Suppr超能文献

新型冠状病毒肺炎感染后自发性血管造影阴性蛛网膜下腔出血中的低压性脑积水

Low-Pressure Hydrocephalus in Spontaneous Angiogram-Negative Subarachnoid Hemorrhage Following COVID-19 Infection.

作者信息

Weisbrod Luke, Davidson Caroline, Gard Andrew, Surdell Daniel

机构信息

Neurosurgery, University of Nebraska Medical Center, Omaha, USA.

出版信息

Cureus. 2021 Jul 27;13(7):e16674. doi: 10.7759/cureus.16674. eCollection 2021 Jul.

Abstract

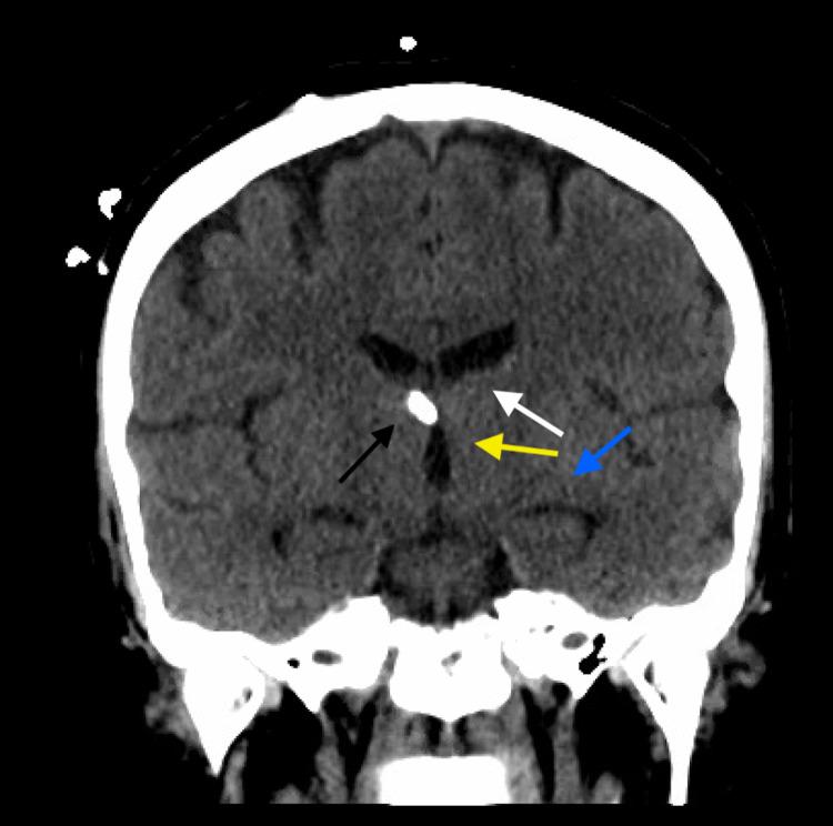
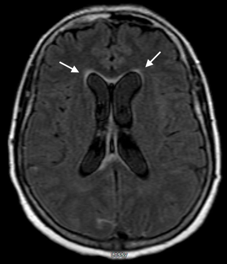
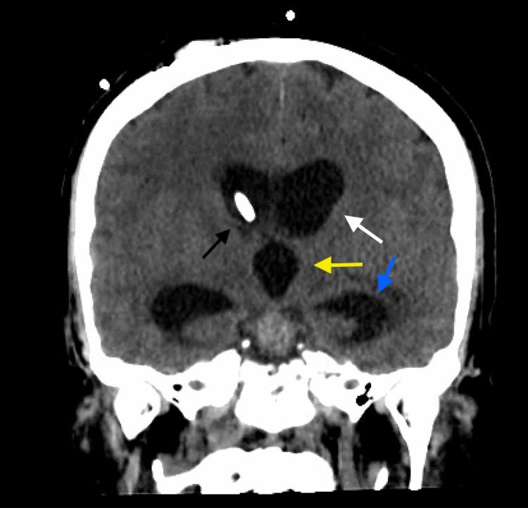
A preliminary report warned that severe acute respiratory syndrome coronavirus 2 (SARS-CoV-2) could have neuro-invasive potential as it was observed that some patients showed neurologic symptoms such as headache, nausea, and vomiting. Following early speculation there have been reports of neurologic manifestations involving both the central nervous system and peripheral nervous system including reports that coronavirus disease 2019 (COVID-19) may increase the risk of acute ischemic stroke. Here we present a patient with recent COVID-19 infection who experienced low-pressure hydrocephalus requiring high-output cerebrospinal fluid (CSF) diversion following spontaneous angiogram-negative subarachnoid hemorrhage. We hypothesize that patients who are either currently or who have recently been infected with SARS-CoV-2 may have altered ventricular compliance and/or altered CSF hydrodynamics from mechanisms that are not yet understood but potentially related to previously described pathophysiologic mechanisms of the virus and associated inflammatory reaction.

摘要

一份初步报告警告称,严重急性呼吸综合征冠状病毒2(SARS-CoV-2)可能具有神经侵袭潜力,因为观察到一些患者出现头痛、恶心和呕吐等神经症状。在早期猜测之后,有报道称神经系统表现涉及中枢神经系统和周围神经系统,包括有报道称2019冠状病毒病(COVID-19)可能增加急性缺血性中风的风险。在此,我们报告一名近期感染COVID-19的患者,该患者在自发性血管造影阴性蛛网膜下腔出血后出现低压性脑积水,需要进行高流量脑脊液(CSF)分流。我们推测,目前或近期感染SARS-CoV-2的患者可能存在心室顺应性改变和/或脑脊液流体动力学改变,其机制尚不清楚,但可能与该病毒先前描述的病理生理机制及相关炎症反应有关。

https://cdn.ncbi.nlm.nih.gov/pmc/blobs/30c7/8389884/3175cd2c4d9f/cureus-0013-00000016674-i01.jpg

文献检索

告别复杂PubMed语法,用中文像聊天一样搜索,搜遍4000万医学文献。AI智能推荐,让科研检索更轻松。

立即免费搜索

文件翻译

保留排版,准确专业,支持PDF/Word/PPT等文件格式,支持 12+语言互译。

免费翻译文档

深度研究

AI帮你快速写综述,25分钟生成高质量综述,智能提取关键信息,辅助科研写作。

立即免费体验