Suppr超能文献

自发性颅内硬膜外血肿与颅面感染之间的关联:一项系统文献综述

Association between spontaneous intracranial epidural hematoma and craniofacial infections: A systematic literature review.

作者信息

Scafa Anthony Kevin, Jiang Tingting, Pescatori Lorenzo, Corsini Massimo, Piccirilli Manolo

机构信息

Department of Neurosurgery, Sapienza University of Rome, Rome, Italy.

Department of Neurosurgery, "Sant'Eugenio" Hospital, Rome, Italy.

出版信息

Surg Neurol Int. 2023 Feb 17;14:57. doi: 10.25259/SNI_1068_2022. eCollection 2023.

Abstract

BACKGROUND

Spontaneous and nontraumatic epidural hematoma (SEDH) is a rare entity. Etiology is various, including vascular malformations of the dura mater, hemorrhagic tumors, and coagulation defects. The association between SEDH and craniofacial infections is rather unusual.

METHODS

We performed a systematic review of the available literature using the PubMed, Cochrane Library, and Scopus research databases. Literature research was performed according to the Preferred Reporting Items for Systematic Reviews and Meta-Analyses (PRISMA) statement. We exclusively included studies reporting demographic and clinical data, published until October 31, 2022. We also report one case from our experience.

RESULTS

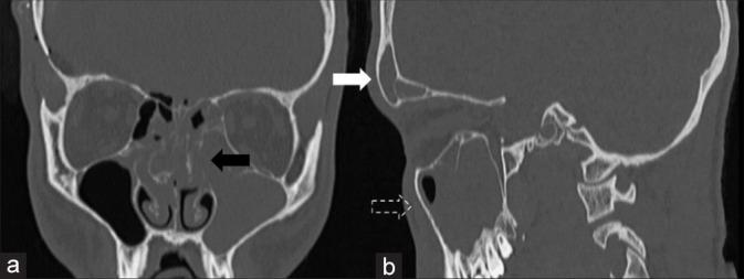
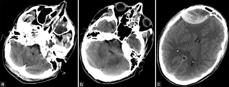
A total of 18 scientific publications, corresponding to 19 patients, met the inclusion criteria for the qualitative and quantitative analysis. Patients were mostly adolescents, with a clear male predominance. SEDHs frequently occurred in the frontal area, usually near the site of the infection. Surgical evacuation was the treatment of choice with good postoperative outcomes. Endoscopy of the involved paranasal sinus should be achieved as soon as possible to remove the cause of the SEDH.

CONCLUSION

SEDH may occur as a rare and life-threatening complication of craniofacial infections; therefore, prompt recognition and treatment are mandatory.

摘要

背景

自发性非创伤性硬膜外血肿(SEDH)是一种罕见的病症。病因多种多样,包括硬脑膜血管畸形、出血性肿瘤和凝血缺陷。SEDH与颅面感染之间的关联相当罕见。

方法

我们使用PubMed、Cochrane图书馆和Scopus研究数据库对现有文献进行了系统综述。文献研究按照系统评价和Meta分析的首选报告项目(PRISMA)声明进行。我们仅纳入了截至2022年10月31日发表的报告人口统计学和临床数据的研究。我们还报告了我们经验中的一例病例。

结果

共有18篇科学出版物,对应19例患者,符合定性和定量分析的纳入标准。患者大多为青少年,男性明显占主导。SEDH常发生在额叶区域,通常靠近感染部位。手术清除是首选治疗方法,术后效果良好。应尽快对受累鼻窦进行内镜检查以消除SEDH的病因。

结论

SEDH可能作为颅面感染的一种罕见且危及生命的并发症出现;因此,必须及时识别和治疗。

https://cdn.ncbi.nlm.nih.gov/pmc/blobs/51e1/9990787/e66d57b62e32/SNI-14-57-g001.jpg

文献检索

告别复杂PubMed语法,用中文像聊天一样搜索,搜遍4000万医学文献。AI智能推荐,让科研检索更轻松。

立即免费搜索

文件翻译

保留排版,准确专业,支持PDF/Word/PPT等文件格式,支持 12+语言互译。

免费翻译文档

深度研究

AI帮你快速写综述,25分钟生成高质量综述,智能提取关键信息,辅助科研写作。

立即免费体验