Suppr超能文献

1例因鼻窦炎导致颅骨骨髓炎和硬膜外脓肿并发额叶自发性硬膜外血肿的病例报告

A case report of frontal spontaneous epidural hematoma associated with cranial osteomyelitis and epidural abscess due to paranasal sinusitis.

作者信息

Xiao Zongyu

机构信息

Department of Neurosurgery, Affiliated Hospital of Qinghai University, Xining, Qinghai Province, China.

出版信息

Surg Neurol Int. 2021 Sep 30;12:478. doi: 10.25259/SNI_761_2021. eCollection 2021.

Abstract

BACKGROUND

Intracranial epidural hematoma (EDH) is frequently secondary to trauma, but in some rare cases, spontaneous EDH (SEDH) could develop without trauma. Cranial osteomyelitis is an uncommon osseous infection that most frequently presents as a postoperative complication but also rarely originates from paranasal sinusitis and can develop extracranially to form a subperiosteal abscess or intracranially to form an epidural, subdural, or cerebral abscess. Intracranial epidural abscess (EDA) is an uncommon infection that forms in the space between the cranial bone and dura mater. It is rare to have a case of SEDH associated with cranial osteomyelitis and EDA due to paranasal sinusitis.

CASE DESCRIPTION

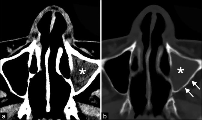
An 18-year-old male was admitted to the hospital with headache, nausea, and vomiting for 2 days. The patient denied a history of head trauma, operation, and any other infectious and systemic diseases, and he was not taking any medication. CT scan demonstrated a mixed density lenticular mass with some air collection in the frontal region. The axial sinus CT image demonstrated opacification of the left frontal, ethmoid, and maxillary sinuses. An emergency operation confirmed the diagnosis of frontal SEDH associated with EDA and frontal osteomyelitis. The frontal EDH, abscess, and the infected bone were completely removed during the operation without opening the dura. The patient recovered well after receiving 8 weeks of antibiotic therapy, and a cranioplasty was performed 9 months after the craniectomy.

CONCLUSION

To the best of our knowledge, SEDH associated with EDA is very rare. It is important to recognize the possibility of SEDH associated with cranial osteomyelitis and EDA due to paranasal sinusitis, and the presence of an EDA should, therefore, be considered in the differential diagnosis of cases of SEDH.

摘要

背景

颅内硬膜外血肿(EDH)常继发于外伤,但在某些罕见情况下,可无外伤而发生自发性EDH(SEDH)。颅骨骨髓炎是一种不常见的骨感染,最常表现为术后并发症,但也很少起源于鼻窦炎,可在颅外发展形成骨膜下脓肿,或在颅内发展形成硬膜外、硬膜下或脑脓肿。颅内硬膜外脓肿(EDA)是一种在颅骨与硬脑膜之间形成的不常见感染。因鼻窦炎导致的SEDH合并颅骨骨髓炎和EDA的病例罕见。

病例描述

一名18岁男性因头痛、恶心和呕吐2天入院。患者否认有头部外伤、手术史以及任何其他感染性和全身性疾病史,且未服用任何药物。CT扫描显示额叶有一混合密度的透镜状肿块,内有气体积聚。轴位鼻窦CT图像显示左侧额窦、筛窦和上颌窦混浊。急诊手术证实诊断为额叶SEDH合并EDA及额叶骨髓炎。手术中在未打开硬脑膜的情况下将额叶EDH、脓肿及感染骨完全清除。患者接受8周抗生素治疗后恢复良好,颅骨切除术后9个月进行了颅骨成形术。

结论

据我们所知,SEDH合并EDA非常罕见。认识到因鼻窦炎导致的SEDH合并颅骨骨髓炎和EDA的可能性很重要,因此,在SEDH病例的鉴别诊断中应考虑EDA的存在。

https://cdn.ncbi.nlm.nih.gov/pmc/blobs/909b/8571293/6e860711c51b/SNI-12-478-g001.jpg

文献AI研究员

20分钟写一篇综述,助力文献阅读效率提升50倍。

立即体验

用中文搜PubMed

大模型驱动的PubMed中文搜索引擎

马上搜索

文档翻译

学术文献翻译模型,支持多种主流文档格式。

立即体验