• 文献检索
  • 文档翻译
  • 深度研究
  • 学术资讯
  • Suppr Zotero 插件Zotero 插件
  • 邀请有礼
  • 套餐&价格
  • 历史记录
应用&插件
Suppr Zotero 插件Zotero 插件浏览器插件Mac 客户端Windows 客户端微信小程序
定价
高级版会员购买积分包购买API积分包
服务
文献检索文档翻译深度研究API 文档MCP 服务
关于我们
关于 Suppr公司介绍联系我们用户协议隐私条款
关注我们

Suppr 超能文献

核心技术专利:CN118964589B侵权必究
粤ICP备2023148730 号-1Suppr @ 2026

文献检索

告别复杂PubMed语法,用中文像聊天一样搜索,搜遍4000万医学文献。AI智能推荐,让科研检索更轻松。

立即免费搜索

文件翻译

保留排版,准确专业,支持PDF/Word/PPT等文件格式,支持 12+语言互译。

免费翻译文档

深度研究

AI帮你快速写综述,25分钟生成高质量综述,智能提取关键信息,辅助科研写作。

立即免费体验

BRAF和MEK抑制剂治疗黑色素瘤患者的结节病样反应的诊断与管理。病例系列及文献综述。

The diagnosis and management of sarcoid-like reactions in patients with melanoma treated with BRAF and MEK inhibitors. A case series and review of the literature.

作者信息

Anastasopoulou Amalia, Diamantopoulos Panagiotis T, Skalioti Chrysanthi, Liapis George, Psychogiou Eleni, Ziogas Dimitrios C, Gogas Helen

机构信息

First Department of Internal Medicine, Laikon General Hospital, National and Kapodistrian University of Athens, Greece.

First Department of Internal Medicine, Laikon General Hospital, National and Kapodistrian University of Athens, 17 Agiou Thoma street, Athens, 11527, Greece.

出版信息

Ther Adv Med Oncol. 2021 Oct 20;13:17588359211047349. doi: 10.1177/17588359211047349. eCollection 2021.

DOI:10.1177/17588359211047349
PMID:34691245
原文链接:https://pmc.ncbi.nlm.nih.gov/articles/PMC8532252/
Abstract

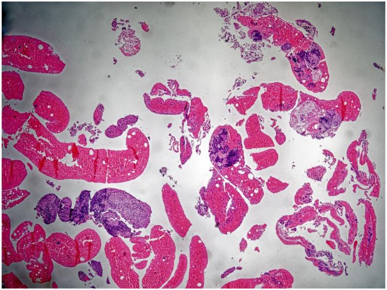
Sarcoidosis and sarcoid-like reactions (SLR) have been repeatedly reported in patients with melanoma treated with BRAF and MEK inhibitors. In the current study we present three patients that developed SLR under treatment with BRAF and mitogen-activated protein kinase (MEK) inhibitors for melanoma. Two patients developed mediastinal lymphadenitis with histological features of an SLR while on targeted therapy in the adjuvant setting, whereas one patient with metastatic melanoma developed granulomatous nephritis while receiving combination treatment with BRAF/MEK inhibitors and atezolizumab. In addition, we review the published literature on the pathogenesis, clinical characteristics, histologic features, imaging findings, and other potential useful diagnostic tools. We also address the need for a common terminology for these cases and propose an algorithm for the accurate diagnosis of BRAF/MEK inhibitor-induced SLR. We also review the currently available data on the treatment of these patients and suggest a treatment approach for SLR in patients with melanoma, as well as for the management of melanoma when SLR emerges.

摘要

结节病和结节病样反应(SLR)在接受BRAF和MEK抑制剂治疗的黑色素瘤患者中屡有报道。在本研究中,我们介绍了3例在接受BRAF和丝裂原活化蛋白激酶(MEK)抑制剂治疗黑色素瘤期间发生SLR的患者。2例患者在辅助治疗中接受靶向治疗时出现具有SLR组织学特征的纵隔淋巴结炎,而1例转移性黑色素瘤患者在接受BRAF/MEK抑制剂与阿特珠单抗联合治疗时出现肉芽肿性肾炎。此外,我们回顾了已发表的关于发病机制、临床特征、组织学特征、影像学表现及其他潜在有用诊断工具的文献。我们还讨论了针对这些病例采用通用术语的必要性,并提出了一种准确诊断BRAF/MEK抑制剂诱导的SLR的算法。我们还回顾了目前关于这些患者治疗的可用数据,并提出了黑色素瘤患者SLR的治疗方法,以及SLR出现时黑色素瘤的管理方法。

https://cdn.ncbi.nlm.nih.gov/pmc/blobs/0b49/8532252/8a3ecbf1396f/10.1177_17588359211047349-fig2.jpg
https://cdn.ncbi.nlm.nih.gov/pmc/blobs/0b49/8532252/26183811e89e/10.1177_17588359211047349-fig1.jpg
https://cdn.ncbi.nlm.nih.gov/pmc/blobs/0b49/8532252/8a3ecbf1396f/10.1177_17588359211047349-fig2.jpg
https://cdn.ncbi.nlm.nih.gov/pmc/blobs/0b49/8532252/26183811e89e/10.1177_17588359211047349-fig1.jpg
https://cdn.ncbi.nlm.nih.gov/pmc/blobs/0b49/8532252/8a3ecbf1396f/10.1177_17588359211047349-fig2.jpg

相似文献

1
The diagnosis and management of sarcoid-like reactions in patients with melanoma treated with BRAF and MEK inhibitors. A case series and review of the literature.BRAF和MEK抑制剂治疗黑色素瘤患者的结节病样反应的诊断与管理。病例系列及文献综述。
Ther Adv Med Oncol. 2021 Oct 20;13:17588359211047349. doi: 10.1177/17588359211047349. eCollection 2021.
2
Sarcoidosis related to checkpoint and BRAF/MEK inhibitors in melanoma.黑色素瘤相关的检查点和 BRAF/MEK 抑制剂相关的结节病。
Autoimmun Rev. 2020 Aug;19(8):102587. doi: 10.1016/j.autrev.2020.102587. Epub 2020 Jun 14.
3
Induced sarcoid-like reactions in patients with metastatic melanoma treated with dabrafenib and trametinib: a monocentric retrospective study.达拉非尼联合曲美替尼治疗转移性黑色素瘤患者引发的类肉瘤样反应:一项单中心回顾性研究。
Melanoma Res. 2020 Jun;30(3):317-320. doi: 10.1097/CMR.0000000000000649.
4
Case Report: Dynamic overlap of melanoma, sarcoidosis, and targeted therapy for -mutant melanoma.病例报告:黑色素瘤、结节病及针对BRAF V600E突变型黑色素瘤的靶向治疗的动态重叠
Front Oncol. 2023 Aug 29;13:1217179. doi: 10.3389/fonc.2023.1217179. eCollection 2023.
5
Mediastinal and hilar sarcoid-like reaction in a patient treated with dabrafenib and trametinib for metastatic melanoma: A case report and review of the literature.一名接受达拉非尼和曲美替尼治疗转移性黑色素瘤患者出现纵隔和肺门结节病样反应:病例报告及文献复习
Mol Clin Oncol. 2022 May;16(5):99. doi: 10.3892/mco.2022.2532. Epub 2022 Mar 18.
6
Melanoma and Sarcoidosis in Patients Receiving or Not Antineoplastic Therapy.接受或未接受抗肿瘤治疗患者中的黑色素瘤和结节病
Case Rep Oncol. 2021 Jul 1;14(2):1059-1065. doi: 10.1159/000516035. eCollection 2021 May-Aug.
7
Immunotherapy-Induced Sarcoid-Like Reaction: A Shrewd Imitator.免疫治疗相关性类肉瘤样反应:一个狡猾的模仿者。
J Investig Med High Impact Case Rep. 2021 Jan-Dec;9:23247096211009400. doi: 10.1177/23247096211009400.
8
[Ocular toxicity of targeted therapies with MEK inhibitors and BRAF inhibitors in the treatment of metastatic cutaneous melanoma].[MEK抑制剂和BRAF抑制剂靶向治疗转移性皮肤黑色素瘤的眼部毒性]
J Fr Ophtalmol. 2022 Jun;45(6):612-618. doi: 10.1016/j.jfo.2021.08.005. Epub 2022 Apr 29.
9
Truth or dare: switching BRAF/MEK inhibitors after acute interstitial nephritis in a patient with metastatic melanoma - A case report and review of the literature.真心话大冒险:在转移性黑色素瘤患者发生急性间质性肾炎后切换 BRAF/MEK 抑制剂——病例报告及文献复习。
Acta Clin Belg. 2023 Jun;78(3):215-222. doi: 10.1080/17843286.2022.2114684. Epub 2022 Aug 23.
10
Case Report: Immune-Related Toxicity During Adjuvant Treatment With BRAF Plus MEK Inhibitors in a Melanoma Patient.病例报告:黑色素瘤患者在接受 BRAF 加 MEK 抑制剂辅助治疗期间发生免疫相关毒性。
Front Immunol. 2020 Nov 17;11:579523. doi: 10.3389/fimmu.2020.579523. eCollection 2020.

引用本文的文献

1
Drug-Induced Sarcoid-like Reactions Associated to Targeted Therapies and Biologic Agents.与靶向治疗和生物制剂相关的药物诱导的结节病样反应。
Diagnostics (Basel). 2025 Jun 29;15(13):1658. doi: 10.3390/diagnostics15131658.
2
Sarcoidosis-Like Reaction in Melanoma Patients Receiving Immunotherapy or Targeted Therapy.接受免疫疗法或靶向疗法的黑色素瘤患者中的结节病样反应。
Case Rep Oncol Med. 2024 Dec 16;2024:8947861. doi: 10.1155/crom/8947861. eCollection 2024.
3
Beyond the Granuloma: New Insights into Cardiac Sarcoidosis Using Spatial Proteomics.

本文引用的文献

1
Impact of Intercurrent Introduction of Steroids on Clinical Outcomes in Advanced Non-Small-Cell Lung Cancer (NSCLC) Patients under Immune-Checkpoint Inhibitors (ICI).在接受免疫检查点抑制剂(ICI)治疗的晚期非小细胞肺癌(NSCLC)患者中,并发使用类固醇对临床结局的影响。
Cancers (Basel). 2020 Sep 30;12(10):2827. doi: 10.3390/cancers12102827.
2
Rationale for Immune Checkpoint Inhibitors Plus Targeted Therapy in Metastatic Melanoma: A Review.免疫检查点抑制剂联合靶向治疗转移性黑色素瘤的理由:综述。
JAMA Oncol. 2020 Dec 1;6(12):1957-1966. doi: 10.1001/jamaoncol.2020.4401.
3
Sarcoidosis related to checkpoint and BRAF/MEK inhibitors in melanoma.
超越肉芽肿:利用空间蛋白质组学对心脏结节病的新见解
Res Sq. 2024 May 7:rs.3.rs-4289663. doi: 10.21203/rs.3.rs-4289663/v1.
4
Biopsy-proven acute tubulointerstitial nephritis in patients treated with immune checkpoint inhibitors: a pooled analysis of case reports.经活检证实的接受免疫检查点抑制剂治疗患者的急性肾小管间质性肾炎:病例报告的汇总分析
Front Oncol. 2023 Oct 23;13:1221135. doi: 10.3389/fonc.2023.1221135. eCollection 2023.
5
Case Report: Dynamic overlap of melanoma, sarcoidosis, and targeted therapy for -mutant melanoma.病例报告:黑色素瘤、结节病及针对BRAF V600E突变型黑色素瘤的靶向治疗的动态重叠
Front Oncol. 2023 Aug 29;13:1217179. doi: 10.3389/fonc.2023.1217179. eCollection 2023.
6
Sarcoid-Like Reactive Lymphadenopathy in Metastatic Synovial Sarcoma.转移性滑膜肉瘤中的结节病样反应性淋巴结病
Cureus. 2023 Mar 1;15(3):e35648. doi: 10.7759/cureus.35648. eCollection 2023 Mar.
7
Cutaneous sarcoid-like reaction in a patient treated with target therapy for metastatic melanoma: the hue is the clue.接受转移性黑色素瘤靶向治疗患者的皮肤结节病样反应:色泽是关键线索。
Dermatol Ther. 2022 Sep;35(9):e15731. doi: 10.1111/dth.15731. Epub 2022 Aug 2.
黑色素瘤相关的检查点和 BRAF/MEK 抑制剂相关的结节病。
Autoimmun Rev. 2020 Aug;19(8):102587. doi: 10.1016/j.autrev.2020.102587. Epub 2020 Jun 14.
4
Atezolizumab, vemurafenib, and cobimetinib as first-line treatment for unresectable advanced BRAF mutation-positive melanoma (IMspire150): primary analysis of the randomised, double-blind, placebo-controlled, phase 3 trial.阿替利珠单抗、维莫非尼和考比替尼作为不可切除的晚期 BRAF 突变阳性黑色素瘤的一线治疗药物(IMspire150):随机、双盲、安慰剂对照、III 期临床试验的主要分析。
Lancet. 2020 Jun 13;395(10240):1835-1844. doi: 10.1016/S0140-6736(20)30934-X.
5
Drug-induced sarcoidosis-like reaction in adjuvant immunotherapy: Increased rate and mimicker of metastasis.佐剂免疫治疗中的药物诱导的类肉瘤样反应:转移的发生率增加和类似物。
Eur J Cancer. 2020 May;131:18-26. doi: 10.1016/j.ejca.2020.02.024. Epub 2020 Apr 2.
6
Glucocorticoid use and complications following immune checkpoint inhibitor use in melanoma.黑色素瘤患者使用免疫检查点抑制剂后糖皮质激素的使用及并发症
Clin Med (Lond). 2020 Mar;20(2):163-168. doi: 10.7861/clinmed.2018-0440.
7
Sarcoid-like Granulomatous Intraocular Inflammation Caused by Vemurafenib Treatment for Metastatic Melanoma.由维莫非尼治疗转移性黑色素瘤引起的肉瘤样肉芽肿性眼内炎症。
Turk J Ophthalmol. 2020 Mar 5;50(1):50-52. doi: 10.4274/tjo.galenos.2019.79026.
8
Induced sarcoid-like reactions in patients with metastatic melanoma treated with dabrafenib and trametinib: a monocentric retrospective study.达拉非尼联合曲美替尼治疗转移性黑色素瘤患者引发的类肉瘤样反应:一项单中心回顾性研究。
Melanoma Res. 2020 Jun;30(3):317-320. doi: 10.1097/CMR.0000000000000649.
9
Atypical systemic sarcoid-like granulomatosis in two patients treated with BRAF and MEK inhibitors.两名接受BRAF和MEK抑制剂治疗的患者出现非典型系统性结节病样肉芽肿病。
Eur J Dermatol. 2019 Oct 1;29(5):556-557. doi: 10.1684/ejd.2019.3640.
10
Drug-induced sarcoidosis: an overview of the WHO pharmacovigilance database.药物性肉状瘤病:世卫组织药物警戒数据库概述。
J Intern Med. 2020 Sep;288(3):356-362. doi: 10.1111/joim.12991. Epub 2019 Nov 6.