• 文献检索
  • 文档翻译
  • 深度研究
  • 学术资讯
  • Suppr Zotero 插件Zotero 插件
  • 邀请有礼
  • 套餐&价格
  • 历史记录
应用&插件
Suppr Zotero 插件Zotero 插件浏览器插件Mac 客户端Windows 客户端微信小程序
定价
高级版会员购买积分包购买API积分包
服务
文献检索文档翻译深度研究API 文档MCP 服务
关于我们
关于 Suppr公司介绍联系我们用户协议隐私条款
关注我们

Suppr 超能文献

核心技术专利:CN118964589B侵权必究
粤ICP备2023148730 号-1Suppr @ 2026

文献检索

告别复杂PubMed语法,用中文像聊天一样搜索,搜遍4000万医学文献。AI智能推荐,让科研检索更轻松。

立即免费搜索

文件翻译

保留排版,准确专业,支持PDF/Word/PPT等文件格式,支持 12+语言互译。

免费翻译文档

深度研究

AI帮你快速写综述,25分钟生成高质量综述,智能提取关键信息,辅助科研写作。

立即免费体验

抗中性粒细胞胞浆抗体血管炎:新冠后综合征的一种表现。

ANCA vasculitis: A manifestation of Post-Covid-19 Syndrome.

作者信息

Morris Desiree, Patel Kushal, Rahimi Osman, Sanyurah Omar, Iardino Alfredo, Khan Nazia

机构信息

Kirk Kerkorian School of Medicine at UNLV, USA.

Department of Internal Medicine, Kirk Kerkorian School of Medicine at UNLV, USA.

出版信息

Respir Med Case Rep. 2021;34:101549. doi: 10.1016/j.rmcr.2021.101549. Epub 2021 Nov 11.

DOI:10.1016/j.rmcr.2021.101549
PMID:34786334
原文链接:https://pmc.ncbi.nlm.nih.gov/articles/PMC8580553/
Abstract

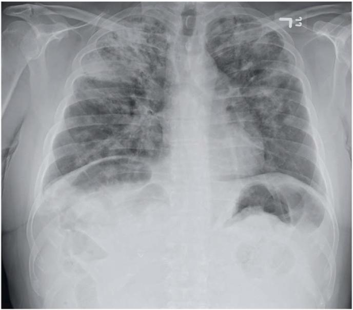
The SARS-CoV-2 infection has been found to present with different degrees of response and variable levels of inflammation. Patients who have recovered from the initial infection can develop long-term symptomatology. We present a unique case of a middle aged-healthy man who developed complications of ANCA-associated vasculitis after recovering from a mild COVID-19 infection. A previously healthy 53-year-old male presented with hemoptysis and acute renal failure. One month prior, the patient tested positive for COVID-19; not requiring hospitalization. Physical exam findings included bilateral lower extremity petechiae. CT Chest showed bilateral diffuse patchy lung consolidations with cavitary lesions with urinalysis revealing erythrocytes, +1 protein. Hemodialysis and workup for pulmonary-renal syndromes were initiated. Infectious workup results included: negative COVID-19, negative MTB-PCR, respiratory culture revealing yeast. Additional workup revealed; elevated CRP, D-Dimer, and Fibrinogen. Notably, the patient had; decreased C3 and C4 levels; negative Anti-GBM antibody; negative Anti-streptolysin-O; and positive ANCA assay, Proteinase antibody, and mildly positive Myeloperoxidase antibody. Worsening coagulopathy and atrophic kidneys delayed renal biopsy for definitive diagnosis. The patient's respiratory status acutely worsened during hemodialysis with imaging showing markedly increased pulmonary infiltrates. Upon urgent intubation, active frank red bleeding was noted, and the patient sustained 2 cardiac arrests with eventual expiration. Much is to be learned from the Novel SARS-CoV-2 virus and suspected complications. This case highlights a unique complication of COVID-19 leading to a possible AAV and the importance of keeping a broad differential when treating patients who have recovered from the initial infection.

摘要

已发现严重急性呼吸综合征冠状病毒2(SARS-CoV-2)感染呈现出不同程度的反应和炎症水平变化。从初始感染中康复的患者可能会出现长期症状。我们报告了一例独特病例,一名中年健康男性在从轻度冠状病毒病2019(COVID-19)感染康复后出现抗中性粒细胞胞浆抗体(ANCA)相关血管炎并发症。一名此前健康的53岁男性出现咯血和急性肾衰竭。一个月前,该患者COVID-19检测呈阳性;无需住院治疗。体格检查发现包括双侧下肢瘀点。胸部CT显示双侧弥漫性斑片状肺实变伴空洞性病变,尿液分析显示有红细胞、1+蛋白。开始进行血液透析及肺肾综合征检查。感染性疾病检查结果包括:COVID-19阴性、结核分枝杆菌聚合酶链反应(MTB-PCR)阴性、呼吸道培养发现酵母菌。进一步检查发现;C反应蛋白(CRP)、D-二聚体和纤维蛋白原升高。值得注意的是,该患者;C3和C4水平降低;抗肾小球基底膜(Anti-GBM)抗体阴性;抗链球菌溶血素O阴性;ANCA检测、蛋白酶抗体阳性,髓过氧化物酶抗体弱阳性。凝血功能障碍加重和肾脏萎缩延迟了肾活检以明确诊断。患者在血液透析期间呼吸状况急剧恶化,影像学显示肺部浸润明显增加。紧急插管时,发现有明显的鲜红色活动性出血,患者发生2次心脏骤停,最终死亡。关于新型SARS-CoV-2病毒及其疑似并发症,还有很多需要了解的。本病例突出了COVID-19一种独特的并发症,可能导致ANCA相关血管炎,以及在治疗从初始感染中康复的患者时保持广泛鉴别诊断的重要性。

https://cdn.ncbi.nlm.nih.gov/pmc/blobs/db4e/8593448/8fc0e15560f4/gr5.jpg
https://cdn.ncbi.nlm.nih.gov/pmc/blobs/db4e/8593448/8e39a00832bb/gr1.jpg
https://cdn.ncbi.nlm.nih.gov/pmc/blobs/db4e/8593448/deaadf8ca003/gr2.jpg
https://cdn.ncbi.nlm.nih.gov/pmc/blobs/db4e/8593448/7ed3bfea2de2/gr3.jpg
https://cdn.ncbi.nlm.nih.gov/pmc/blobs/db4e/8593448/e5badaec1323/gr4.jpg
https://cdn.ncbi.nlm.nih.gov/pmc/blobs/db4e/8593448/8fc0e15560f4/gr5.jpg
https://cdn.ncbi.nlm.nih.gov/pmc/blobs/db4e/8593448/8e39a00832bb/gr1.jpg
https://cdn.ncbi.nlm.nih.gov/pmc/blobs/db4e/8593448/deaadf8ca003/gr2.jpg
https://cdn.ncbi.nlm.nih.gov/pmc/blobs/db4e/8593448/7ed3bfea2de2/gr3.jpg
https://cdn.ncbi.nlm.nih.gov/pmc/blobs/db4e/8593448/e5badaec1323/gr4.jpg
https://cdn.ncbi.nlm.nih.gov/pmc/blobs/db4e/8593448/8fc0e15560f4/gr5.jpg

相似文献

1
ANCA vasculitis: A manifestation of Post-Covid-19 Syndrome.抗中性粒细胞胞浆抗体血管炎:新冠后综合征的一种表现。
Respir Med Case Rep. 2021;34:101549. doi: 10.1016/j.rmcr.2021.101549. Epub 2021 Nov 11.
2
A Rare Case of SARS-CoV-2-Induced Microscopic Polyangiitis.一例罕见的由新型冠状病毒2型引起的显微镜下多血管炎病例。
Cureus. 2021 May 26;13(5):e15259. doi: 10.7759/cureus.15259.
3
Myeloperoxidase anti-neutrophil cytoplasmic antibody-associated vasculitis with a unique imaging presentation of organizing pneumonia: A case report.髓过氧化物酶抗中性粒细胞胞浆抗体相关性血管炎合并机化性肺炎的独特影像学表现:一例报告
Respir Med Case Rep. 2020 Nov 12;31:101294. doi: 10.1016/j.rmcr.2020.101294. eCollection 2020.
4
Respiratory failure in ANCA-associated vasculitis.抗中性粒细胞胞浆抗体相关性血管炎中的呼吸衰竭
Chest. 1996 Aug;110(2):357-62. doi: 10.1378/chest.110.2.357.
5
Complement Components C3 and C4 Indicate Vasculitis Manifestations to Distinct Renal Compartments in ANCA-Associated Glomerulonephritis.补体成分C3和C4提示抗中性粒细胞胞浆抗体相关性肾小球肾炎中血管炎表现累及不同肾区。
Int J Mol Sci. 2021 Jun 19;22(12):6588. doi: 10.3390/ijms22126588.
6
Hydralazine induces myeloperoxidase and proteinase 3 anti-neutrophil cytoplasmic antibody vasculitis and leads to pulmonary renal syndrome.肼屈嗪可诱发髓过氧化物酶和蛋白酶3抗中性粒细胞胞浆抗体血管炎,并导致肺肾综合征。
Case Rep Nephrol. 2014;2014:868590. doi: 10.1155/2014/868590. Epub 2014 Aug 26.
7
Hydralazine-associated vasculitis: Overlapping features of drug-induced lupus and vasculitis.肼屈嗪相关性血管炎:药物诱导性狼疮和血管炎的重叠表现。
Semin Arthritis Rheum. 2018 Oct;48(2):283-287. doi: 10.1016/j.semarthrit.2018.01.005. Epub 2018 Jan 12.
8
[Two patients with pulmonary hemorrhage associated with myeloperoxidase-antineutrophil cytoplasmic antibody].两名患有与髓过氧化物酶-抗中性粒细胞胞浆抗体相关的肺出血患者
Nihon Kyobu Shikkan Gakkai Zasshi. 1997 Jan;35(1):111-6.
9
Post-infectious acute glomerulonephritis with vasculitis and pulmonary hemorrhage.感染后急性肾小球肾炎伴血管炎和肺出血。
CEN Case Rep. 2015 May;4(1):65-69. doi: 10.1007/s13730-014-0141-2. Epub 2014 Aug 19.
10
Dual myeloperoxidase-antineutrophil cytoplasmic antibody- and antiglomerular basement membrane antibody-positive cases associated with prior pulmonary fibrosis: a report of four cases.双重髓过氧化物酶-抗中性粒细胞胞质抗体和抗肾小球基底膜抗体阳性病例与先前的肺纤维化相关:4 例报告。
Clin Exp Nephrol. 2011 Apr;15(2):226-34. doi: 10.1007/s10157-010-0390-0. Epub 2011 Jan 20.

引用本文的文献

1
Post-COVID-19 Recurrent Oropharyngeal Lesions Mediated by Atypical Vasculitis, an Autoimmune Condition, or Infection: A Case Report.由非典型血管炎、自身免疫性疾病或感染介导的新冠后复发性口咽病变:一例报告
Cureus. 2025 May 12;17(5):e83950. doi: 10.7759/cureus.83950. eCollection 2025 May.
2
Dermatological complications due to post‑COVID‑19 syndrome: A systematic review.新冠后综合征导致的皮肤并发症:一项系统综述。
Med Int (Lond). 2024 Nov 26;5(1):9. doi: 10.3892/mi.2024.208. eCollection 2025 Jan-Feb.
3
Systemic Vasculitis Post-COVID-19: A Case Report.

本文引用的文献

1
Life-Threatening Diffuse Alveolar Hemorrhage as an Initial Presentation of Microscopic Polyangiitis: COVID-19 as a Likely Culprit.危及生命的弥漫性肺泡出血作为显微镜下多血管炎的初始表现:COVID-19可能是罪魁祸首。
Cureus. 2021 Apr 10;13(4):e14403. doi: 10.7759/cureus.14403.
2
Treatment of Diffuse Alveolar Hemorrhage: Controlling Inflammation and Obtaining Rapid and Effective Hemostasis.弥漫性肺泡出血的治疗:控制炎症和获得快速有效的止血。
Int J Mol Sci. 2021 Jan 14;22(2):793. doi: 10.3390/ijms22020793.
3
Chest CT in COVID-19: What the Radiologist Needs to Know.
新冠病毒感染后系统性血管炎:一例报告
Cureus. 2024 Oct 30;16(10):e72724. doi: 10.7759/cureus.72724. eCollection 2024 Oct.
4
The COVID-19 thrombus: distinguishing pathological, mechanistic, and phenotypic features and management.新型冠状病毒肺炎血栓形成:区分病理、机制、表型特征及管理
J Thromb Thrombolysis. 2025 Jan;58(1):15-49. doi: 10.1007/s11239-024-03028-4. Epub 2024 Aug 23.
5
Genetic and Non-Genetic Contributions to Eosinophilic Granulomatosis with Polyangiitis: Current Knowledge and Future Perspectives.嗜酸性肉芽肿性多血管炎的遗传和非遗传因素:当前认知与未来展望
Curr Issues Mol Biol. 2024 Jul 16;46(7):7516-7529. doi: 10.3390/cimb46070446.
6
Lung Involvement in Pulmonary Vasculitis: A Radiological Review.肺部血管炎的肺部受累:影像学综述
Diagnostics (Basel). 2024 Jul 2;14(13):1416. doi: 10.3390/diagnostics14131416.
7
Antineutrophil cytoplasmic antibody positivity incidence before and during COVID-19 pandemic.新冠疫情之前及期间抗中性粒细胞胞浆抗体阳性率
Rheumatol Int. 2024 Oct;44(10):1935-1940. doi: 10.1007/s00296-024-05596-3. Epub 2024 Apr 24.
8
New-onset ANCA-associated vasculitis presenting with neuropathy after COVID-19 infection: A case report and literature review.新型冠状病毒肺炎感染后新发抗中性粒细胞胞浆抗体相关性血管炎伴发神经病变:一例报告及文献复习
Clin Case Rep. 2024 Jan 21;12(1):e8457. doi: 10.1002/ccr3.8457. eCollection 2024 Jan.
9
Epstein-Barr virus-acquired immunodeficiency in myalgic encephalomyelitis-Is it present in long COVID?肌痛性脑脊髓炎合并 EBV 获得性免疫缺陷——是否存在于长新冠中?
J Transl Med. 2023 Sep 17;21(1):633. doi: 10.1186/s12967-023-04515-7.
10
Rat bite fever mimicking ANCA-associated vasculitis.酷似抗中性粒细胞胞质抗体相关性血管炎的鼠咬热。
Rheumatol Int. 2023 Oct;43(10):1957-1964. doi: 10.1007/s00296-023-05369-4. Epub 2023 Jul 14.
COVID-19 的胸部 CT:放射科医生需要了解的知识。
Radiographics. 2020 Nov-Dec;40(7):1848-1865. doi: 10.1148/rg.2020200159. Epub 2020 Oct 23.
4
Follow-up of adults with noncritical COVID-19 two months after symptom onset.非重症 COVID-19 成人患者症状发作后两个月的随访。
Clin Microbiol Infect. 2021 Feb;27(2):258-263. doi: 10.1016/j.cmi.2020.09.052. Epub 2020 Oct 5.
5
Coronavirus Disease 2019 Case Surveillance - United States, January 22-May 30, 2020.2019 年冠状病毒病病例监测-美国,2020 年 1 月 22 日-5 月 30 日。
MMWR Morb Mortal Wkly Rep. 2020 Jun 19;69(24):759-765. doi: 10.15585/mmwr.mm6924e2.
6
COVID-19 pathophysiology: A review.新型冠状病毒肺炎的病理生理学:综述。
Clin Immunol. 2020 Jun;215:108427. doi: 10.1016/j.clim.2020.108427. Epub 2020 Apr 20.
7
A Review of Coronavirus Disease-2019 (COVID-19).新型冠状病毒肺炎(COVID-19)概述。
Indian J Pediatr. 2020 Apr;87(4):281-286. doi: 10.1007/s12098-020-03263-6. Epub 2020 Mar 13.
8
Clinical Characteristics of 138 Hospitalized Patients With 2019 Novel Coronavirus-Infected Pneumonia in Wuhan, China.《武汉 2019 年新型冠状病毒感染的肺炎 138 例住院患者临床特征分析》
JAMA. 2020 Mar 17;323(11):1061-1069. doi: 10.1001/jama.2020.1585.
9
Overview of the Pathogenesis of ANCA-Associated Vasculitis.抗中性粒细胞胞质抗体相关性血管炎发病机制概述。
Kidney Dis (Basel). 2016 Mar;1(4):205-15. doi: 10.1159/000442323. Epub 2015 Dec 3.
10
ANCA-associated vasculitis: diagnostic and therapeutic strategy.抗中性粒细胞胞浆抗体相关性血管炎:诊断与治疗策略
Allergol Int. 2007 Jun;56(2):87-96. doi: 10.2332/allergolint.R-07-141. Epub 2007 May 1.