Paris Brain Institute - Institut du Cerveau, Sorbonne Université, Inserm, CNRS, Hôpital Pitié-Salpêtrière, Paris, France.
Doctoral School of Biomedical Sciences, Leuven, Belgium.
Elife. 2021 Sep 9;10:e69199. doi: 10.7554/eLife.69199.
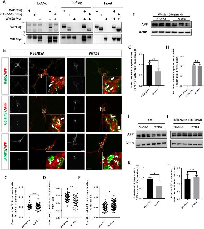
The Amyloid Precursor Protein (APP) and its homologues are transmembrane proteins required for various aspects of neuronal development and activity, whose molecular function is unknown. Specifically, it is unclear whether APP acts as a receptor, and if so what its ligand(s) may be. We show that APP binds the Wnt ligands Wnt3a and Wnt5a and that this binding regulates APP protein levels. Wnt3a binding promotes full-length APP (flAPP) recycling and stability. In contrast, Wnt5a promotes APP targeting to lysosomal compartments and reduces flAPP levels. A conserved Cysteine-Rich Domain (CRD) in the extracellular portion of APP is required for Wnt binding, and deletion of the CRD abrogates the effects of Wnts on flAPP levels and trafficking. Finally, loss of APP results in increased axonal and reduced dendritic growth of mouse embryonic primary cortical neurons. This phenotype can be cell-autonomously rescued by full length, but not CRD-deleted, APP and regulated by Wnt ligands in a CRD-dependent manner.
淀粉样前体蛋白(APP)及其同源物是跨膜蛋白,对于神经元发育和活动的各个方面都是必需的,但其分子功能尚不清楚。具体来说,尚不清楚 APP 是否作为受体发挥作用,如果是,其配体可能是什么。我们发现 APP 结合了 Wnt 配体 Wnt3a 和 Wnt5a,并且这种结合调节 APP 蛋白水平。Wnt3a 结合促进全长 APP(flAPP)的回收和稳定性。相比之下,Wnt5a 促进 APP 靶向溶酶体区室,并降低 flAPP 水平。APP 细胞外部分的保守半胱氨酸丰富域(CRD)是 Wnt 结合所必需的,并且 CRD 缺失会消除 Wnts 对 flAPP 水平和运输的影响。最后,APP 的缺失导致小鼠胚胎原代皮质神经元的轴突生长增加和树突生长减少。这种表型可以通过全长但不是 CRD 缺失的 APP 进行细胞自主挽救,并且受 CRD 依赖性的 Wnt 配体调节。