Suppr超能文献

虾青素抑制糖尿病引发的牙周破坏,改善 STZ 注射小鼠的氧化并发症,并恢复 Nrf2 依赖的抗氧化系统。

Astaxanthin Inhibits Diabetes-Triggered Periodontal Destruction, Ameliorates Oxidative Complications in STZ-Injected Mice, and Recovers Nrf2-Dependent Antioxidant System.

机构信息

Cluster for Craniofacial Development and Regeneration Research, School of Dentistry, Jeonbuk National University, Jeonju 54896, Korea.

Institute of Oral Biosciences, School of Dentistry, Jeonbuk National University, Jeonju 54896, Korea.

出版信息

Nutrients. 2021 Oct 12;13(10):3575. doi: 10.3390/nu13103575.

Abstract

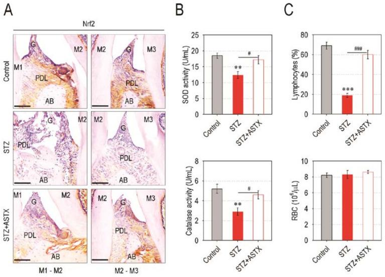
Numerous studies highlight that astaxanthin (ASTX) ameliorates hyperglycemic condition and hyperglycemia-associated chronic complications. While periodontitis and periodontic tissue degradation are also triggered under chronic hyperglycemia, the roles of ASTX on diabetes-associated periodontal destruction and the related mechanisms therein are not yet fully understood. Here, we explored the impacts of supplemental ASTX on periodontal destruction and systemic complications in type I diabetic mice. To induce diabetes, C57BL/6 mice received a single intraperitoneal injection of streptozotocin (STZ; 150 mg/kg), and the hyperglycemic mice were orally administered with ASTX (12.5 mg/kg) (STZ+ASTX group) or vehicle only (STZ group) daily for 60 days. Supplemental ASTX did not improve hyperglycemic condition, but ameliorated excessive water and feed consumptions and lethality in STZ-induced diabetic mice. Compared with the non-diabetic and STZ+ASTX groups, the STZ group exhibited severe periodontal destruction. Oral gavage with ASTX inhibited osteoclastic formation and the expression of receptor activator of nuclear factor (NF)-κB ligand, 8-OHdG, γ-H2AX, cyclooxygenase 2, and interleukin-1β in the periodontium of STZ-injected mice. Supplemental ASTX not only increased the levels of nuclear factor erythroid 2-related factor 2 (Nrf2) and osteogenic transcription factors in the periodontium, but also recovered circulating lymphocytes and endogenous antioxidant enzyme activity in the blood of STZ-injected mice. Furthermore, the addition of ASTX blocked advanced glycation end products-induced oxidative stress and growth inhibition in human-derived periodontal ligament cells by upregulating the Nrf2 pathway. Together, our results suggest that ASTX does not directly improve hyperglycemia, but ameliorates hyperglycemia-triggered periodontal destruction and oxidative systemic complications in type I diabetes.

摘要

许多研究强调虾青素(ASTX)可改善高血糖症和高血糖相关的慢性并发症。虽然在慢性高血糖下也会引发牙周炎和牙周组织降解,但 ASTX 对糖尿病相关牙周破坏的作用及其相关机制尚不完全清楚。在这里,我们研究了补充 ASTX 对 1 型糖尿病小鼠牙周破坏和全身并发症的影响。为了诱导糖尿病,C57BL/6 小鼠接受链脲佐菌素(STZ;150mg/kg)单次腹腔注射,高血糖小鼠每天口服 ASTX(12.5mg/kg)(STZ+ASTX 组)或仅给予载体(STZ 组),共 60 天。补充 ASTX 并未改善高血糖症,但可改善 STZ 诱导的糖尿病小鼠过度饮水和摄食以及死亡率。与非糖尿病和 STZ+ASTX 组相比,STZ 组表现出严重的牙周破坏。ASTX 口服灌胃可抑制破骨细胞形成和核因子(NF)-κB 配体受体激活剂、8-OHdG、γ-H2AX、环氧化酶 2 和白细胞介素-1β在 STZ 注射小鼠牙周组织中的表达。补充 ASTX 不仅增加了牙周组织中核因子红细胞 2 相关因子 2(Nrf2)和成骨转录因子的水平,还恢复了 STZ 注射小鼠血液中的循环淋巴细胞和内源性抗氧化酶活性。此外,ASTX 的添加通过上调 Nrf2 通路阻断了晚期糖基化终产物诱导的人源性牙周韧带细胞氧化应激和生长抑制。总之,我们的结果表明,ASTX 不能直接改善高血糖症,但可改善 1 型糖尿病中高血糖引发的牙周破坏和氧化系统并发症。

https://cdn.ncbi.nlm.nih.gov/pmc/blobs/b082/8537008/30d1f75c4315/nutrients-13-03575-g001.jpg

文献检索

告别复杂PubMed语法,用中文像聊天一样搜索,搜遍4000万医学文献。AI智能推荐,让科研检索更轻松。

立即免费搜索

文件翻译

保留排版,准确专业,支持PDF/Word/PPT等文件格式,支持 12+语言互译。

免费翻译文档

深度研究

AI帮你快速写综述,25分钟生成高质量综述,智能提取关键信息,辅助科研写作。

立即免费体验