Suppr超能文献

双侧嗜铬细胞瘤患者基因研究及长期管理的重要性。

The importance of genetic study and long-term management in patients with bilateral pheochromocytomas.

作者信息

Bellarbi Dhiya Eddine, Chentli Farida

机构信息

Department of Endocrine and Metabolic Diseases, Bab El Oued Teaching Hospital, Algiers, Algeria.

Faculty of Medicine, University of Algiers 1, Algiers, Algeria.

出版信息

Arch Clin Cases. 2021 Oct 27;6(4):85-90. doi: 10.22551/2019.25.0604.10159. eCollection 2019.

Abstract

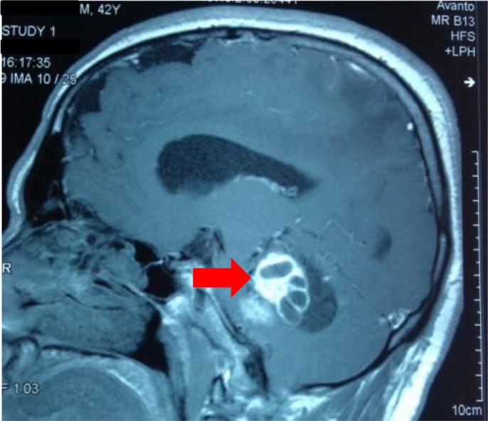
Tumors secreting catecholamines, such as pheochromocytomas and paragangliomas, are rare and life-threatening, due to their complications. They can be sporadic or occur in genetic syndromes, such as von Hippel-Lindau in which pheochromocytomas are observed in 10 to 20%. We report a case of a 42 years old male, who was sent in 2016 to our department for neurological symptoms related to cerebellar and central vestibular syndromes. His medical history revealed that at 8 years old he was operated for a symptomatic bilateral pheochromocytoma discovered by adrenergic symptoms and high blood pressure. Cerebral MRI showed intra- and extra-axial, supra- and infratentorial lesions causing supratentorial hydrocephalus associated with leptomeningeal dissemination deemed to be hemangioblastomas. One year later the patient started complaining of chronic diarrhea. The abdominal CT revealed three pancreatic tumors with radiological signs of pancreatic neuroendocrine tumors (PNETs) and a 12 mm mesenteric nodule presenting as a homogenously and typical for NET. The largest PNET had intensive fixation on octreotide scintigraphy. The association of pheochromocytomas, hemangioblastoma and pancreatic neuroendocrine tumors highlighted the diagnosis of VHL syndrome. The family history proved positive in a sibling with bilateral pheochromocytoma in infancy, retinal hemangioblastomas and cerebral hemangioblastoma. Genetic testing would have been useful, but in our case, it was lacking due to poor socio-economic conditions of the patient and absence of genetic testing in public hospitals.

摘要

分泌儿茶酚胺的肿瘤,如嗜铬细胞瘤和副神经节瘤,较为罕见且因并发症而危及生命。它们可以是散发性的,也可发生于遗传综合征中,如冯·希佩尔-林道综合征,其中10%至20%的患者会出现嗜铬细胞瘤。我们报告一例42岁男性病例,该患者于2016年因与小脑和中枢前庭综合征相关的神经症状被送至我科。他的病史显示,8岁时因由肾上腺素能症状和高血压发现的有症状双侧嗜铬细胞瘤接受了手术。脑部磁共振成像(MRI)显示轴内和轴外、幕上和幕下病变,导致幕上脑积水并伴有被认为是血管母细胞瘤的软脑膜播散。一年后,患者开始抱怨慢性腹泻。腹部CT显示三个具有胰腺神经内分泌肿瘤(PNET)放射学征象的胰腺肿瘤以及一个表现为均匀且典型神经内分泌肿瘤的12毫米肠系膜结节。最大的PNET在奥曲肽闪烁扫描中有强烈摄取。嗜铬细胞瘤、血管母细胞瘤和胰腺神经内分泌肿瘤的关联突出了冯·希佩尔-林道综合征的诊断。家族史显示一名同胞呈阳性,其在婴儿期患有双侧嗜铬细胞瘤、视网膜血管母细胞瘤和脑血管瘤。基因检测本会有用,但在我们这个病例中,由于患者社会经济条件差且公立医院缺乏基因检测而未能进行。

https://cdn.ncbi.nlm.nih.gov/pmc/blobs/de1d/8565709/9a2c76b5fe45/acc-06-04-85-g001.jpg

文献AI研究员

20分钟写一篇综述,助力文献阅读效率提升50倍。

立即体验

用中文搜PubMed

大模型驱动的PubMed中文搜索引擎

马上搜索

文档翻译

学术文献翻译模型,支持多种主流文档格式。

立即体验