Suppr超能文献

鼻窦曲霉菌瘤的当前诊断与治疗(综述)

Current diagnosis and treatment of rhinosinusal aspergilloma (Review).

作者信息

Vrinceanu Daniela, Dumitru Mihai, Patrascu Oana Maria, Costache Adrian, Papacocea Toma, Cergan Romica

机构信息

ENT Department, Bucharest Emergency University Hospital, 010271 Bucharest, Romania.

Department of Pathology, 'Carol Davila' University of Medicine and Pharmacy, 020021 Bucharest, Romania.

出版信息

Exp Ther Med. 2021 Nov;22(5):1264. doi: 10.3892/etm.2021.10699. Epub 2021 Sep 6.

Abstract

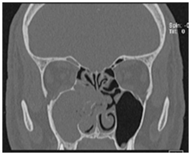
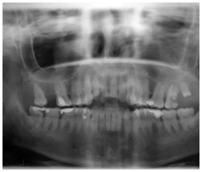
There are numerous types of sinusitis caused by fungal strains, some of which already colonize the nasal cavity. Mild forms present fungus balls growing inside a preexisting sinus cavity. The invasive type ranges from chronic manifestations to acute aggravated episodes. The latter scenario is encountered in cases with reduced immune responses, such as patients with diabetes, individuals receiving any form of transplant, AIDS cases and chemotherapy patients. Without the control of immunosuppression, the infection is aggravated and extends to the orbit and inside the skull base, regardless of the prompt surgical and medical treatment. This is the most common pathogenic fungus on the nasal sinuses level. It can occasionally enter the sinus cavity during dental procedures. The pathogenesis is enhanced by anaerobic conditions in poorly ventilated sinus cavities. Rhinosinusal aspergilloma has a slow, insidious evolution over months and even years. Our experience revealed the presence of both a dental problem and previous self-administered antibiotic regimens in almost every case. The initial symptoms are common with sinusitis of dental origin, but aspergilloma should be considered when a patient with a competent immune system does not respond to standard antibiotic treatment. The final diagnosis of rhinosinusal aspergilloma is conducted on a pathology sample with silver staining. The bacteriology exam of the sinus secretion rarely reveals a fungus infection; however, as revealed in our clinical experience, there may be coinfection with other multidrug-resistant bacteria. Surgical treatment must establish a wide exposure of the sinus cavity and correct drainage regardless of the external, combined or endoscopic approach. Early diagnosis and emergency surgical debridement along with administering systemic antifungal compounds in some cases represent the key to the successful treatment of invasive aspergilloma.

摘要

由真菌菌株引起的鼻窦炎有多种类型,其中一些已经在鼻腔定植。轻度形式表现为在已有的鼻窦腔内生长真菌球。侵袭性类型从慢性表现到急性加重发作不等。后一种情况见于免疫反应降低的病例,如糖尿病患者、接受任何形式移植的个体、艾滋病患者和化疗患者。如果不控制免疫抑制,无论进行及时的手术和药物治疗,感染都会加重并蔓延至眼眶和颅底。这是鼻窦层面最常见的致病真菌。它偶尔会在牙科手术过程中进入鼻窦腔。通风不良的鼻窦腔内的厌氧条件会增强其发病机制。鼻窦曲霉菌瘤在数月甚至数年的时间里缓慢、隐匿地发展。我们的经验表明,几乎每个病例都存在牙齿问题和先前自行使用抗生素的情况。初始症状与牙源性鼻窦炎常见症状相同,但当免疫系统正常的患者对标准抗生素治疗无反应时,应考虑曲霉菌瘤。鼻窦曲霉菌瘤的最终诊断通过银染色的病理样本进行。鼻窦分泌物的细菌学检查很少能发现真菌感染;然而,正如我们的临床经验所示,可能会合并其他多重耐药菌感染。无论采用外部、联合还是内镜方法,手术治疗都必须广泛暴露鼻窦腔并建立正确引流。早期诊断、紧急手术清创以及在某些情况下使用全身性抗真菌药物是侵袭性曲霉菌瘤成功治疗的关键。

https://cdn.ncbi.nlm.nih.gov/pmc/blobs/21c7/8453335/88e1a4bcacbc/etm-22-05-10699-g00.jpg

文献检索

告别复杂PubMed语法,用中文像聊天一样搜索,搜遍4000万医学文献。AI智能推荐,让科研检索更轻松。

立即免费搜索

文件翻译

保留排版,准确专业,支持PDF/Word/PPT等文件格式,支持 12+语言互译。

免费翻译文档

深度研究

AI帮你快速写综述,25分钟生成高质量综述,智能提取关键信息,辅助科研写作。

立即免费体验