097/BPB.0000000000000152.
8
Myositis ossificans: A rare location in the foot. Report of a case and review of literature.
Int J Surg Case Rep. 2016;26:84-7. doi: 10.1016/j.ijscr.2016.07.005. Epub 2016 Jul 14.
9
Myositis ossificans in children: a review.
Eur J Orthop Surg Traumatol. 2017 May;27(4):491-502. doi: 10.1007/s00590-017-1932-x. Epub 2017 Mar 9.
10
Myositis ossificans in the diabetic foot: a review of the literature with an illustrative case series.
JRSM Open. 2019 Dec 9;10(12):2054270419885231. doi: 10.1177/2054270419885231. eCollection 2019 Dec.

引用本文的文献

1
Diagnosis of Pediatric Myositis Ossificans Based on Cytomorphology and Molecular Analysis From FNAB Sample: A Case Report.
Diagn Cytopathol. 2025 Jul;53(7):E138-E143. doi: 10.1002/dc.25477. Epub 2025 Apr 22.
2
Non-traumatic Myositis Ossificans Mimicking Infected Hip in Children: Two Case Reports and Review of the Literature.
Cureus. 2024 Sep 23;16(9):e69990. doi: 10.7759/cureus.69990. eCollection 2024 Sep.
3
An unusual clinical presentation of nontraumatic myositis ossificans: Leg length discrepancy.
Turk J Phys Med Rehabil. 2023 Jun 5;70(1):145-148. doi: 10.5606/tftrd.2023.11593. eCollection 2024 Mar.
4
Imaging spectrum of atraumatic muscle disorders: a radiologist's guide.
Skeletal Radiol. 2024 Aug;53(8):1449-1464. doi: 10.1007/s00256-024-04659-7. Epub 2024 Mar 23.
5
Myositis ossificans in the pediatric population: a systematic scoping review.
Front Pediatr. 2023 Dec 15;11:1295212. doi: 10.3389/fped.2023.1295212. eCollection 2023.
6
Aggressive atraumatic myositis ossificans in a toddler.
Radiol Case Rep. 2022 Sep 28;17(12):4550-4555. doi: 10.1016/j.radcr.2022.09.032. eCollection 2022 Dec.

本文引用的文献

1
A nontraumatic myositis ossificans case of the forearm: Case report and literature review.
Exp Ther Med. 2021 May;21(5):531. doi: 10.3892/etm.2021.9963. Epub 2021 Mar 23.
2
Non-traumatic myositis ossificans of the thigh. A case report.
Ann Ital Chir. 2019 Mar 5;8:S2239253X19030111.
3
Two cases of myositis ossificans in children, after prolonged immobilization.
J Musculoskelet Neuronal Interact. 2019 Mar 1;19(1):118-122.
4
Myositis ossificans in children: a review.
Eur J Orthop Surg Traumatol. 2017 May;27(4):491-502. doi: 10.1007/s00590-017-1932-x. Epub 2017 Mar 9.
5
MR imaging and ultrasonography findings of early myositis ossificans: a case report.
Skeletal Radiol. 2016 Oct;45(10):1413-7. doi: 10.1007/s00256-016-2441-4. Epub 2016 Aug 10.
6
A Rare Case Of Non Traumatic Myositis Ossificans Circumscripta.
J Orthop Case Rep. 2015 Jul-Sep;5(3):15-7. doi: 10.13107/jocr.2250-0685.296.
7
Non-traumatic myositis ossificans circumscripta at elbow joint in a 9-year old child.
Chin J Traumatol. 2016 Apr 1;19(2):122-4. doi: 10.1016/j.cjtee.2016.01.009.
8
A rare case of pediatric Nontraumatic Myositis Ossificans in the posterior triangle.
Int J Pediatr Otorhinolaryngol. 2016 May;84:116-8. doi: 10.1016/j.ijporl.2016.03.003. Epub 2016 Mar 12.
10
Myositis Ossificans.
J Am Acad Orthop Surg. 2015 Oct;23(10):612-22. doi: 10.5435/JAAOS-D-14-00269. Epub 2015 Aug 28.

文献AI研究员

20分钟写一篇综述,助力文献阅读效率提升50倍。

立即体验

用中文搜PubMed

大模型驱动的PubMed中文搜索引擎

马上搜索

文档翻译

学术文献翻译模型,支持多种主流文档格式。

立即体验