Suppr超能文献

铜绿假单胞菌 PA14 ICE PAPI-1 的水平转移受 TprA、NdpA2 和 MvaT 之间的转录三联体控制。

The horizontal transfer of Pseudomonas aeruginosa PA14 ICE PAPI-1 is controlled by a transcriptional triad between TprA, NdpA2 and MvaT.

机构信息

LISM, IMM, Aix-Marseille University, Marseille 13402, France.

U2RM Stress/Virulence, Normandy University, UNICAEN, 14000 Caen, France.

出版信息

Nucleic Acids Res. 2021 Nov 8;49(19):10956-10974. doi: 10.1093/nar/gkab827.

Abstract

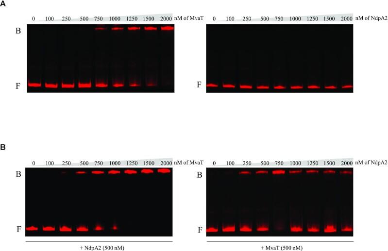
Pseudomonas aeruginosa is a major cause of nosocomial infections, particularly in immunocompromised patients or in individuals with cystic fibrosis. Genome sequences reveal that most P. aeruginosa strains contain a significant number of accessory genes gathered in genomic islands. Those genes are essential for P. aeruginosa to invade new ecological niches with high levels of antibiotic usage, like hospitals, or to survive during host infection by providing pathogenicity determinants. P. aeruginosa pathogenicity island 1 (PAPI-1), one of the largest genomic islands, encodes several putative virulence factors, including toxins, biofilm genes and antibiotic-resistance traits. The integrative and conjugative element (ICE) PAPI-1 is horizontally transferable by conjugation via a specialized GI-T4SS, but the mechanism regulating this transfer is currently unknown. Here, we show that this GI-T4SS conjugative machinery is directly induced by TprA, a regulator encoded within PAPI-1. Our data indicate that the nucleotide associated protein NdpA2 acts in synergy with TprA, removing a repressive mechanism exerted by MvaT. In addition, using a transcriptomic approach, we unravelled the regulon controlled by Ndpa2/TprA and showed that they act as major regulators on the genes belonging to PAPI-1. Moreover, TprA and NdpA2 trigger an atypical biofilm structure and enhance ICE PAPI-1 transfer.

摘要

铜绿假单胞菌是医院感染的主要原因,特别是在免疫功能低下的患者或囊性纤维化患者中。基因组序列表明,大多数铜绿假单胞菌菌株含有大量聚集在基因组岛中的辅助基因。这些基因对于铜绿假单胞菌在抗生素使用水平较高的新生态位(如医院)中入侵,或者在宿主感染期间通过提供致病性决定因素来生存至关重要。铜绿假单胞菌致病性岛 1(PAPI-1)是最大的基因组岛之一,编码了几种潜在的毒力因子,包括毒素、生物膜基因和抗生素耐药性特征。可移动整合和共轭元件(ICE)PAPI-1 可通过 GI-T4SS 通过共轭水平转移,但目前尚不清楚调节这种转移的机制。在这里,我们表明,这种 GI-T4SS 共轭机制直接由 TprA 诱导,TprA 是 PAPI-1 内编码的一种调节剂。我们的数据表明,核苷酸相关蛋白 NdpA2 与 TprA 协同作用,去除了 MvaT 施加的抑制机制。此外,我们通过转录组学方法揭示了 NdpA2/TprA 控制的调控子,并表明它们是 PAPI-1 基因的主要调节剂。此外,TprA 和 NdpA2 触发了一种非典型生物膜结构,并增强了 ICE PAPI-1 的转移。

https://cdn.ncbi.nlm.nih.gov/pmc/blobs/9ae5/8565334/f29ae50a2cb4/gkab827fig1.jpg

文献AI研究员

20分钟写一篇综述,助力文献阅读效率提升50倍。

立即体验

用中文搜PubMed

大模型驱动的PubMed中文搜索引擎

马上搜索

文档翻译

学术文献翻译模型,支持多种主流文档格式。

立即体验