Suppr超能文献

鼠李糖乳杆菌 TR08 缓解脓毒症小鼠的肠道损伤并调节肠道菌群失调。

Lacticaseibacillus rhamnosus TR08 alleviated intestinal injury and modulated microbiota dysbiosis in septic mice.

机构信息

Department of Critical Care Medicine, Jinling Hospital of Nanjing Medical University, 305 East Zhongshan Road, Nanjing, 225001, China.

Department of Critical Care Medicine, Affiliated Hospital of Jiangsu University, Zhenjiang, China.

出版信息

BMC Microbiol. 2021 Sep 18;21(1):249. doi: 10.1186/s12866-021-02317-9.

Abstract

BACKGROUND

Probiotics are widely used in intestinal microbiota imbalance caused by sepsis, however, the protective mechanism is still unclear. This study aimed to explore protective effect of Lacticaseibacillus rhamnosus TR08 on intestinal injury in septic mice.

RESULTS

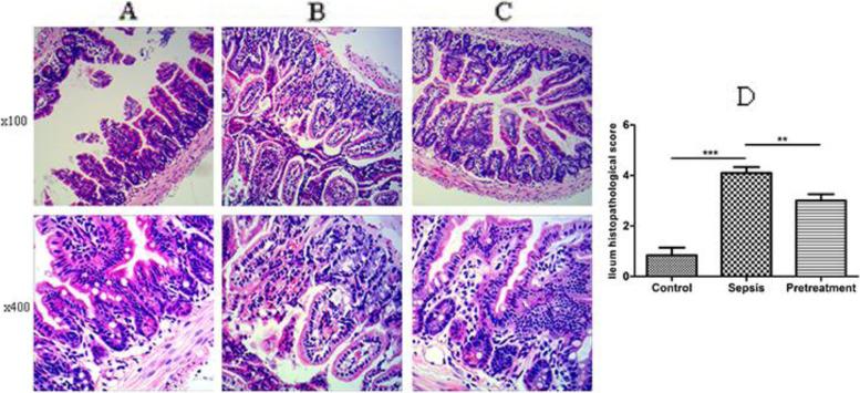
The levels of serum inflammatory factors were reduced significantly in septic mice treated with L. rhamnosus TR08. The levels of sIgA in terminal ileum were significantly higher in probiotic treatment group than sepsis group. Intestinal pathological damage in septic mice improved and the expression of tight junction proteins increased after probiotic treatment. Sequencing of fecal microbiota showed that the abundance and diversity of probiotic treatment group were significantly better than those of sepsis group, and beneficial bacteria increased while some bacteria decreased in the phylum level.

CONCLUSION

L. rhamnosus TR08 could improve the integrity of intestinal barrier, enhance the intestinal mucosal immunity in septic mice, and rebalance the intestinal microecosystem.

摘要

背景

益生菌广泛应用于脓毒症引起的肠道菌群失衡,但保护机制尚不清楚。本研究旨在探讨鼠李糖乳杆菌 TR08 对脓毒症小鼠肠道损伤的保护作用。

结果

与脓毒症组相比,用鼠李糖乳杆菌 TR08 处理的脓毒症小鼠血清炎症因子水平显著降低。益生菌治疗组末端回肠的 sIgA 水平明显高于脓毒症组。益生菌治疗后,脓毒症小鼠的肠道病理损伤得到改善,紧密连接蛋白的表达增加。粪便微生物测序显示,益生菌治疗组的丰度和多样性明显优于脓毒症组,有益菌增加,而某些细菌在门水平减少。

结论

鼠李糖乳杆菌 TR08 可改善肠道屏障的完整性,增强脓毒症小鼠的肠道黏膜免疫功能,使肠道微生态系统重新平衡。

https://cdn.ncbi.nlm.nih.gov/pmc/blobs/5bfd/8449483/0611721445b3/12866_2021_2317_Fig1_HTML.jpg

文献AI研究员

20分钟写一篇综述,助力文献阅读效率提升50倍。

立即体验

用中文搜PubMed

大模型驱动的PubMed中文搜索引擎

马上搜索

文档翻译

学术文献翻译模型,支持多种主流文档格式。

立即体验