Suppr超能文献

基于多模态MRI影像组学的机器学习对缺血性中风的预后预测

Prognosis of ischemic stroke predicted by machine learning based on multi-modal MRI radiomics.

作者信息

Yu Huan, Wang Zhenwei, Sun Yiqing, Bo Wenwei, Duan Kai, Song Chunhua, Hu Yi, Zhou Jie, Mu Zizhang, Wu Ning

机构信息

Department of Radiology, Liangxiang Hospital, Beijing, China.

Department of Neurology, Liangxiang Hospital, Beijing, China.

出版信息

Front Psychiatry. 2023 Jan 9;13:1105496. doi: 10.3389/fpsyt.2022.1105496. eCollection 2022.

Abstract

OBJECTIVE

Increased risk of stroke is highly associated with psychiatric disorders. We aimed to conduct the machine learning model based on multi-modal magnetic resonance imaging (MRI) radiomics predicting the prognosis of ischemic stroke.

METHODS

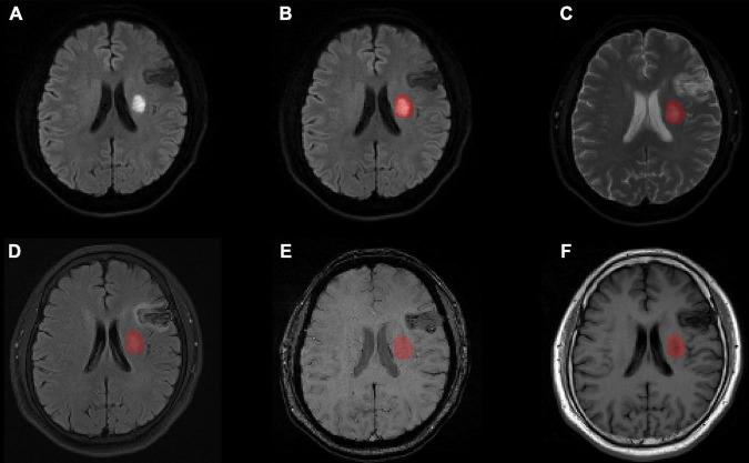
This study retrospectively analyzed 148 patients with acute ischemic stroke due to anterior circulation artery occlusion. Based on the modified Rankin Scale (mRS) score, patients were divided into good (mRS ≤ 2) and poor (mRS > 2) outcome groups. Segmentation of the infarct region was performed by manually outlining a mask of the lesion on diffusion-weighted images (DWI) using MRIcron software. The apparent diffusion coefficient (ADC), fluid decay inversion recoverage (FLAIR), susceptibility weighted imaging (SWI) and T1-weighted (T1w) images were aligned to the DWI images and the radiomic features within the lesion area were extracted for each image modality. The calculations were done using pyradiomics software and a total of 4,744 stroke-related imaging features were automatically calculated. Next, feature selection based on recursive feature elimination was used for each modality and three radiomic features were extracted from each modality plus one feature from the lesion mask, for a total of 16 radiomic features. At last, five machine learning (ML) models were trained and tested to predict stroke prognosis, calculate the received operating characteristic (ROC) curves and other parameters, evaluate the performance of the models and validate their predictive efficacy by five-fold cross-validation.

RESULTS

Sixteen radiomic features were selected to construct the ML models for prognostic classification. By five-fold cross-validation, light gradient boosting machine (LightGBM) model-based muti-modal MRI radiomic features performed best in binary prognostic classification with accuracy of 0.831, sensitivity of 0.739, specificity of 0.902, F1-score of 0.788 and an area under the curve (AUC) of 0.902.

CONCLUSION

The ML models based on muti-modal MRI radiomics are of high value for predicting clinical outcomes in acute stroke patients.

摘要

目的

中风风险增加与精神疾病高度相关。我们旨在基于多模态磁共振成像(MRI)放射组学构建机器学习模型,以预测缺血性中风的预后。

方法

本研究回顾性分析了148例因前循环动脉闭塞导致的急性缺血性中风患者。根据改良Rankin量表(mRS)评分,将患者分为预后良好(mRS≤2)和预后不良(mRS>2)两组。使用MRIcron软件在扩散加权图像(DWI)上手动勾勒病变掩码,对梗死区域进行分割。将表观扩散系数(ADC)、液体衰减反转恢复序列(FLAIR)、磁敏感加权成像(SWI)和T1加权(T1w)图像与DWI图像对齐,并针对每种图像模态提取病变区域内的放射组学特征。使用pyradiomics软件进行计算,自动计算出总共4744个与中风相关的影像特征。接下来,对每种模态使用基于递归特征消除的特征选择方法,从每种模态中提取三个放射组学特征以及从病变掩码中提取一个特征,共16个放射组学特征。最后,训练并测试了五个机器学习(ML)模型以预测中风预后,计算受试者工作特征(ROC)曲线及其他参数,评估模型性能并通过五折交叉验证验证其预测效能。

结果

选择16个放射组学特征构建用于预后分类的ML模型。通过五折交叉验证,基于轻梯度提升机(LightGBM)模型的多模态MRI放射组学特征在二元预后分类中表现最佳,准确率为0.831,灵敏度为0.739,特异性为0.902,F1分数为0.788,曲线下面积(AUC)为0.902。

结论

基于多模态MRI放射组学的ML模型对预测急性中风患者的临床结局具有很高价值。

https://cdn.ncbi.nlm.nih.gov/pmc/blobs/c39e/9868394/e304e7d8fbe6/fpsyt-13-1105496-g001.jpg

文献AI研究员

20分钟写一篇综述,助力文献阅读效率提升50倍。

立即体验

用中文搜PubMed

大模型驱动的PubMed中文搜索引擎

马上搜索

文档翻译

学术文献翻译模型,支持多种主流文档格式。

立即体验