Suppr超能文献

一名3岁男孩的巨大纵隔肿块:1型神经纤维瘤病的罕见表现。

Giant mediastinal mass in a 3-year-old boy: A rare presentation of neurofibromatosis type I.

作者信息

Karami Hosseni, Ghasemi Maryam, Taheri Amirmasoud, Rostamkolaie Faria, Abbaskhanian Ali, Naderisorki Mohammad

机构信息

Pediatric Hematology & Oncology,Thalassemia Research Center (TRC), Hemoglobinopathy Institute, Mazandaran University of Medical Sciences, Sari, Iran.

pathology, Immunogenetics research center,Faculty of medicine, Mazandaran university of medical sciences, Sari, Iran.

出版信息

Iran J Child Neurol. 2021 Fall;15(4):109-113. doi: 10.22037/ijcn.v15i4.23846.

Abstract

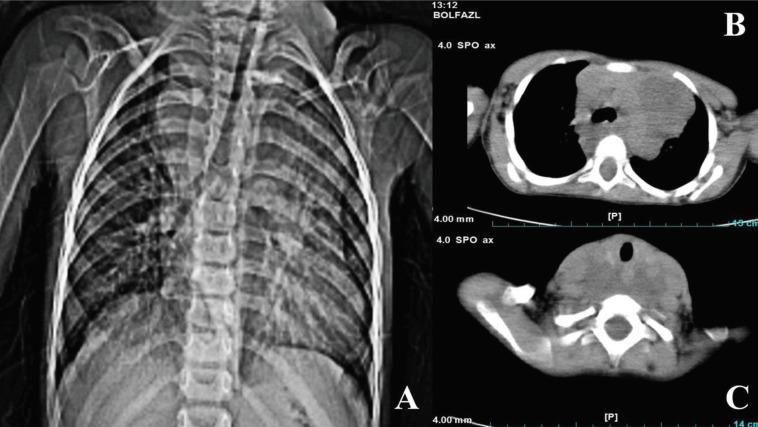
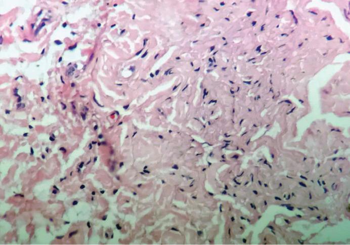
Neurofibromatosis type 1 (NF1) is an autosomal dominant disease diagnosed with the presentation of café-au-lait macules, skinfold freckling, iris Lisch nodules, neurofibromas, osseous lesion, and optic gliomas. Mediastinal mass as the first presentation of NF1 is very rare, with a frequency of about 2.7%. Here, we present a rare case of NF1 in a 3-year-old boy admitted with respiratory distress and superior vena cava syndrome.

摘要

1型神经纤维瘤病(NF1)是一种常染色体显性疾病,通过咖啡斑、皮肤褶皱雀斑、虹膜Lisch结节、神经纤维瘤、骨病变和视神经胶质瘤等表现来诊断。纵隔肿块作为NF1的首发表现非常罕见,发生率约为2.7%。在此,我们报告一例罕见的NF1病例,患者为一名3岁男孩,因呼吸窘迫和上腔静脉综合征入院。

https://cdn.ncbi.nlm.nih.gov/pmc/blobs/9d34/8570624/3f6024275ab7/ijcn-15-109-g001.jpg

相似文献

1
Giant mediastinal mass in a 3-year-old boy: A rare presentation of neurofibromatosis type I.
Iran J Child Neurol. 2021 Fall;15(4):109-113. doi: 10.22037/ijcn.v15i4.23846.
2
Café-au-lait Macules and Neurofibromatosis Type 1: A Review of the Literature.
Pediatr Neurol. 2016 Jul;60:24-29.e1. doi: 10.1016/j.pediatrneurol.2016.03.003. Epub 2016 Mar 19.
5
A Rare Case of Neuroendocrine Tumor in a Patient With Neurofibromatosis Type 1: Is There Any Association?
Cureus. 2022 Sep 26;14(9):e29621. doi: 10.7759/cureus.29621. eCollection 2022 Sep.
6
Giant café-au-lait macule in neurofibromatosis 1: a type 2 segmental manifestation of neurofibromatosis 1?
J Am Acad Dermatol. 2008 Mar;58(3):493-7. doi: 10.1016/j.jaad.2007.03.013.
7
Case Report for Two Siblings Carrying Neurofibromatosis Type 1 with a Rare : c.5392C>T Mutation.
Balkan J Med Genet. 2022 Jun 5;24(2):99-102. doi: 10.2478/bjmg-2021-0021. eCollection 2021 Nov.
8
[A case of growth hormone deficiency combined with neurofibromatosis Type 1 and its gene analysis].
Zhong Nan Da Xue Xue Bao Yi Xue Ban. 2018 Jul 28;43(7):811-815. doi: 10.11817/j.issn.1672-7347.2018.07.018.
9
Ossifying Fibroma of Maxilla in a Female Affected by Neurofibromatosis Type 1.
Indian J Otolaryngol Head Neck Surg. 2019 Nov;71(Suppl 3):2087-2090. doi: 10.1007/s12070-018-1491-4. Epub 2018 Sep 10.
10
[Clinical diagnosis of neurofibromatosis type 1].
Presse Med. 1999 Dec 11;28(39):2174-80.

本文引用的文献

1
Neurofibromatosis type 1.
Nat Rev Dis Primers. 2017 Feb 23;3:17004. doi: 10.1038/nrdp.2017.4.
2
Multimodal Imaging in Neurofibromatosis Type 1-associated Nerve Sheath Tumors.
Rofo. 2015 Dec;187(12):1084-92. doi: 10.1055/s-0035-1553505. Epub 2015 Sep 2.
4
Malignant peripheral nerve sheath tumors in Africa: a clinicopathological study.
ISRN Surg. 2011;2011:526454. doi: 10.5402/2011/526454. Epub 2011 Apr 11.
6
Clinical and genetic aspects of neurofibromatosis 1.
Genet Med. 2010 Jan;12(1):1-11. doi: 10.1097/GIM.0b013e3181bf15e3.
7
Neurofibromatosis type 1.
J Am Acad Dermatol. 2009 Jul;61(1):1-14; quiz 15-6. doi: 10.1016/j.jaad.2008.12.051.
8
Deletions of NF1 gene and exons detected by multiplex ligation-dependent probe amplification.
J Med Genet. 2007 Dec;44(12):800-8. doi: 10.1136/jmg.2007.053785.
9
Screening 500 unselected neurofibromatosis 1 patients for deletions of the NF1 gene.
Hum Mutat. 2004 Feb;23(2):111-116. doi: 10.1002/humu.10299.
10
Use of the national institutes of health criteria for diagnosis of neurofibromatosis 1 in children.
Pediatrics. 2000 Mar;105(3 Pt 1):608-14. doi: 10.1542/peds.105.3.608.

文献AI研究员

20分钟写一篇综述,助力文献阅读效率提升50倍。

立即体验

用中文搜PubMed

大模型驱动的PubMed中文搜索引擎

马上搜索

文档翻译

学术文献翻译模型,支持多种主流文档格式。

立即体验