• 文献检索
  • 文档翻译
  • 深度研究
  • 学术资讯
  • Suppr Zotero 插件Zotero 插件
  • 邀请有礼
  • 套餐&价格
  • 历史记录
应用&插件
Suppr Zotero 插件Zotero 插件浏览器插件Mac 客户端Windows 客户端微信小程序
定价
高级版会员购买积分包购买API积分包
服务
文献检索文档翻译深度研究API 文档MCP 服务
关于我们
关于 Suppr公司介绍联系我们用户协议隐私条款
关注我们

Suppr 超能文献

核心技术专利:CN118964589B侵权必究
粤ICP备2023148730 号-1Suppr @ 2026

文献检索

告别复杂PubMed语法,用中文像聊天一样搜索,搜遍4000万医学文献。AI智能推荐,让科研检索更轻松。

立即免费搜索

文件翻译

保留排版,准确专业,支持PDF/Word/PPT等文件格式,支持 12+语言互译。

免费翻译文档

深度研究

AI帮你快速写综述,25分钟生成高质量综述,智能提取关键信息,辅助科研写作。

立即免费体验

A human Y-chromosomal DNA sequence expressed in testicular tissue.

作者信息

Arnemann J, Epplen J T, Cooke H J, Sauermann U, Engel W, Schmidtke J

机构信息

Institut für Humangenetik, Universität Göttingen, FRG.

出版信息

Nucleic Acids Res. 1987 Nov 11;15(21):8713-24. doi: 10.1093/nar/15.21.8713.

DOI:10.1093/nar/15.21.8713
PMID:3479749
原文链接:https://pmc.ncbi.nlm.nih.gov/articles/PMC306400/
Abstract

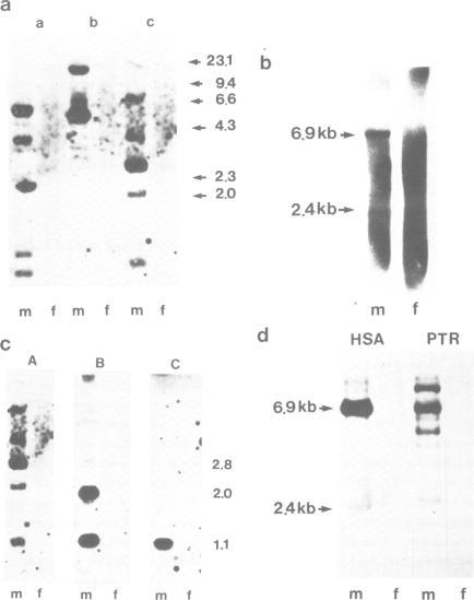
Clone pJA36B (DYS14) was isolated from a human Y chromosome enriched cosmid library. Southern blot analysis revealed a male-specific hybridization pattern. Deletion mapping with patients' DNA localized pJA36B to the median region of Yp, being present in the DNA of nine of fifteen XX-males tested so far and therefore localized in the region neighbouring the TDF-locus. Northern blot analysis showed a transcription signal in poly(A)+ RNA of human testis. Sequence analysis of the genomic DNA sequence revealed an open reading frame of 522 basepairs in the absence of control or signal sequences for the regulation of transcription or polyadenylation. This suggests that only one exon of a translatable sequence is present in clone pJA36B. A computer aided search revealed no significant homologies with known DNA or protein sequences.

摘要
https://cdn.ncbi.nlm.nih.gov/pmc/blobs/6f85/306400/436a07a170b3/nar00265-0149-a.jpg
https://cdn.ncbi.nlm.nih.gov/pmc/blobs/6f85/306400/e725a7c9d23c/nar00265-0146-a.jpg
https://cdn.ncbi.nlm.nih.gov/pmc/blobs/6f85/306400/436a07a170b3/nar00265-0149-a.jpg
https://cdn.ncbi.nlm.nih.gov/pmc/blobs/6f85/306400/e725a7c9d23c/nar00265-0146-a.jpg
https://cdn.ncbi.nlm.nih.gov/pmc/blobs/6f85/306400/436a07a170b3/nar00265-0149-a.jpg

相似文献

1
A human Y-chromosomal DNA sequence expressed in testicular tissue.
Nucleic Acids Res. 1987 Nov 11;15(21):8713-24. doi: 10.1093/nar/15.21.8713.
2
Mapping of testis-determining locus on Yp by the molecular genetic analysis of XX males and XY females.通过对XX男性和XY女性的分子遗传学分析定位Y染色体短臂上的睾丸决定位点。
Development. 1987;101 Suppl:51-8.
3
Deletion mapping of the testis determining locus with DNA probes in 46,XX males and in 46,XY and 46,X,dic(Y) females.利用DNA探针在46,XX男性以及46,XY和46,X,dic(Y)女性中对睾丸决定基因座进行缺失图谱分析。
Nucleic Acids Res. 1986 Aug 26;14(16):6489-505. doi: 10.1093/nar/14.16.6489.
4
A Bkm-associated human y-chromosomal DNA is conserved and transcribed in the testis of mouse.一种与Bkm相关的人类Y染色体DNA在小鼠睾丸中保守且转录。
Chromosoma. 1995 Dec;104(4):274-81. doi: 10.1007/BF00352258.
5
Evidence for distinguishable transcripts of the putative testis determining gene (ZFY) and mapping of homologous cDNA sequences to chromosomes X,Y and 9.推测的睾丸决定基因(ZFY)的可区分转录本的证据以及同源cDNA序列在X、Y和9号染色体上的定位。
Nucleic Acids Res. 1989 Apr 25;17(8):2987-99. doi: 10.1093/nar/17.8.2987.
6
Mapping the testis determinants by an analysis of Y-specific sequences in males with apparent XX and XO karyotypes and females with XY karyotypes.通过分析具有明显XX和XO核型的男性以及具有XY核型的女性的Y特异性序列来定位睾丸决定因子。
Nucleic Acids Res. 1987 Sep 25;15(18):7325-42. doi: 10.1093/nar/15.18.7325.
7
Separation of the genetic loci for the H-Y antigen and for testis determination on human Y chromosome.人类Y染色体上H-Y抗原基因座与睾丸决定基因座的分离。
Nature. 1987;326(6116):876-8. doi: 10.1038/326876a0.
8
A deletion map of the human Y chromosome based on DNA hybridization.基于DNA杂交的人类Y染色体缺失图谱。
Am J Hum Genet. 1986 Feb;38(2):109-24.
9
Ordering of Y-specific sequences by deletion mapping and analysis of X-Y interchange males and females.通过缺失作图以及对X-Y互换雄性和雌性个体的分析对Y特异性序列进行排序。
Development. 1987;101 Suppl:41-50. doi: 10.1242/dev.101.Supplement.41.
10
Y-specific DNA sequences in male patients with 46,XX and 47,XXX karyotypes.核型为46,XX和47,XXX的男性患者中的Y特异性DNA序列。
Am J Med Genet. 1987 Oct;28(2):393-401. doi: 10.1002/ajmg.1320280218.

引用本文的文献

1
Novel Mutations of TSPY1 Gene Associate Spermatogenic Failure Among Men.TSPY1基因的新型突变与男性生精功能障碍相关。
Reprod Sci. 2022 Apr;29(4):1241-1261. doi: 10.1007/s43032-021-00839-1. Epub 2022 Jan 18.
2
Roles of the Y chromosome genes in human cancers.Y染色体基因在人类癌症中的作用。
Asian J Androl. 2015 May-Jun;17(3):373-80. doi: 10.4103/1008-682X.150842.
3
An Exceptional Gene: Evolution of the TSPY Gene Family in Humans and Other Great Apes.一个特殊的基因:人类和其他大型猿类 TSPY 基因家族的进化。

本文引用的文献

1
Sex chromosome associated satellite DNA: evolution and conservation.性染色体相关卫星DNA:进化与保守性
Chromosoma. 1980;79(2):137-57. doi: 10.1007/BF01175181.
2
Genetic homology and crossing over in the X and Y chromosomes of Mammals.哺乳动物X和Y染色体中的基因同源性与交叉互换
Hum Genet. 1982;61(2):85-90. doi: 10.1007/BF00274192.
3
Sex reversal in the mouse (Mus musculus) is caused by a recurrent nonreciprocal crossover involving the x and an aberrant y chromosome.小鼠(小家鼠)的性反转是由涉及X染色体和一条异常Y染色体的反复发生的非相互交叉所引起的。
Genes (Basel). 2011 Jan 10;2(1):36-47. doi: 10.3390/genes2010036.
4
Expression of the Y-Encoded TSPY is Associated with Progression of Prostate Cancer.Y 编码 TSPY 的表达与前列腺癌的进展有关。
Genes (Basel). 2010 Sep 14;1(2):283-93. doi: 10.3390/genes1020283.
5
Transgenic Mouse Studies to Understand the Regulation, Expression and Function of the Testis-Specific Protein Y-Encoded (TSPY) Gene.转基因小鼠研究理解睾丸特异性蛋白 Y 编码(TSPY)基因的调控、表达和功能。
Genes (Basel). 2010 Aug 18;1(2):244-62. doi: 10.3390/genes1020244.
6
Expression of a Y-located human proto-oncogene TSPY in a transgenic mouse model of prostate cancer.Y 染色体定位的人类原癌基因 TSPY 在前列腺癌转基因小鼠模型中的表达。
Cell Biosci. 2014 Feb 17;4(1):9. doi: 10.1186/2045-3701-4-9.
7
Long-term persistence and effects of fetal microchimerisms on disease onset and status in a cohort of women with rheumatoid arthritis and systemic lupus erythematosus.类风湿关节炎和系统性红斑狼疮女性队列中胎儿微嵌合体对疾病发病和状态的长期持久性和影响。
BMC Musculoskelet Disord. 2013 Nov 18;14:325. doi: 10.1186/1471-2474-14-325.
8
Male microchimerism in the human female brain.男性微嵌合体在人类女性大脑中的存在。
PLoS One. 2012;7(9):e45592. doi: 10.1371/journal.pone.0045592. Epub 2012 Sep 26.
9
Structural variation of the human genome: mechanisms, assays, and role in male infertility.人类基因组结构变异:机制、检测方法及其在男性不育中的作用。
Syst Biol Reprod Med. 2011 Feb;57(1-2):3-16. doi: 10.3109/19396368.2010.527427. Epub 2011 Jan 6.
10
TSPY1 copy number variation influences spermatogenesis and shows differences among Y lineages.TSPY1基因拷贝数变异影响精子发生,并在Y染色体谱系间存在差异。
J Clin Endocrinol Metab. 2009 Oct;94(10):4016-22. doi: 10.1210/jc.2009-1029. Epub 2009 Sep 22.
Cell. 1982 Feb;28(2):205-16. doi: 10.1016/0092-8674(82)90338-5.
4
Localisation of male determining factors in man: a thorough review of structural anomalies of the Y chromosome.人类男性决定因素的定位:Y染色体结构异常的全面综述。
J Med Genet. 1981 Jun;18(3):161-95. doi: 10.1136/jmg.18.3.161.
5
A synopsis of the human Y chromosome.人类Y染色体概述。
Hum Genet. 1980;55(2):145-75. doi: 10.1007/BF00291764.
6
Base sequence of a cloned snake W-chromosome DNA fragment and identification of a male-specific putative mRNA in the mouse.克隆的蛇W染色体DNA片段的碱基序列及小鼠中一种雄性特异性假定mRNA的鉴定。
Proc Natl Acad Sci U S A. 1982 Jun;79(12):3798-802. doi: 10.1073/pnas.79.12.3798.
7
Extensive sequence homologies between Y and other human chromosomes.Y染色体与其他人类染色体之间存在广泛的序列同源性。
J Mol Biol. 1984 Mar 15;173(4):403-17. doi: 10.1016/0022-2836(84)90388-7.
8
Human XX males with Y single-copy DNA fragments.携带Y单拷贝DNA片段的人类XX男性。
Nature. 1984;307(5947):172-3. doi: 10.1038/307172a0.
9
The conserved nucleotide sequences of Bkm, which define Sxr in the mouse, are transcribed.定义小鼠中Sxr的Bkm保守核苷酸序列被转录。
Cell. 1984 Jan;36(1):111-20. doi: 10.1016/0092-8674(84)90079-5.
10
Cloning in single-stranded bacteriophage as an aid to rapid DNA sequencing.利用单链噬菌体克隆辅助快速DNA测序。
J Mol Biol. 1980 Oct 25;143(2):161-78. doi: 10.1016/0022-2836(80)90196-5.