Suppr超能文献

新型抗肿瘤化合物HCA通过诱导内质网应激和自噬促进胶质瘤细胞死亡。

The Novel Antitumor Compound HCA Promotes Glioma Cell Death by Inducing Endoplasmic Reticulum Stress and Autophagy.

作者信息

Beteta-Göbel Roberto, Fernández-Díaz Javier, Arbona-González Laura, Rodríguez-Lorca Raquel, Torres Manuel, Busquets Xavier, Fernández-García Paula, Escribá Pablo V, Lladó Victoria

机构信息

Laboratory of Molecular Cell Biomedicine, Department of Biology, University of the Balearic Islands, 07122 Palma de Mallorca, Spain.

Department of R&D, Laminar Pharmaceuticals, Isaac Newton, 07121 Palma de Mallorca, Spain.

出版信息

Cancers (Basel). 2021 Aug 26;13(17):4290. doi: 10.3390/cancers13174290.

Abstract

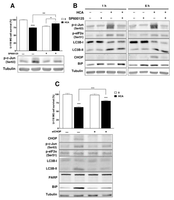
Glioblastoma (GBM) is the most common and aggressive type of primary brain tumor in adults, and the median survival of patients with GBM is 14.5 months. Melitherapy is an innovative therapeutic approach to treat different diseases, including cancer, and it is based on the regulation of cell membrane composition and structure, which modulates relevant signal pathways. Here, we have tested the effects of 2-hydroxycervonic acid (HCA) on GBM cells and xenograft tumors. HCA was taken up by cells and it compromised the survival of several human GBM cell lines in vitro, as well as the in vivo growth of xenograft tumors (mice) derived from these cells. HCA appeared to enhance ER stress/UPR signaling, which consequently induced autophagic cell death of the GBM tumor cells. This negative effect of HCA on GBM cells may be mediated by the JNK/c-Jun/CHOP/BiP axis, and it also seems to be provoked by the cellular metabolite of HCA, C21:5n-3 (heneicosapentaenoic acid). These results demonstrate the efficacy of the melitherapeutic treatment used and the potential of using C21:5n-3 as an efficacy biomarker for this treatment. Given the safety profile in animal models, the data presented here provide evidence that HCA warrants further clinical study as a potential therapy for GBM, currently an important unmet medical need.

摘要

胶质母细胞瘤(GBM)是成人中最常见且侵袭性最强的原发性脑肿瘤类型,GBM患者的中位生存期为14.5个月。蜂疗是一种用于治疗包括癌症在内的不同疾病的创新治疗方法,它基于对细胞膜组成和结构的调节,进而调节相关信号通路。在此,我们测试了2-羟基二十碳五烯酸(HCA)对GBM细胞和异种移植肿瘤的影响。HCA被细胞摄取,它在体外损害了几种人GBM细胞系的存活,以及源自这些细胞的异种移植肿瘤(小鼠)的体内生长。HCA似乎增强了内质网应激/未折叠蛋白反应信号,从而诱导了GBM肿瘤细胞的自噬性细胞死亡。HCA对GBM细胞的这种负面影响可能由JNK/c-Jun/CHOP/BiP轴介导,并且似乎也由HCA的细胞代谢产物C21:5n-3(二十一碳五烯酸)引发。这些结果证明了所使用的蜂疗治疗的有效性以及使用C21:5n-3作为该治疗的疗效生物标志物的潜力。鉴于在动物模型中的安全性,此处呈现的数据提供了证据,表明HCA作为GBM的潜在治疗方法值得进一步的临床研究,GBM目前是一项重要的未满足的医疗需求。

https://cdn.ncbi.nlm.nih.gov/pmc/blobs/42ce/8428344/18b3fce61f93/cancers-13-04290-g001.jpg

文献检索

告别复杂PubMed语法,用中文像聊天一样搜索,搜遍4000万医学文献。AI智能推荐,让科研检索更轻松。

立即免费搜索

文件翻译

保留排版,准确专业,支持PDF/Word/PPT等文件格式,支持 12+语言互译。

免费翻译文档

深度研究

AI帮你快速写综述,25分钟生成高质量综述,智能提取关键信息,辅助科研写作。

立即免费体验