• 文献检索
  • 文档翻译
  • 深度研究
  • 学术资讯
  • Suppr Zotero 插件Zotero 插件
  • 邀请有礼
  • 套餐&价格
  • 历史记录
应用&插件
Suppr Zotero 插件Zotero 插件浏览器插件Mac 客户端Windows 客户端微信小程序
定价
高级版会员购买积分包购买API积分包
服务
文献检索文档翻译深度研究API 文档MCP 服务
关于我们
关于 Suppr公司介绍联系我们用户协议隐私条款
关注我们

Suppr 超能文献

核心技术专利:CN118964589B侵权必究
粤ICP备2023148730 号-1Suppr @ 2026

文献检索

告别复杂PubMed语法,用中文像聊天一样搜索,搜遍4000万医学文献。AI智能推荐,让科研检索更轻松。

立即免费搜索

文件翻译

保留排版,准确专业,支持PDF/Word/PPT等文件格式,支持 12+语言互译。

免费翻译文档

深度研究

AI帮你快速写综述,25分钟生成高质量综述,智能提取关键信息,辅助科研写作。

立即免费体验

乳腺癌患者程序性死亡配体1的表达:来自单机构研究的临床病理相关性

Programmed Death-Ligand 1 Expression in Breast Cancer Patients: Clinicopathological Associations from a Single-Institution Study.

作者信息

Ayoub Nehad M, Fares Mona, Marji Raya, Al Bashir Samir M, Yaghan Rami J

机构信息

Department of Clinical Pharmacy, Faculty of Pharmacy, Jordan University of Science and Technology (JUST), Irbid, 22110, Jordan.

Department of Pathology and Microbiology, Faculty of Medicine, Jordan University of Science and Technology, Irbid, 22110, Jordan.

出版信息

Breast Cancer (Dove Med Press). 2021 Nov 13;13:603-615. doi: 10.2147/BCTT.S333123. eCollection 2021.

DOI:10.2147/BCTT.S333123
PMID:34803400
原文链接:https://pmc.ncbi.nlm.nih.gov/articles/PMC8597920/
Abstract

PURPOSE

Tumor expression of programmed death-ligand 1 (PD-L1) is associated with evasion of immune response in several types of malignancies and such expression may render patients eligible for PD-L1 inhibitors. The use of immune checkpoint blockade therapy has been recently approved for the treatment of breast cancer. However, PD-L1 expression data are lacking among Jordanian breast cancer patients. In this study, the tumor PD-L1 expression was characterized in breast cancer patients to assess their eligibility for immune checkpoint blockade therapy. The study also aimed to explore the association between tumoral PD-L1 expression and the clinicopathologic characteristics and the prognostic factors in patients with breast cancer.

PATIENTS AND METHODS

Tissue samples were available from 153 female patients with primary invasive breast cancer. Immunohistochemistry was performed on paraffin-embedded tumor sections that were stained with a PD-L1 antibody. Expression of tumor PD-L1 was correlated with demographics, clinicopathologic characteristics, and prognosis.

RESULTS

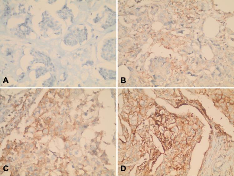
The mean age at diagnosis was 54.2±12.8 years (median 52, interquartile range 45-65). The percentage of PD-L1-positive tumors was 26.1%. PD-L1 expression on tumor cells significantly and positively correlated with tumor size (rho=0.174, p=0.032). PD-L1 positivity was significantly associated with the grade of carcinoma (p=0.001), HER2-positivity (p=0.015), and lymphovascular invasion (p=0.036). PD-L1 intensity was significantly associated with tumor stage (p=0.046). No significant associations were observed for the PD-L1 expression status or intensity with patient menopausal status, hormone receptor expression, and molecular subtypes. PD-L1 expression significantly correlated with a worse prognosis of breast cancer patients at the time of diagnosis (rho=0.230, p=0.005).

CONCLUSION

Tumor PD-L1 expression was associated with advanced clinicopathologic features and worse prognosis in this cohort of Jordanian breast cancer patients. Future studies are needed to better understand the impact of PD-L1 blockade therapy on treatment outcomes in eligible breast cancer patients in Jordan.

摘要

目的

程序性死亡配体1(PD-L1)在肿瘤中的表达与多种恶性肿瘤免疫反应的逃避相关,这种表达可能使患者适合使用PD-L1抑制剂。免疫检查点阻断疗法最近已被批准用于治疗乳腺癌。然而,约旦乳腺癌患者中缺乏PD-L1表达数据。在本研究中,对乳腺癌患者的肿瘤PD-L1表达进行了特征分析,以评估他们是否适合免疫检查点阻断疗法。该研究还旨在探讨肿瘤PD-L1表达与乳腺癌患者临床病理特征及预后因素之间的关联。

患者与方法

收集了153例原发性浸润性乳腺癌女性患者的组织样本。对用PD-L1抗体染色的石蜡包埋肿瘤切片进行免疫组织化学检测。肿瘤PD-L1的表达与人口统计学、临床病理特征及预后相关。

结果

诊断时的平均年龄为54.2±12.8岁(中位数52岁,四分位间距45 - 65岁)。PD-L1阳性肿瘤的比例为26.1%。肿瘤细胞上的PD-L1表达与肿瘤大小显著正相关(rho = 0.174,p = 0.032)。PD-L1阳性与癌分级(p = 0.001)、HER2阳性(p = 0.015)及淋巴管浸润(p = 0.036)显著相关。PD-L1强度与肿瘤分期显著相关(p = 0.046)。未观察到PD-L1表达状态或强度与患者绝经状态、激素受体表达及分子亚型之间存在显著关联。PD-L1表达与诊断时乳腺癌患者的较差预后显著相关(rho = 0.230,p = 0.005)。

结论

在这组约旦乳腺癌患者中,肿瘤PD-L1表达与晚期临床病理特征及较差预后相关。未来需要开展研究,以更好地了解PD-L1阻断疗法对约旦符合条件的乳腺癌患者治疗结果的影响。

https://cdn.ncbi.nlm.nih.gov/pmc/blobs/e226/8597920/6591565f22ef/BCTT-13-603-g0002.jpg
https://cdn.ncbi.nlm.nih.gov/pmc/blobs/e226/8597920/d091591a4e00/BCTT-13-603-g0001.jpg
https://cdn.ncbi.nlm.nih.gov/pmc/blobs/e226/8597920/6591565f22ef/BCTT-13-603-g0002.jpg
https://cdn.ncbi.nlm.nih.gov/pmc/blobs/e226/8597920/d091591a4e00/BCTT-13-603-g0001.jpg
https://cdn.ncbi.nlm.nih.gov/pmc/blobs/e226/8597920/6591565f22ef/BCTT-13-603-g0002.jpg

相似文献

1
Programmed Death-Ligand 1 Expression in Breast Cancer Patients: Clinicopathological Associations from a Single-Institution Study.乳腺癌患者程序性死亡配体1的表达:来自单机构研究的临床病理相关性
Breast Cancer (Dove Med Press). 2021 Nov 13;13:603-615. doi: 10.2147/BCTT.S333123. eCollection 2021.
2
Characterization of immune checkpoints expression and lymphocyte densities of iranian breast cancer patients; the co-expression status and clinicopathological associates.伊朗乳腺癌患者免疫检查点表达和淋巴细胞密度的特征;共表达状态与临床病理相关。
BMC Cancer. 2023 Jun 1;23(1):495. doi: 10.1186/s12885-023-11005-y.
3
Tumor-infiltrating lymphocytes status, programmed death-ligand 1 expression, and clinicopathological features of 41 cases of pure apocrine carcinoma of the breast: a retrospective study based on clinical pathological analysis and different immune statuses.41例乳腺单纯大汗腺癌的肿瘤浸润淋巴细胞状态、程序性死亡配体1表达及临床病理特征:一项基于临床病理分析和不同免疫状态的回顾性研究
Gland Surg. 2022 Jun;11(6):1037-1046. doi: 10.21037/gs-22-248.
4
Comparison of three scoring methods using the FDA-approved 22C3 immunohistochemistry assay to evaluate PD-L1 expression in breast cancer and their association with clinicopathologic factors.三种评分方法的比较,使用 FDA 批准的 22C3 免疫组化检测评估乳腺癌中的 PD-L1 表达及其与临床病理因素的关系。
Breast Cancer Res. 2020 Jun 23;22(1):69. doi: 10.1186/s13058-020-01303-9.
5
The Clinicopathological and Prognostic Significance of the Expression of PD-L1 and MET Genes in Breast Cancer: Potential Therapeutic Targets.PD-L1和MET基因表达在乳腺癌中的临床病理及预后意义:潜在治疗靶点
Curr Cancer Drug Targets. 2024 Oct 10. doi: 10.2174/0115680096333231240902070108.
6
The expression of programmed death-ligand 1 in patients with invasive breast cancer.浸润性乳腺癌患者程序性死亡配体1的表达
Gland Surg. 2020 Dec;9(6):2106-2115. doi: 10.21037/gs-20-824.
7
Programmed cell death-ligand 1 expression in stromal immune cells is a marker of breast cancer outcome.基质免疫细胞中程序性细胞死亡配体1的表达是乳腺癌预后的一个标志物。
J Cancer. 2020 Oct 18;11(24):7246-7252. doi: 10.7150/jca.50441. eCollection 2020.
8
Association of PD-1/PD-L1 expression and Epstein--Barr virus infection in patients with invasive breast cancer.PD-1/PD-L1 表达与 EBV 感染与浸润性乳腺癌患者的相关性。
Diagn Pathol. 2022 Jul 16;17(1):61. doi: 10.1186/s13000-022-01234-3.
9
Expression of programmed death ligand-1 and programmed death-1 in samples of invasive ductal carcinoma of the breast and its correlation with prognosis.程序性死亡配体-1 和程序性死亡受体-1 在乳腺浸润性导管癌标本中的表达及其与预后的关系。
Anticancer Drugs. 2018 Oct;29(9):904-910. doi: 10.1097/CAD.0000000000000683.
10
Predictive Values of Programmed Cell Death-Ligand 1 Expression for Prognosis, Clinicopathological Factors, and Response to Programmed Cell Death-1/Programmed Cell Death-Ligand 1 Inhibitors in Patients With Gynecological Cancers: A Meta-Analysis.程序性细胞死亡配体1表达对妇科癌症患者预后、临床病理因素及程序性细胞死亡蛋白1/程序性细胞死亡配体1抑制剂反应的预测价值:一项荟萃分析
Front Oncol. 2021 Feb 1;10:572203. doi: 10.3389/fonc.2020.572203. eCollection 2020.

本文引用的文献

1
Programmed cell death 1 (PD-1) receptor and programmed death ligand 1 (PD-L1) gene expression in primary breast cancer.原发性乳腺癌中程序性细胞死亡受体 1(PD-1)和程序性死亡配体 1(PD-L1)基因的表达。
Breast Cancer Res Treat. 2021 Jun;187(2):387-395. doi: 10.1007/s10549-021-06234-3. Epub 2021 Apr 28.
2
PD-L1 Protein Expression in Middle Eastern Breast Cancer Predicts Favorable Outcome in Triple-Negative Breast Cancer.中东乳腺癌中 PD-L1 蛋白的表达可预测三阴性乳腺癌的良好预后。
Cells. 2021 Jan 25;10(2):229. doi: 10.3390/cells10020229.
3
The recent advances of PD-1 and PD-L1 checkpoint signaling inhibition for breast cancer immunotherapy.
PD-1 和 PD-L1 检查点信号抑制在乳腺癌免疫治疗中的最新进展。
Eur J Pharmacol. 2021 Mar 15;895:173867. doi: 10.1016/j.ejphar.2021.173867. Epub 2021 Jan 15.
4
PD-1 protein and gene expression as prognostic factors in early breast cancer.PD-1 蛋白和基因表达作为早期乳腺癌的预后因素。
ESMO Open. 2020 Nov;5(6):e001032. doi: 10.1136/esmoopen-2020-001032.
5
Immune checkpoint signaling and cancer immunotherapy.免疫检查点信号与癌症免疫治疗。
Cell Res. 2020 Aug;30(8):660-669. doi: 10.1038/s41422-020-0343-4. Epub 2020 May 28.
6
Immunotherapy for Breast Cancer: First FDA Approved Regimen.乳腺癌免疫疗法:首个获美国食品药品监督管理局批准的方案。
Discoveries (Craiova). 2019 Mar 31;7(1):e91. doi: 10.15190/d.2019.4.
7
Circulating PD-1 mRNA in Peripheral Blood is a Potential Biomarker for Predicting Survival of Breast Cancer Patients.外周血循环 PD-1 mRNA 是预测乳腺癌患者生存的潜在生物标志物。
Ann Surg Oncol. 2020 Oct;27(10):4035-4043. doi: 10.1245/s10434-020-08375-z. Epub 2020 Mar 21.
8
Clinicopathological and Prognostic Significance of Programmed Death Ligand 1 Expression in Korean Patients With Triple-negative Breast Carcinoma.韩国三阴性乳腺癌患者程序性死亡配体 1 表达的临床病理和预后意义。
Anticancer Res. 2020 Mar;40(3):1487-1494. doi: 10.21873/anticanres.14093.
9
PD-L1 Expression and Tumor-infiltrating Lymphocytes in Breast Cancer: Clinicopathological Analysis in Women Younger than 40 Years Old.PD-L1 表达与乳腺癌肿瘤浸润淋巴细胞:40 岁以下女性的临床病理分析。
In Vivo. 2020 Mar-Apr;34(2):639-647. doi: 10.21873/invivo.11818.
10
Breast Cancer Care in Jordan.约旦的乳腺癌护理
JCO Glob Oncol. 2020 Feb;6:260-268. doi: 10.1200/JGO.19.00279.