• 文献检索
  • 文档翻译
  • 深度研究
  • 学术资讯
  • Suppr Zotero 插件Zotero 插件
  • 邀请有礼
  • 套餐&价格
  • 历史记录
应用&插件
Suppr Zotero 插件Zotero 插件浏览器插件Mac 客户端Windows 客户端微信小程序
定价
高级版会员购买积分包购买API积分包
服务
文献检索文档翻译深度研究API 文档MCP 服务
关于我们
关于 Suppr公司介绍联系我们用户协议隐私条款
关注我们

Suppr 超能文献

核心技术专利:CN118964589B侵权必究
粤ICP备2023148730 号-1Suppr @ 2026

文献检索

告别复杂PubMed语法,用中文像聊天一样搜索,搜遍4000万医学文献。AI智能推荐,让科研检索更轻松。

立即免费搜索

文件翻译

保留排版,准确专业,支持PDF/Word/PPT等文件格式,支持 12+语言互译。

免费翻译文档

深度研究

AI帮你快速写综述,25分钟生成高质量综述,智能提取关键信息,辅助科研写作。

立即免费体验

子痫前期发病机制中Apelin与某些血管生成因子的相关性:Apelin-13作为治疗子痫前期的新药及其对胎盘的生理作用

Correlation between Apelin and Some Angiogenic Factors in the Pathogenesis of Preeclampsia: Apelin-13 as Novel Drug for Treating Preeclampsia and Its Physiological Effects on Placenta.

作者信息

Hamza Reham Z, Diab Abdel Aziz A, Zahra Mansour H, Asalah Ali K, Moursi Suzan M M, Al-Baqami Najah M, Al-Salmi Fawziah A, Attia Mai S

机构信息

Biology Department, Faculty of Sciences, Taif University, P.O. Box 11099, Taif 21944, Saudi Arabia.

Zoology Department, Faculty of Science, Zagazig University, Zagazig 44519, Egypt.

出版信息

Int J Endocrinol. 2021 Nov 15;2021:5017362. doi: 10.1155/2021/5017362. eCollection 2021.

DOI:10.1155/2021/5017362
PMID:34819954
原文链接:https://pmc.ncbi.nlm.nih.gov/articles/PMC8608536/
Abstract

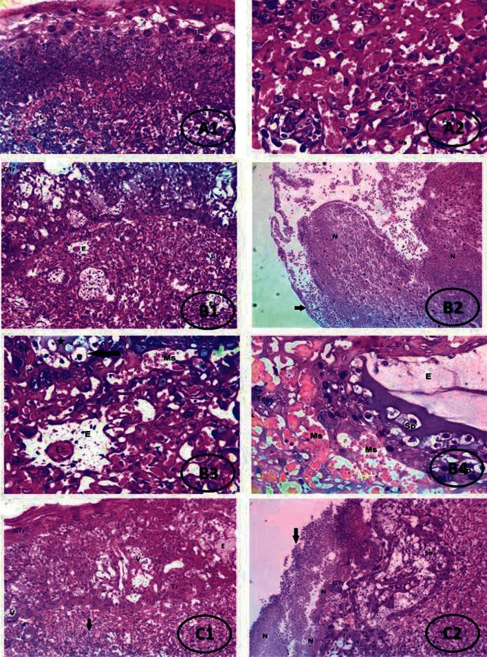
Preeclampsia (PE) is one of the commonest causes for maternal and fetal morbidity and mortality. Imbalances of angiogenic factors, oxidative stress, and inflammatory response have a role in the pathogenesis of PE. Data regarding the circulating apelin level and its role in PE remains controversial. This study was formulated to assess the serum apelin level in PE, investigate its correlation with some inflammatory, oxidative stress, and angiogenic proteins in a nitric oxide synthase inhibitor; the N (gamma)-nitro-L-arginine methyl ester (L-NAME)-induced rat model of PE and determine whether apelin administration could protect against development of PE. 40 healthy adult female albino rats and 10 adult male albino rats were used in this study. The pregnant female rats were randomly divided into three groups: group 1 (normal pregnant group), group 2 (PE-induced group), injected subcutaneously with 75 mg L-NAME/kg bodyweight/day starting from day 9 to 20 of gestation, and group 3 (PE-induced group supplemented with apelin (PE + apelin)); PE induced as before and simultaneously subcutaneously injected with apelin-13 (6 × 10 mol/kg bodyweight/twice daily) beginning from day 6 to 20 of gestation. In all groups, blood pressure and urine protein were determined at gestation days (GD) 0, 10, and 18. Moreover, serum apelin, placental growth factor (PLGF), vascular endothelial growth factor (VEGF), soluble fms-like tyrosine kinase-1 (sFlt-1), soluble endoglin (sEng), interferon-gamma (IFN-), and interleukin-10 (IL-10) levels and serum superoxide dismutase enzyme (SOD) and catalase (CAT) activities of all groups were estimated at the end of experiment. Placental histopathological examination was also performed. PE-induced rats showed significantly decreased serum apelin levels. Moreover, they showed significantly increased blood pressures, urine proteins, sFlt-1, sEng, and IFN- (mean arterial blood pressure, urine proteins, sFlt-1, sEng, and IFN- showed significant negative correlations with serum apelin level), but it showed significantly decreased VEGF, PLGF, IL-10, SOD, and CAT (VEGF, PLGF, IL-10, and SOD showed significant positive correlations with serum apelin level). In contrast, exogenous apelin administration significantly ameliorated these parameters together with improvement in the placental histoarchitecture in the apelin-supplemented PE group. This study demonstrated the protective effects of apelin administration on the pathogenesis of PE.

摘要

子痫前期(PE)是孕产妇和胎儿发病及死亡的最常见原因之一。血管生成因子失衡、氧化应激和炎症反应在PE的发病机制中起作用。关于循环中Apelin水平及其在PE中的作用的数据仍存在争议。本研究旨在评估PE患者血清Apelin水平,研究其与一氧化氮合酶抑制剂中一些炎症、氧化应激和血管生成蛋白的相关性;用N(γ)-硝基-L-精氨酸甲酯(L-NAME)诱导的大鼠PE模型,并确定给予Apelin是否可以预防PE的发生。本研究使用了40只健康成年雌性白化大鼠和10只成年雄性白化大鼠。将怀孕的雌性大鼠随机分为三组:第1组(正常怀孕组),第2组(PE诱导组),从妊娠第9天至20天皮下注射75mg L-NAME/kg体重/天,第3组(补充Apelin的PE诱导组(PE+Apelin));如前所述诱导PE,并从妊娠第6天至20天同时皮下注射Apelin-13(6×10mol/kg体重/每日两次)。在所有组中,在妊娠第0、10和18天测定血压和尿蛋白。此外,在实验结束时评估所有组的血清Apelin、胎盘生长因子(PLGF)、血管内皮生长因子(VEGF)、可溶性fms样酪氨酸激酶-1(sFlt-1)、可溶性内皮糖蛋白(sEng)、干扰素-γ(IFN-)和白细胞介素-10(IL-10)水平以及血清超氧化物歧化酶(SOD)和过氧化氢酶(CAT)活性。还进行了胎盘组织病理学检查。PE诱导的大鼠血清Apelin水平显著降低。此外,它们的血压、尿蛋白、sFlt-1、sEng和IFN-显著升高(平均动脉血压、尿蛋白、sFlt-1、sEng和IFN-与血清Apelin水平呈显著负相关),但VEGF、PLGF、IL-10、SOD和CAT显著降低(VEGF、PLGF、IL-10和SOD与血清Apelin水平呈显著正相关)。相比之下,外源性给予Apelin可显著改善这些参数,并改善补充Apelin的PE组的胎盘组织结构。本研究证明了给予Apelin对PE发病机制的保护作用。

https://cdn.ncbi.nlm.nih.gov/pmc/blobs/c0ae/8608536/9a7fd1960977/IJE2021-5017362.015.jpg
https://cdn.ncbi.nlm.nih.gov/pmc/blobs/c0ae/8608536/ea99a4e2bee0/IJE2021-5017362.001.jpg
https://cdn.ncbi.nlm.nih.gov/pmc/blobs/c0ae/8608536/3210ad61867e/IJE2021-5017362.002.jpg
https://cdn.ncbi.nlm.nih.gov/pmc/blobs/c0ae/8608536/01c366ecde9c/IJE2021-5017362.003.jpg
https://cdn.ncbi.nlm.nih.gov/pmc/blobs/c0ae/8608536/28a9dcdaef27/IJE2021-5017362.004.jpg
https://cdn.ncbi.nlm.nih.gov/pmc/blobs/c0ae/8608536/3317a0595f75/IJE2021-5017362.005.jpg
https://cdn.ncbi.nlm.nih.gov/pmc/blobs/c0ae/8608536/dee155adb3e6/IJE2021-5017362.006.jpg
https://cdn.ncbi.nlm.nih.gov/pmc/blobs/c0ae/8608536/0f9a57a9f633/IJE2021-5017362.007.jpg
https://cdn.ncbi.nlm.nih.gov/pmc/blobs/c0ae/8608536/d4855767f354/IJE2021-5017362.008.jpg
https://cdn.ncbi.nlm.nih.gov/pmc/blobs/c0ae/8608536/8071cb2e46bf/IJE2021-5017362.009.jpg
https://cdn.ncbi.nlm.nih.gov/pmc/blobs/c0ae/8608536/944ef4fb63e4/IJE2021-5017362.010.jpg
https://cdn.ncbi.nlm.nih.gov/pmc/blobs/c0ae/8608536/9db4252c9a3e/IJE2021-5017362.011.jpg
https://cdn.ncbi.nlm.nih.gov/pmc/blobs/c0ae/8608536/0f4426ece603/IJE2021-5017362.012.jpg
https://cdn.ncbi.nlm.nih.gov/pmc/blobs/c0ae/8608536/9fe0cda99d2a/IJE2021-5017362.013.jpg
https://cdn.ncbi.nlm.nih.gov/pmc/blobs/c0ae/8608536/4e0a394bc674/IJE2021-5017362.014.jpg
https://cdn.ncbi.nlm.nih.gov/pmc/blobs/c0ae/8608536/9a7fd1960977/IJE2021-5017362.015.jpg
https://cdn.ncbi.nlm.nih.gov/pmc/blobs/c0ae/8608536/ea99a4e2bee0/IJE2021-5017362.001.jpg
https://cdn.ncbi.nlm.nih.gov/pmc/blobs/c0ae/8608536/3210ad61867e/IJE2021-5017362.002.jpg
https://cdn.ncbi.nlm.nih.gov/pmc/blobs/c0ae/8608536/01c366ecde9c/IJE2021-5017362.003.jpg
https://cdn.ncbi.nlm.nih.gov/pmc/blobs/c0ae/8608536/28a9dcdaef27/IJE2021-5017362.004.jpg
https://cdn.ncbi.nlm.nih.gov/pmc/blobs/c0ae/8608536/3317a0595f75/IJE2021-5017362.005.jpg
https://cdn.ncbi.nlm.nih.gov/pmc/blobs/c0ae/8608536/dee155adb3e6/IJE2021-5017362.006.jpg
https://cdn.ncbi.nlm.nih.gov/pmc/blobs/c0ae/8608536/0f9a57a9f633/IJE2021-5017362.007.jpg
https://cdn.ncbi.nlm.nih.gov/pmc/blobs/c0ae/8608536/d4855767f354/IJE2021-5017362.008.jpg
https://cdn.ncbi.nlm.nih.gov/pmc/blobs/c0ae/8608536/8071cb2e46bf/IJE2021-5017362.009.jpg
https://cdn.ncbi.nlm.nih.gov/pmc/blobs/c0ae/8608536/944ef4fb63e4/IJE2021-5017362.010.jpg
https://cdn.ncbi.nlm.nih.gov/pmc/blobs/c0ae/8608536/9db4252c9a3e/IJE2021-5017362.011.jpg
https://cdn.ncbi.nlm.nih.gov/pmc/blobs/c0ae/8608536/0f4426ece603/IJE2021-5017362.012.jpg
https://cdn.ncbi.nlm.nih.gov/pmc/blobs/c0ae/8608536/9fe0cda99d2a/IJE2021-5017362.013.jpg
https://cdn.ncbi.nlm.nih.gov/pmc/blobs/c0ae/8608536/4e0a394bc674/IJE2021-5017362.014.jpg
https://cdn.ncbi.nlm.nih.gov/pmc/blobs/c0ae/8608536/9a7fd1960977/IJE2021-5017362.015.jpg

相似文献

1
Correlation between Apelin and Some Angiogenic Factors in the Pathogenesis of Preeclampsia: Apelin-13 as Novel Drug for Treating Preeclampsia and Its Physiological Effects on Placenta.子痫前期发病机制中Apelin与某些血管生成因子的相关性:Apelin-13作为治疗子痫前期的新药及其对胎盘的生理作用
Int J Endocrinol. 2021 Nov 15;2021:5017362. doi: 10.1155/2021/5017362. eCollection 2021.
2
[Different effects of pravastatin on sFlt-1, PlGF and VEGF in different preeclampsia-like mouse models].[普伐他汀对不同子痫前期样小鼠模型中可溶性血管内皮生长因子受体-1、胎盘生长因子和血管内皮生长因子的不同影响]
Zhonghua Fu Chan Ke Za Zhi. 2019 Sep 25;54(9):601-607. doi: 10.3760/cma.j.issn.0529-567x.2019.09.005.
3
Ameliorative effect of apelin-13 against renal complications in L-NAME-induced preeclampsia in rats.阿片肽-13对L-NAME诱导的大鼠子痫前期肾脏并发症的改善作用。
PeerJ. 2021 Mar 31;9:e11110. doi: 10.7717/peerj.11110. eCollection 2021.
4
The relationship between circulating tissue transglutaminase, soluble fms-like tyrosine kinase-1, soluble endoglin and vascular endothelial growth factor in pre-eclampsia.子痫前期患者循环组织转谷氨酰胺酶、可溶性fms样酪氨酸激酶-1、可溶性内皮糖蛋白与血管内皮生长因子之间的关系
J Hum Hypertens. 2016 Dec;30(12):788-793. doi: 10.1038/jhh.2016.32. Epub 2016 May 12.
5
The relationship between circulating endothelin-1, soluble fms-like tyrosine kinase-1 and soluble endoglin in preeclampsia.子痫前期患者循环内皮素-1、可溶性 fms 样酪氨酸激酶-1 与可溶性内皮糖蛋白的关系。
J Hum Hypertens. 2012 Apr;26(4):236-41. doi: 10.1038/jhh.2011.29. Epub 2011 Mar 31.
6
Placental productions and expressions of soluble endoglin, soluble fms-like tyrosine kinase receptor-1, and placental growth factor in normal and preeclamptic pregnancies.正常妊娠和子痫前期妊娠中可溶性内皮糖蛋白、可溶性fms样酪氨酸激酶受体-1以及胎盘生长因子的胎盘产生及表达
J Clin Endocrinol Metab. 2008 Jan;93(1):260-6. doi: 10.1210/jc.2007-1550. Epub 2007 Oct 23.
7
Contrasting effects of chronic hypoxia and nitric oxide synthase inhibition on circulating angiogenic factors in a rat model of growth restriction.慢性低氧和一氧化氮合酶抑制对生长受限大鼠模型中循环血管生成因子的对比作用。
Am J Obstet Gynecol. 2007 Jan;196(1):72.e1-6. doi: 10.1016/j.ajog.2006.07.048.
8
Correlation between soluble endoglin, vascular endothelial growth factor receptor-1, and adipocytokines in preeclampsia.子痫前期中可溶性内皮糖蛋白、血管内皮生长因子受体-1与脂肪细胞因子之间的相关性
J Clin Endocrinol Metab. 2007 Jul;92(7):2672-9. doi: 10.1210/jc.2006-2349. Epub 2007 Apr 10.
9
Simvastatin Alleviates Pathology in a Rat Model of Preeclampsia Involving ERK/MAPK Pathway.辛伐他汀减轻子痫前期大鼠模型中涉及ERK/MAPK通路的病理变化。
Reprod Sci. 2017 Jul;24(7):1053-1061. doi: 10.1177/1933719116678693. Epub 2016 Nov 16.
10
Levels of serum-circulating angiogenic factors within 1 week prior to delivery are closely related to conditions of pregnant women with pre-eclampsia, gestational hypertension, and/or fetal growth restriction.分娩前1周内血清循环血管生成因子水平与子痫前期、妊娠期高血压和(或)胎儿生长受限孕妇的情况密切相关。
J Obstet Gynaecol Res. 2017 Dec;43(12):1805-1814. doi: 10.1111/jog.13452. Epub 2017 Sep 20.

引用本文的文献

1
HIF-1α-mediated inhibition of the sFlt-1/sENG/TNF-α pathway promotes angiogenesis to ameliorate pre-eclampsia.缺氧诱导因子-1α介导的可溶性血管内皮生长因子受体-1/可溶性内皮抑素/肿瘤坏死因子-α通路抑制促进血管生成,改善子痫前期。
J Mol Histol. 2025 Sep 3;56(5):290. doi: 10.1007/s10735-025-10579-0.
2
A Comparison of Apelin Rs56204867 and Apelin Receptor Rs11544374 Gene Polymorphisms and Their Association with Risk of Preeclampsia in Southeast Iran.伊朗东南部阿片肽Rs56204867和阿片肽受体Rs11544374基因多态性的比较及其与子痫前期风险的关联
Rep Biochem Mol Biol. 2024 Jul;13(2):273-280. doi: 10.61186/rbmb.13.2.273.
3
Apelin-13 as a novel diagnostic laboratory biomarker in thromboembolic disorders: a review of literature with prospective insights.

本文引用的文献

1
Serum apelin and galectin-3 in preeclampsia in Iraq.血清 Apelin 和半乳糖凝集素-3 在伊拉克子痫前期中的作用。
Hypertens Pregnancy. 2020 Nov;39(4):379-386. doi: 10.1080/10641955.2020.1777300. Epub 2020 Jun 14.
2
The bioflavonoid quercetin improves pathophysiology in a rat model of preeclampsia.生物类黄酮槲皮素可改善子痫前期大鼠模型的病理生理学。
Biomed Pharmacother. 2020 Jul;127:110122. doi: 10.1016/j.biopha.2020.110122. Epub 2020 Apr 16.
3
The Protective Effects and Mechanisms of Apelin/APJ System on Ischemic Stroke: A Promising Therapeutic Target.
Apelin-13作为血栓栓塞性疾病的一种新型诊断实验室生物标志物:文献综述与前瞻性见解
Int J Emerg Med. 2024 Dec 19;17(1):190. doi: 10.1186/s12245-024-00774-3.
4
Decoding Apelin: Its Role in Metabolic Programming, Fetal Growth, and Gestational Complications.解读阿片肽:其在代谢编程、胎儿生长和妊娠并发症中的作用
Children (Basel). 2024 Oct 21;11(10):1270. doi: 10.3390/children11101270.
5
Coffee intake leads to preeclampsia-like syndromes in susceptible pregnant rats.咖啡摄入可导致易感孕鼠出现子痫前期样综合征。
J Nutr Sci. 2024 Sep 18;13:e34. doi: 10.1017/jns.2024.36. eCollection 2024.
6
Effects of apelin on neonatal brain neurogenesis in L-NAME-induced maternal preeclampsia.血管紧张素原诱导的子痫前期对新生鼠脑神经发生的影响。
Sci Rep. 2024 Aug 20;14(1):19347. doi: 10.1038/s41598-024-69326-2.
7
Targeting the apelin system for the treatment of cardiovascular diseases.针对阿片肽系统治疗心血管疾病。
Cardiovasc Res. 2023 Dec 30;119(17):2683-2696. doi: 10.1093/cvr/cvad171.
8
Is There a Correlation between Apelin and Insulin Concentrations in Early Second Trimester Amniotic Fluid with Fetal Growth Disorders?孕中期早期羊水阿片肽与胰岛素浓度和胎儿生长发育异常之间是否存在相关性?
J Clin Med. 2023 Apr 28;12(9):3166. doi: 10.3390/jcm12093166.
9
The Apelinergic System in Pregnancy.妊娠中的 Apelin 能系统。
Int J Mol Sci. 2023 Apr 28;24(9):8014. doi: 10.3390/ijms24098014.
10
The Yin and Yang Effect of the Apelinergic System in Oxidative Stress.阿片肽系统在氧化应激中的阴阳效应。
Int J Mol Sci. 2023 Mar 1;24(5):4745. doi: 10.3390/ijms24054745.
Apelin/APJ系统对缺血性脑卒中的保护作用及机制:一个有前景的治疗靶点
Front Neurol. 2020 Mar 3;11:75. doi: 10.3389/fneur.2020.00075. eCollection 2020.
4
The Role of NFκB in Healthy and Preeclamptic Placenta: Trophoblasts in the Spotlight.NFκB 在健康和子痫前期胎盘中的作用:滋养细胞成为焦点。
Int J Mol Sci. 2020 Mar 5;21(5):1775. doi: 10.3390/ijms21051775.
5
Inflammasomes-A Molecular Link for Altered Immunoregulation and Inflammation Mediated Vascular Dysfunction in Preeclampsia.炎性小体——子痫前期免疫调节改变与炎症介导的血管功能障碍之间的分子联系
Int J Mol Sci. 2020 Feb 19;21(4):1406. doi: 10.3390/ijms21041406.
6
Cross-Talk between Oxidative Stress and Inflammation in Preeclampsia.子痫前期中氧化应激与炎症的相互作用。
Oxid Med Cell Longev. 2019 Nov 4;2019:8238727. doi: 10.1155/2019/8238727. eCollection 2019.
7
Evaluation of serum apelin-13 and apelin-36 concentrations in preeclamptic pregnancies.子痫前期孕妇血清apelin-13和apelin-36浓度的评估。
J Obstet Gynaecol Res. 2020 Jan;46(1):58-65. doi: 10.1111/jog.14137. Epub 2019 Oct 8.
8
Involvement of Novel Adipokines, Chemerin, Visfatin, Resistin and Apelin in Reproductive Functions in Normal and Pathological Conditions in Humans and Animal Models.新型脂肪因子 chemerin、visfatin、resistin 和 apelin 在人类和动物模型正常和病理条件下生殖功能中的作用。
Int J Mol Sci. 2019 Sep 9;20(18):4431. doi: 10.3390/ijms20184431.
9
The two-stage placental model of preeclampsia: An update.子痫前期的两阶段胎盘模型:更新。
J Reprod Immunol. 2019 Sep;134-135:1-10. doi: 10.1016/j.jri.2019.07.004. Epub 2019 Jul 8.
10
Systemic Outcomes of (Pyr)-Apelin-13 Infusion at Mid-Late Pregnancy in a Rat Model with Preeclamptic Features.(Pyr)-Apelin-13 在具有子痫前期特征的大鼠模型中妊娠中晚期输注的全身结局。
Sci Rep. 2019 Jun 12;9(1):8579. doi: 10.1038/s41598-019-44971-0.