Suppr超能文献

智能算法下计算机断层扫描图像特征诊断原发性肝癌患者神经内分泌激素的人性化护理效果。

Computed Tomography Image Feature under Intelligent Algorithms in Diagnosing the Effect of Humanized Nursing on Neuroendocrine Hormones in Patients with Primary Liver Cancer.

机构信息

Department of Gastroenterology, Affiliated Hongqi Hospital of Mudanjiang Medical University, Mudanjiang City 157011, Heilongjiang Province, China.

出版信息

J Healthc Eng. 2021 Oct 6;2021:4563100. doi: 10.1155/2021/4563100. eCollection 2021.

Abstract

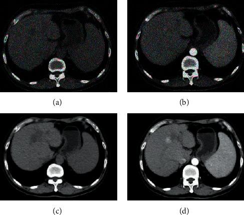
This study was to explore the application value of computed tomography (CT) images processed by intelligent algorithm denoising in the evaluation of humanized nursing in postoperative neuroendocrine hormone changes in patients with primary liver cancer (PLC). In this study, a simple-structured recursive residual coding and decoding (RRCD) algorithm was constructed on the basis of residual network, which can effectively remove artifacts and noise in CT images and can also restore image details and lesion features well. In addition, 60 postoperative patients with primary liver cancer were collected and divided into routine nursing control group (30 cases) and humanized nursing experimental group (30 cases). After a period of nursing, CT images based on intelligent algorithms were evaluated by determining the hormone content. The results showed that the focal necrosis rate (FNR) of the experimental group was 6%. The adrenocorticotropic hormone (ACTH) levels of 6 and 15 days after admission (T3 and T4) were 41.25 ± 3.81 pg/mL and 19.55 ± 1.72 pg/mL, respectively. The cortisol levels of days 6, 15, and 30 after admission (T3, T4, and T5) were 424.86 ± 16.82 nmol/L, 277.98 ± 14.36 nmol/L, and 241.53 ± 13.27 nmol/L, respectively. Estradiol levels were 53.48 ± 11.19 pg/mL, 41.64 ± 9.28 pg/mL, and 30.59 ± 8.16 pg/mL, respectively. Testosterone levels were 2.18 ± 1.14 ng/mL, 1.78 ± 1.03 ng/mL, and 1.42 ± 0.69 ng/mL, respectively. Self-Rating Anxiety Scale (SAS) scores were 40.24 ± 5.81 points, 36.55 ± 5.02 points, and 32.53 ± 4.8 points, respectively. There were 24 cases, 27 cases, 23 cases, and 21 patients who followed no smoking and drinking, taking medication on time, diet control, and self-monitoring. The scores of physical function, self-cognition, emotional function, and social function were 62.59 ± 6.82 points, 69.26 ± 8.14 points, 73.89 ± 6.35 points, and 66.88 ± 7.04 points, which were better than those of the control group in all aspects ( < 0.05). In short, the humanized nursing course can enhance the compliance of the patients after the surgery, improve the quality of life, and inhibit the anxiety and depression of the patients, so it showed a positive effect on the neuroendocrine hormones and the prognosis of the patients.

摘要

本研究旨在探讨智能算法降噪后的 CT 图像在原发性肝癌(PLC)患者术后神经内分泌激素变化的人性化护理评估中的应用价值。本研究在残差网络的基础上构建了一种简单结构的递归残差编码解码(RRCD)算法,该算法可以有效去除 CT 图像中的伪影和噪声,同时很好地恢复图像细节和病灶特征。此外,收集了 60 例原发性肝癌术后患者,分为常规护理对照组(30 例)和人性化护理实验组(30 例)。经过一段时间的护理后,通过测定激素含量对基于智能算法的 CT 图像进行评估。结果显示,实验组的局灶性坏死率(FNR)为 6%。入院后第 6 天和第 15 天(T3 和 T4)的促肾上腺皮质激素(ACTH)水平分别为 41.25±3.81pg/mL 和 19.55±1.72pg/mL,入院后第 6、15 和 30 天(T3、T4 和 T5)的皮质醇水平分别为 424.86±16.82nmol/L、277.98±14.36nmol/L 和 241.53±13.27nmol/L,雌二醇水平分别为 53.48±11.19pg/mL、41.64±9.28pg/mL 和 30.59±8.16pg/mL,睾酮水平分别为 2.18±1.14ng/mL、1.78±1.03ng/mL 和 1.42±0.69ng/mL,焦虑自评量表(SAS)评分分别为 40.24±5.81 分、36.55±5.02 分和 32.53±4.8 分。24 例、27 例、23 例和 21 例患者分别为不吸烟饮酒、按时服药、饮食控制和自我监测。身体功能、自我认知、情绪功能和社会功能的评分分别为 62.59±6.82 分、69.26±8.14 分、73.89±6.35 分和 66.88±7.04 分,均优于对照组(<0.05)。总之,人性化护理课程可以提高患者术后的依从性,提高生活质量,抑制患者的焦虑和抑郁,对神经内分泌激素和患者预后有积极作用。

https://cdn.ncbi.nlm.nih.gov/pmc/blobs/02a2/8514893/901f701ab826/JHE2021-4563100.001.jpg

文献AI研究员

20分钟写一篇综述,助力文献阅读效率提升50倍。

立即体验

用中文搜PubMed

大模型驱动的PubMed中文搜索引擎

马上搜索

文档翻译

学术文献翻译模型,支持多种主流文档格式。

立即体验