Suppr超能文献

rs1800504基因多态性与2型糖尿病患者冠心病风险相关。

rs1800504 Polymorphism Is Associated With the Risk of Coronary Heart Disease in Patients With Type 2 Diabetes Mellitus.

作者信息

Yang Yang, Qiu Wentao, Meng Qian, Liu Mouze, Lin Weijie, Yang Haikui, Wang Ruiqi, Dong Jiamei, Yuan Ningning, Zhou Zhiling, He Fazhong

机构信息

Department of Pharmacy, Zhuhai People's Hospital (Zhuhai Hospital Affiliated With Jinan University), Zhuhai, China.

College of Pharmacy, Jinan University, Guangzhou, China.

出版信息

Front Cardiovasc Med. 2021 Sep 28;8:728976. doi: 10.3389/fcvm.2021.728976. eCollection 2021.

Abstract

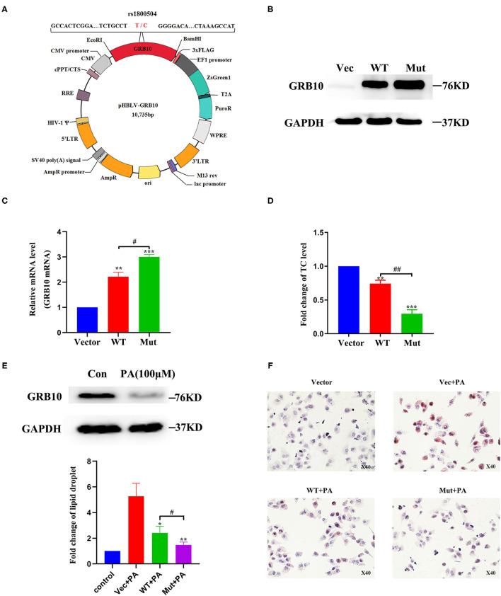
Diabetic vascular complications are one of the main causes of death and disability. Previous studies have reported that genetic variation is associated with diabetic vascular complications. In this study, we aimed to investigate the association between polymorphisms and susceptibility to type 2 diabetes mellitus (T2DM) vascular complications. Eight single nucleotide polymorphisms (SNPs) in the gene were genotyped by MassARRAY system and 934 patients with type 2 diabetes mellitus (T2DM) were included for investigation. We found that rs1800504 CC+CT genotypes were significantly associated with increased risk of coronary heart disease (CHD) compared with TT genotype (OR = 2.24; 95%CI: 1.36-3.70, = 0.002). Consistently, levels of cholesterol (CHOL) (CC+CT vs. TT, 4.44 ± 1.25 vs. 4.10 ± 1.00 mmol/L; = 0.009) and low density lipoprotein cholesterin (LDL-CH) (CC+CT vs. TT, 2.81 ± 1.07 vs. 2.53 ± 0.82 mmol/L; = 0.01) in T2DM patients with TT genotype were significant lower than those of CC+CT genotypes. We further validated in MIHA cell that the total cholesterol (TC) level in -Mut was significantly reduced compared with -WT; = 0.0005. Likewise, the reversed palmitic acid (PA) induced lipid droplet formation in -Mut was more effective than in -WT. These results suggest that rs1800504 of variant may be associated with the blood lipids and then may also related to the risk of CHD in patients with T2DM.

摘要

糖尿病血管并发症是死亡和残疾的主要原因之一。先前的研究报道基因变异与糖尿病血管并发症有关。在本研究中,我们旨在调查基因多态性与2型糖尿病(T2DM)血管并发症易感性之间的关联。通过MassARRAY系统对该基因中的8个单核苷酸多态性(SNP)进行基因分型,并纳入934例2型糖尿病(T2DM)患者进行研究。我们发现,与TT基因型相比,rs1800504的CC + CT基因型与冠心病(CHD)风险增加显著相关(OR = 2.24;95%CI:1.36 - 3.70,P = 0.002)。同样,TT基因型的T2DM患者的胆固醇(CHOL)水平(CC + CT与TT相比,4.44±1.25 vs. 4.10±1.00 mmol/L;P = 0.009)和低密度脂蛋白胆固醇(LDL-CH)水平(CC + CT与TT相比,2.81±1.07 vs. 2.53±0.82 mmol/L;P = 0.01)显著低于CC + CT基因型患者。我们在MIHA细胞中进一步验证,与野生型相比突变型中的总胆固醇(TC)水平显著降低;P = 0.0005。同样,反向棕榈酸(PA)诱导突变型中脂滴形成比野生型更有效。这些结果表明该基因变异的rs1800504可能与血脂有关,进而也可能与T2DM患者的CHD风险有关。

https://cdn.ncbi.nlm.nih.gov/pmc/blobs/52b3/8505721/94e55418a0e9/fcvm-08-728976-g0001.jpg

文献AI研究员

20分钟写一篇综述,助力文献阅读效率提升50倍。

立即体验

用中文搜PubMed

大模型驱动的PubMed中文搜索引擎

马上搜索

文档翻译

学术文献翻译模型,支持多种主流文档格式。

立即体验