Suppr超能文献

不同手术器械切开后猪皮肤的愈合比较

Comparative healing of swine skin following incisions with different surgical devices.

作者信息

Zhong Yuting, Wei Yufan, Min Ningning, Guan Qingyu, Zhao Jin, Zhu Junyong, Hu Huayu, Geng Rui, Hong Chenyan, Ji Yashuang, Li Jie, Zheng Yiqiong, Zhang Yanjun, Li Xiru

机构信息

Medical School of Chinese PLA, Beijing, China.

Department of General Surgery, Chinese People's Liberation Army General Hospital, Beijing, China.

出版信息

Ann Transl Med. 2021 Oct;9(20):1514. doi: 10.21037/atm-21-3090.

Abstract

BACKGROUND

Electrosurgical technology is widely used in surgical dissection and hemostasis, but the generated heat creates thermal injury to adjacent tissues and delays wound healing. The plasma blade (PB) applies pulsed radiofrequency (RF) to generate electrical plasma along the edge of a thin, flat, insulated electrode, minimizing collateral tissue damage. This study aimed to evaluate wound healing in swine skin following incision with a new surgical system that applies low-temperature plasma (NTS-100), a foreign PB, conventional electrosurgery (ES), and a scalpel blade.

METHODS

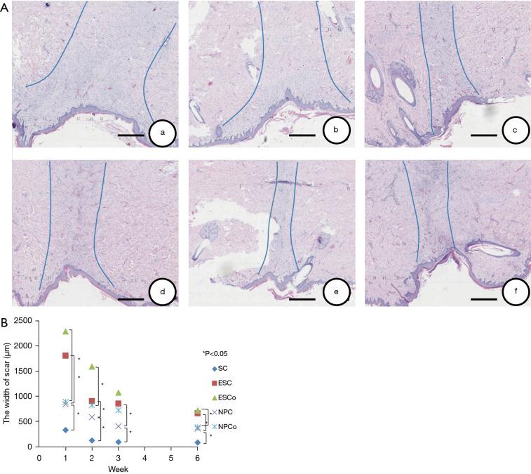
porcine skin and an porcine skin model were used in this study. Full-thickness skin incisions 3 cm in length were made on the dorsum of each animal for each of the 5 surgical procedures at 0, 21, 28, 35, and 42 days. The timing of the surgical procedures allowed for wound-healing data points at 1, 2, 3, and 6 weeks accordingly. Local operating temperature and blood loss were quantified. Wounds were harvested at designated time points, tested for wound tensile strength, and examined histologically for scar formation and tissue damage.

RESULTS

Local operating temperature was reduced significantly with NTS-100 (cut mode 83.12±23.55 °C; coagulation mode 90.07±10.6 °C) compared with PB (cut mode 94.46±11.48 °C; coagulation mode 100.23±6.58 °C, P<0.05) and ES (cut mode 208.99±34.33 °C, P<0.01; coagulation mode 233.37±28.69 °C, P<0.01) . Acute thermal damage from NTS-100 was significantly less than ES incisions (cut mode: 247.345±42.274 versus 495.295±103.525 µm, P<0.01; coagulation mode: 351.419±127.948 versus 584.516±31.708 µm, P<0.05). Bleeding, histological scoring of injury, and wound strength were equivalent for the NTS-100 and PB incisions.

CONCLUSIONS

The local operating temperature of NTS-100 was lower than PB, and NTS-100 had similarly reliable safety and efficacy.

摘要

背景

电外科技术广泛应用于手术解剖和止血,但产生的热量会对邻近组织造成热损伤并延迟伤口愈合。等离子刀(PB)通过施加脉冲射频(RF)沿着薄而扁平的绝缘电极边缘产生电等离子体,将附带组织损伤降至最低。本研究旨在评估使用一种新型手术系统(应用低温等离子体的NTS - 100)、国外的PB、传统电外科手术(ES)和手术刀在猪皮肤上切开后伤口的愈合情况。

方法

本研究使用猪皮肤和猪皮肤模型。在每只动物的背部为5种手术操作中的每种操作制作长度为3 cm的全层皮肤切口,分别在0、21、28、35和42天进行。手术操作的时间安排相应地允许在1、2、3和6周获取伤口愈合数据点。对局部手术温度和失血量进行量化。在指定时间点采集伤口,测试伤口抗张强度,并进行组织学检查以观察瘢痕形成和组织损伤情况。

结果

与PB(切割模式94.46±11.48 °C;凝血模式100.23±6.58 °C,P<0.05)和ES(切割模式208.99±34.33 °C,P<0.01;凝血模式233.37±28.69 °C,P<0.01)相比,NTS - 100的局部手术温度显著降低(切割模式83.12±23.55 °C;凝血模式90.07±10.6 °C)。NTS - 100造成的急性热损伤明显小于ES切口(切割模式:247.345±42.274对495.295±103.525 µm,P<0.01;凝血模式:351.419±127.948对584.516±31.708 µm,P<0.05)。NTS - 100和PB切口的出血情况、损伤的组织学评分以及伤口强度相当。

结论

NTS - 100的局部手术温度低于PB,且NTS - 100具有同样可靠的安全性和有效性。

https://cdn.ncbi.nlm.nih.gov/pmc/blobs/c742/8576679/f52a223e2cc2/atm-09-20-1514-f1.jpg

文献检索

告别复杂PubMed语法,用中文像聊天一样搜索,搜遍4000万医学文献。AI智能推荐,让科研检索更轻松。

立即免费搜索

文件翻译

保留排版,准确专业,支持PDF/Word/PPT等文件格式,支持 12+语言互译。

免费翻译文档

深度研究

AI帮你快速写综述,25分钟生成高质量综述,智能提取关键信息,辅助科研写作。

立即免费体验