Suppr超能文献

基于液体衰减反转恢复序列(FLAIR)和表观扩散系数(ADC)图像的影像组学特征作为急性缺血性脑卒中患者不良预后的预测生物标志物

FLAIR and ADC Image-Based Radiomics Features as Predictive Biomarkers of Unfavorable Outcome in Patients With Acute Ischemic Stroke.

作者信息

Quan Guanmin, Ban Ranran, Ren Jia-Liang, Liu Yawu, Wang Weiwei, Dai Shipeng, Yuan Tao

机构信息

Department of Medical Imaging, The Second Hospital of Hebei Medical University, Shijiazhuang, China.

GE Healthcare China, Beijing, China.

出版信息

Front Neurosci. 2021 Sep 16;15:730879. doi: 10.3389/fnins.2021.730879. eCollection 2021.

Abstract

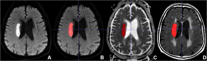
At present, it is still challenging to predict the clinical outcome of acute ischemic stroke (AIS). In this retrospective study, we explored whether radiomics features extracted from fluid-attenuated inversion recovery (FLAIR) and apparent diffusion coefficient (ADC) images can predict clinical outcome of patients with AIS. Patients with AIS were divided into a training ( = 110) and an external validation ( = 80) sets. A total of 753 radiomics features were extracted from each FLAIR and ADC image of the 190 patients. Interquartile range (IQR), Wilcoxon rank sum test, and least absolute shrinkage and selection operator (LASSO) were used to reduce the feature dimension. The six strongest radiomics features were related to an unfavorable outcome of AIS. A logistic regression analysis was employed for selection of potential predominating clinical and conventional magnetic resonance imaging (MRI) factors. Subsequently, we developed several models based on clinical and conventional MRI factors and radiomics features to predict the outcome of AIS patients. For predicting unfavorable outcome [modified Rankin scale (mRS) > 2] in the training set, the area under the receiver operating characteristic curve (AUC) of ADC radiomics model was 0.772, FLAIR radiomics model 0.731, ADC and FLAIR radiomics model 0.815, clinical model 0.791, and clinical and conventional MRI model 0.782. In the external validation set, the AUCs for the prediction with ADC radiomics model was 0.792, FLAIR radiomics model 0.707, ADC and FLAIR radiomics model 0.825, clinical model 0.763, and clinical and conventional MRI model 0.751. When adding radiomics features to the combined model, the AUCs for predicting unfavorable outcome in the training and external validation sets were 0.926 and 0.864, respectively. Our results indicate that the radiomics features extracted from FLAIR and ADC can be instrumental biomarkers to predict unfavorable clinical outcome of AIS and would additionally improve predictive performance when adding to combined model.

摘要

目前,预测急性缺血性卒中(AIS)的临床结局仍具有挑战性。在这项回顾性研究中,我们探讨了从液体衰减反转恢复(FLAIR)和表观扩散系数(ADC)图像中提取的影像组学特征是否能够预测AIS患者的临床结局。AIS患者被分为训练集(n = 110)和外部验证集(n = 80)。从190例患者的每幅FLAIR和ADC图像中总共提取了753个影像组学特征。采用四分位数间距(IQR)、Wilcoxon秩和检验以及最小绝对收缩和选择算子(LASSO)来降低特征维度。六个最强的影像组学特征与AIS的不良结局相关。采用逻辑回归分析来选择潜在的主要临床和传统磁共振成像(MRI)因素。随后,我们基于临床和传统MRI因素以及影像组学特征开发了多个模型来预测AIS患者的结局。对于训练集中预测不良结局[改良Rankin量表(mRS)>2],ADC影像组学模型的受试者操作特征曲线(AUC)下面积为0.772,FLAIR影像组学模型为0.731,ADC和FLAIR影像组学模型为0.815,临床模型为0.791,临床和传统MRI模型为0.782。在外部验证集中,ADC影像组学模型预测的AUC为0.792,FLAIR影像组学模型为0.707,ADC和FLAIR影像组学模型为0.825,临床模型为0.763,临床和传统MRI模型为0.751。当将影像组学特征添加到联合模型中时,训练集和外部验证集中预测不良结局的AUC分别为0.926和0.864。我们的结果表明,从FLAIR和ADC中提取的影像组学特征可以作为预测AIS不良临床结局的有用生物标志物,并且添加到联合模型中时还会提高预测性能。

https://cdn.ncbi.nlm.nih.gov/pmc/blobs/a087/8483716/cf5b37a6eac5/fnins-15-730879-g001.jpg

文献检索

告别复杂PubMed语法,用中文像聊天一样搜索,搜遍4000万医学文献。AI智能推荐,让科研检索更轻松。

立即免费搜索

文件翻译

保留排版,准确专业,支持PDF/Word/PPT等文件格式,支持 12+语言互译。

免费翻译文档

深度研究

AI帮你快速写综述,25分钟生成高质量综述,智能提取关键信息,辅助科研写作。

立即免费体验