• 文献检索
  • 文档翻译
  • 深度研究
  • 学术资讯
  • Suppr Zotero 插件Zotero 插件
  • 邀请有礼
  • 套餐&价格
  • 历史记录
应用&插件
Suppr Zotero 插件Zotero 插件浏览器插件Mac 客户端Windows 客户端微信小程序
定价
高级版会员购买积分包购买API积分包
服务
文献检索文档翻译深度研究API 文档MCP 服务
关于我们
关于 Suppr公司介绍联系我们用户协议隐私条款
关注我们

Suppr 超能文献

核心技术专利:CN118964589B侵权必究
粤ICP备2023148730 号-1Suppr @ 2026

文献检索

告别复杂PubMed语法,用中文像聊天一样搜索,搜遍4000万医学文献。AI智能推荐,让科研检索更轻松。

立即免费搜索

文件翻译

保留排版,准确专业,支持PDF/Word/PPT等文件格式,支持 12+语言互译。

免费翻译文档

深度研究

AI帮你快速写综述,25分钟生成高质量综述,智能提取关键信息,辅助科研写作。

立即免费体验

神经梅毒:神经病学中一只真正的“变色龙”

Neurosyphilis, A True Chameleon of Neurology.

作者信息

Pujari Shripad S, Kulkarni Rahul V, Duberkar Dhananjay, Nirhale Satish, Nadgir Dattatraya, Dhonde Pramod, Sakale Tejas, Shembalkar Prafulla, Meshram Chandrashekhar

机构信息

Neurology Department, Deenanath Mangeshkar Hospital and Research Centre, Pune, Maharashtra, India.

Neurology Department, Noble Hospital, Pune, Maharashtra, India.

出版信息

Ann Indian Acad Neurol. 2021 Jul-Aug;24(4):566-572. doi: 10.4103/aian.AIAN_28_21. Epub 2021 Jun 17.

DOI:10.4103/aian.AIAN_28_21
PMID:34728952
原文链接:https://pmc.ncbi.nlm.nih.gov/articles/PMC8513946/
Abstract

BACKGROUND

Neurosyphilis (NS) is a rarely encountered scenario today. Manifestations are heterogeneous, and their characteristics have changed in the antibiotic era. A differential diagnosis of NS is not commonly thought of even with relevant clinical-radiological features, as it mimics many common neurological syndromes.

OBJECTIVES

To study the manifestations of NS in the present era and the process of diagnosis.

METHOD

The data of ten patients with NS was collected and analyzed. Their background data, clinical features, investigations, the process of reaching the diagnosis, management and outcomes were recorded.

OBSERVATIONS AND RESULTS

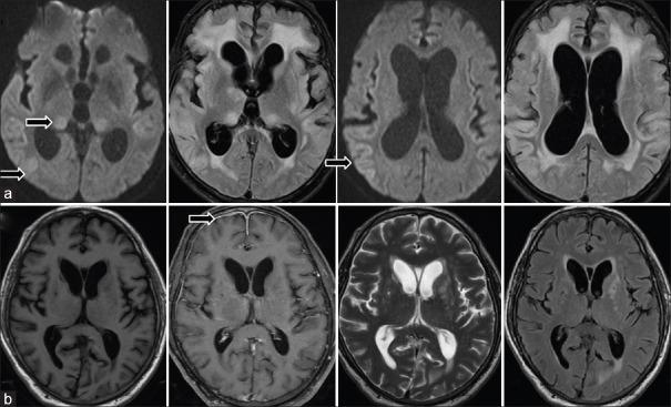
The manifestations of NS in our cohort included six patients with cognitive decline/encephalopathy and one each with meningitis with cranial nerve palsies, cerebellar ataxia, myelitis and asymptomatic NS. The presence of Argyll Robertson pupil helped to clinch diagnosis in one patient. Treponemal tests were ordered in two patients only after alternative etiologies were looked at, to begin with, whereas in six patients treponemal test was requested as a part of standard workup for dementia/ataxia.

CONCLUSIONS

NS dementia and behavior changes are mistaken for degenerative, vascular, nutritional causes, autoimmune encephalitis or prion disease. Meningitis has similarities with infective (tubercular), granulomatous (sarcoidosis, Wegener's), collagen vascular disease and neoplastic meningitis, and myelitis simulates demyelination or nutritional myelopathy (B deficiency). Rarely, NS can also present with cerebellar ataxia. Contemplate NS as one of the rare causes for such syndromes, and its early treatment produces good outcomes.

摘要

背景

神经梅毒(NS)如今已较为罕见。其表现具有异质性,在抗生素时代其特征也已发生变化。即使具有相关临床 - 放射学特征,NS的鉴别诊断也不常被考虑,因为它可模仿许多常见的神经综合征。

目的

研究当代NS的表现及诊断过程。

方法

收集并分析10例NS患者的数据。记录他们的背景资料、临床特征、检查、诊断过程、治疗及结局。

观察与结果

我们队列中NS的表现包括6例认知功能下降/脑病患者,1例伴有颅神经麻痹的脑膜炎患者,1例小脑共济失调患者,1例脊髓炎患者及1例无症状NS患者。阿 - 罗瞳孔的存在有助于1例患者确诊。仅在首先排查了其他病因后,2例患者才进行了梅毒螺旋体检测,而6例患者将梅毒螺旋体检测作为痴呆/共济失调标准检查的一部分进行了检测。

结论

NS所致痴呆和行为改变常被误诊为退行性、血管性、营养性病因、自身免疫性脑炎或朊病毒病。脑膜炎与感染性(结核性)、肉芽肿性(结节病、韦格纳肉芽肿)、胶原血管病及肿瘤性脑膜炎有相似之处,脊髓炎可模拟脱髓鞘或营养性脊髓病(维生素B缺乏)。NS也可罕见地表现为小脑共济失调。应将NS视为这些综合征的罕见病因之一,早期治疗可产生良好预后。

https://cdn.ncbi.nlm.nih.gov/pmc/blobs/91a6/8513946/50653d89ed36/AIAN-24-566-g003.jpg
https://cdn.ncbi.nlm.nih.gov/pmc/blobs/91a6/8513946/70a83d6f84b5/AIAN-24-566-g001.jpg
https://cdn.ncbi.nlm.nih.gov/pmc/blobs/91a6/8513946/ed6f9f01a5b4/AIAN-24-566-g002.jpg
https://cdn.ncbi.nlm.nih.gov/pmc/blobs/91a6/8513946/50653d89ed36/AIAN-24-566-g003.jpg
https://cdn.ncbi.nlm.nih.gov/pmc/blobs/91a6/8513946/70a83d6f84b5/AIAN-24-566-g001.jpg
https://cdn.ncbi.nlm.nih.gov/pmc/blobs/91a6/8513946/ed6f9f01a5b4/AIAN-24-566-g002.jpg
https://cdn.ncbi.nlm.nih.gov/pmc/blobs/91a6/8513946/50653d89ed36/AIAN-24-566-g003.jpg

相似文献

1
Neurosyphilis, A True Chameleon of Neurology.神经梅毒:神经病学中一只真正的“变色龙”
Ann Indian Acad Neurol. 2021 Jul-Aug;24(4):566-572. doi: 10.4103/aian.AIAN_28_21. Epub 2021 Jun 17.
2
Clinical spectrum of neurosyphilis in North East India.印度东北部神经梅毒的临床表现。
Neurol India. 2011 May-Jun;59(3):344-50. doi: 10.4103/0028-3886.82719.
3
Early symptomatic neurosyphilis and ocular syphilis: A comparative study between HIV-positive and HIV-negative patients.早期症状性神经梅毒和眼部梅毒:HIV 阳性与 HIV 阴性患者的比较研究。
Infect Dis Now. 2021 Jun;51(4):351-356. doi: 10.1016/j.medmal.2020.10.016. Epub 2020 Oct 22.
4
Neurosyphilis - A Forgotten Disease: Case Reports with Ten Years Follow-Up and Review of Literature.神经梅毒——一种被遗忘的疾病:十年随访病例报告及文献综述
Neurol India. 2020 Jul-Aug;68(4):889-893. doi: 10.4103/0028-3886.293488.
5
[Clinical characteristics and therapy of neurosyphilis in patients who are negative for human immunodeficiency virus].人类免疫缺陷病毒阴性患者神经梅毒的临床特征与治疗
Srp Arh Celok Lek. 1999 Jul-Aug;127(7-8):236-40.
6
[Neurosyphilis with cerebellar ataxia, personality change and cognitive decline one year after onset of cerebral infarction].[脑梗死发病一年后出现小脑共济失调、人格改变和认知衰退的神经梅毒]
Rinsho Shinkeigaku. 2018 Aug 31;58(8):499-504. doi: 10.5692/clinicalneurol.cn-001170. Epub 2018 Jul 31.
7
Predictors of unfavorable outcome in neurosyphilis: Multicenter ID-IRI Study.神经梅毒不良结局的预测因素:多中心 ID-IRI 研究。
Eur J Clin Microbiol Infect Dis. 2019 Jan;38(1):125-134. doi: 10.1007/s10096-018-3403-7. Epub 2018 Oct 27.
8
Infection, Immunodeficiency, and Inflammatory Diseases in Autoimmune Neurology.自身免疫性神经病中的感染、免疫缺陷和炎症性疾病
Semin Neurol. 2018 Jun;38(3):379-391. doi: 10.1055/s-0038-1660820. Epub 2018 Jul 16.
9
Clinical spectrum of neurosyphilis among HIV-negative patients in the modern era.神经梅毒在现代 HIV 阴性患者中的临床谱系。
Dermatology. 2013;226(2):148-56. doi: 10.1159/000347109. Epub 2013 Apr 19.
10
Neurosyphilis in the modern era: Literature review and case series.神经梅毒的现代认识:文献复习与病例系列。
J Clin Neurosci. 2019 Nov;69:67-73. doi: 10.1016/j.jocn.2019.08.033. Epub 2019 Aug 16.

引用本文的文献

1
Case report-Depression with psychotic features as an atypical presentation of neurosyphilis.病例报告——伴有精神病性症状的抑郁症作为神经梅毒的非典型表现
Clin Case Rep. 2024 Apr 30;12(5):e8836. doi: 10.1002/ccr3.8836. eCollection 2024 May.
2
MRI of neurosyphilis with mesiotemporal lobe lesions of "knife-cut sign" on MRI: A case report and literature review.梅毒脑病的MRI表现为颞叶内侧病变呈“刀切征”:一例报告并文献复习
Heliyon. 2023 Mar 25;9(4):e14787. doi: 10.1016/j.heliyon.2023.e14787. eCollection 2023 Apr.

本文引用的文献

1
Neurosyphilis presenting as pure cerebellar ataxia: an atypical manifestation.以单纯小脑性共济失调为表现的神经梅毒:一种非典型表现。
BMJ Case Rep. 2019 Aug 31;12(8):e231058. doi: 10.1136/bcr-2019-231058.
2
Neurosyphilis in the modern era: Literature review and case series.神经梅毒的现代认识:文献复习与病例系列。
J Clin Neurosci. 2019 Nov;69:67-73. doi: 10.1016/j.jocn.2019.08.033. Epub 2019 Aug 16.
3
Neurosyphilis as a great imitator: a case report.神经梅毒——一种极易误诊的疾病:病例报告
BMC Res Notes. 2016 Jul 28;9:372. doi: 10.1186/s13104-016-2176-2.
4
Rising trends of syphilis in a tertiary care center in North India.印度北部一家三级医疗中心梅毒发病率呈上升趋势。
Indian J Sex Transm Dis AIDS. 2015 Jul-Dec;36(2):140-3. doi: 10.4103/0253-7184.167137.
5
Neurosyphilis.神经梅毒
Continuum (Minneap Minn). 2015 Dec;21(6 Neuroinfectious Disease):1714-28. doi: 10.1212/CON.0000000000000250.
6
Erb's paraplegia with primary optic atrophy: Unusual presentation of neurosyphilis: Case report and review of literature.伴有原发性视神经萎缩的埃尔布截瘫:神经梅毒的罕见表现:病例报告及文献复习
Ann Indian Acad Neurol. 2014 Apr;17(2):231-3. doi: 10.4103/0972-2327.132648.
7
Neurosyphilis.神经梅毒
Handb Clin Neurol. 2014;121:1461-72. doi: 10.1016/B978-0-7020-4088-7.00098-5.
8
VDRL test and its interpretation.性病研究实验室试验及其解读。
Indian J Dermatol. 2012 Jan;57(1):3-8. doi: 10.4103/0019-5154.92666.
9
General paralysis of the insane.精神错乱性全身麻痹
Pract Neurol. 2011 Dec;11(6):366-9. doi: 10.1136/practneurol-2011-000112.
10
Clinical spectrum of neurosyphilis in North East India.印度东北部神经梅毒的临床表现。
Neurol India. 2011 May-Jun;59(3):344-50. doi: 10.4103/0028-3886.82719.