• 文献检索
  • 文档翻译
  • 深度研究
  • 学术资讯
  • Suppr Zotero 插件Zotero 插件
  • 邀请有礼
  • 套餐&价格
  • 历史记录
应用&插件
Suppr Zotero 插件Zotero 插件浏览器插件Mac 客户端Windows 客户端微信小程序
定价
高级版会员购买积分包购买API积分包
服务
文献检索文档翻译深度研究API 文档MCP 服务
关于我们
关于 Suppr公司介绍联系我们用户协议隐私条款
关注我们

Suppr 超能文献

核心技术专利:CN118964589B侵权必究
粤ICP备2023148730 号-1Suppr @ 2026

文献检索

告别复杂PubMed语法,用中文像聊天一样搜索,搜遍4000万医学文献。AI智能推荐,让科研检索更轻松。

立即免费搜索

文件翻译

保留排版,准确专业,支持PDF/Word/PPT等文件格式,支持 12+语言互译。

免费翻译文档

深度研究

AI帮你快速写综述,25分钟生成高质量综述,智能提取关键信息,辅助科研写作。

立即免费体验

基质金属蛋白酶和组织金属蛋白酶抑制剂调节对冠状动脉粥样硬化及相关心肌纤维化的不同影响。

Disparate effects of MMP and TIMP modulation on coronary atherosclerosis and associated myocardial fibrosis.

机构信息

Laboratory of Cardiovascular Pathology, Translational Health Sciences, Bristol Medical School, Faculty of Health Sciences, University of Bristol, Level 7, Bristol Royal Infirmary, Bristol, BS2 8HW, England, UK.

出版信息

Sci Rep. 2021 Nov 30;11(1):23081. doi: 10.1038/s41598-021-02508-4.

DOI:10.1038/s41598-021-02508-4
PMID:34848763
原文链接:https://pmc.ncbi.nlm.nih.gov/articles/PMC8632906/
Abstract

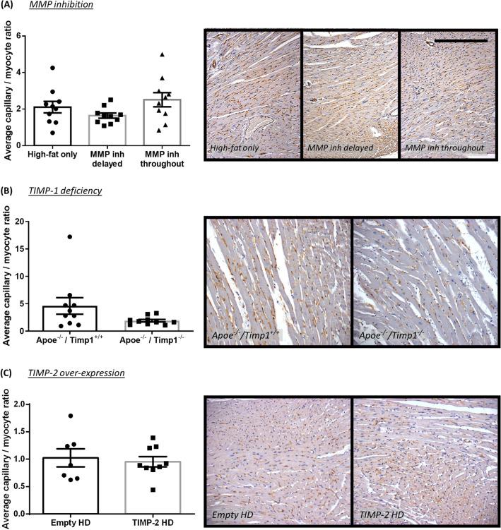
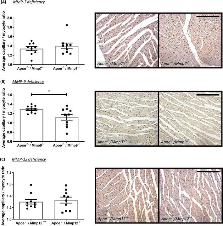
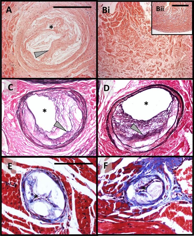
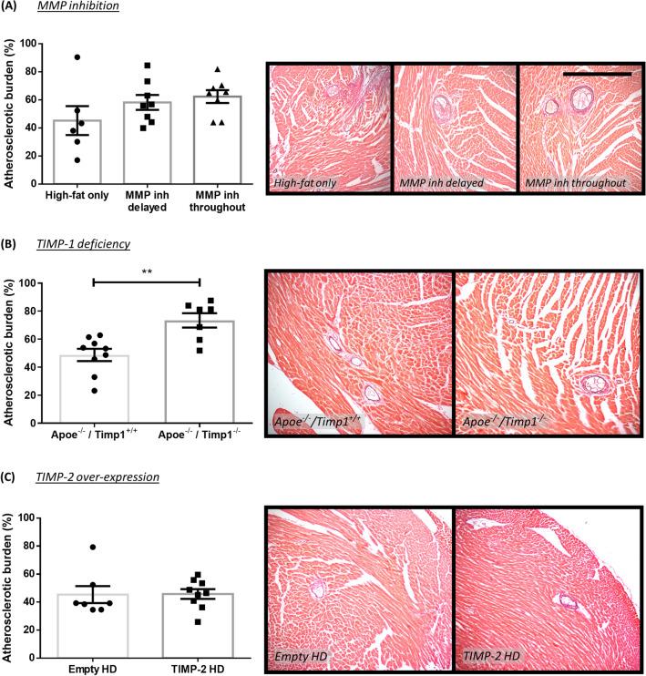
Matrix metalloproteinase (MMP) activity is tightly regulated by the endogenous tissue inhibitors (TIMPs), and dysregulated activity contributes to extracellular matrix remodelling. Accordingly, MMP/TIMP balance is associated with atherosclerotic plaque progression and instability, alongside adverse post-infarction cardiac fibrosis and subsequent heart failure. Here, we demonstrate that prolonged high-fat feeding of apolipoprotein (Apo)e-deficient mice triggered the development of unstable coronary artery atherosclerosis alongside evidence of myocardial infarction and progressive sudden death. Accordingly, the contribution of select MMPs and TIMPs to the progression of both interrelated pathologies was examined in Apoe-deficient mice with concomitant deletion of Mmp7, Mmp9, Mmp12, or Timp1 and relevant wild-type controls after 36-weeks high-fat feeding. Mmp7 deficiency increased incidence of sudden death, while Mmp12 deficiency promoted survival, whereas Mmp9 or Timp1 deficiency had no effect. While all mice harboured coronary disease, atherosclerotic burden was reduced in Mmp7-deficient and Mmp12-deficient mice and increased in Timp1-deficient animals, compared to relevant controls. Significant differences in cardiac fibrosis were only observed in Mmp-7-deficient mice and Timp1-deficient animals, which was associated with reduced capillary number. Adopting therapeutic strategies in Apoe-deficient mice, TIMP-2 adenoviral-overexpression or administration (delayed or throughout) of a non-selective MMP inhibitor (RS-130830) had no effect on coronary atherosclerotic burden or cardiac fibrosis. Taken together, our findings emphasise the divergent roles of MMPs on coronary plaque progression and associated post-MI cardiac fibrosis, highlighting the need for selective therapeutic approaches to target unstable atherosclerosis alongside adverse cardiac remodelling while negating detrimental adverse effects on either pathology, with targeting of MMP-12 seeming a suitable target.

摘要

基质金属蛋白酶(MMP)的活性受到内源性组织抑制剂(TIMPs)的严格调节,而活性失调会导致细胞外基质重塑。因此,MMP/TIMP 平衡与动脉粥样硬化斑块的进展和不稳定性有关,以及梗死后心脏纤维化和随后心力衰竭的不良后果。在这里,我们证明了长时间高脂肪喂养载脂蛋白(Apo)E 缺陷小鼠会引发不稳定的冠状动脉粥样硬化,同时伴有心肌梗死和进行性猝死的证据。因此,在 36 周高脂肪喂养后,通过同时缺失 Mmp7、Mmp9、Mmp12 或 Timp1 以及相关的野生型对照,研究了 MMP 和 TIMP 对这两种相关疾病进展的选择作用。Mmp7 缺失增加了猝死的发生率,而 Mmp12 缺失促进了生存,而 Mmp9 或 Timp1 缺失则没有影响。虽然所有小鼠都存在冠状动脉疾病,但与相关对照相比,Mmp7 缺陷和 Mmp12 缺陷小鼠的动脉粥样硬化负担减少,而 Timp1 缺陷动物的动脉粥样硬化负担增加。只有在 Mmp-7 缺陷和 Timp1 缺陷动物中观察到心脏纤维化有显著差异,这与毛细血管数量减少有关。在 Apoe 缺陷小鼠中采用治疗策略,TIMP-2 腺病毒过表达或非选择性 MMP 抑制剂(RS-130830)的给药(延迟或贯穿)对冠状动脉粥样硬化负担或心脏纤维化没有影响。总之,我们的研究结果强调了 MMP 在冠状动脉斑块进展和相关梗死后心脏纤维化中的不同作用,突出了需要针对不稳定的动脉粥样硬化以及不良的心脏重塑采取有针对性的治疗方法,同时消除对任何一种病理的不利的不良影响,针对 MMP-12 似乎是一个合适的靶点。

https://cdn.ncbi.nlm.nih.gov/pmc/blobs/6cce/8632906/d02a9f55e8aa/41598_2021_2508_Fig8_HTML.jpg
https://cdn.ncbi.nlm.nih.gov/pmc/blobs/6cce/8632906/394b05baffe4/41598_2021_2508_Fig1_HTML.jpg
https://cdn.ncbi.nlm.nih.gov/pmc/blobs/6cce/8632906/5b814b2094e2/41598_2021_2508_Fig2_HTML.jpg
https://cdn.ncbi.nlm.nih.gov/pmc/blobs/6cce/8632906/93a1f09986a1/41598_2021_2508_Fig3_HTML.jpg
https://cdn.ncbi.nlm.nih.gov/pmc/blobs/6cce/8632906/84de68a321a2/41598_2021_2508_Fig4_HTML.jpg
https://cdn.ncbi.nlm.nih.gov/pmc/blobs/6cce/8632906/d8b9295b808c/41598_2021_2508_Fig5_HTML.jpg
https://cdn.ncbi.nlm.nih.gov/pmc/blobs/6cce/8632906/d55f57d92df2/41598_2021_2508_Fig6_HTML.jpg
https://cdn.ncbi.nlm.nih.gov/pmc/blobs/6cce/8632906/d4512e8c341c/41598_2021_2508_Fig7_HTML.jpg
https://cdn.ncbi.nlm.nih.gov/pmc/blobs/6cce/8632906/d02a9f55e8aa/41598_2021_2508_Fig8_HTML.jpg
https://cdn.ncbi.nlm.nih.gov/pmc/blobs/6cce/8632906/394b05baffe4/41598_2021_2508_Fig1_HTML.jpg
https://cdn.ncbi.nlm.nih.gov/pmc/blobs/6cce/8632906/5b814b2094e2/41598_2021_2508_Fig2_HTML.jpg
https://cdn.ncbi.nlm.nih.gov/pmc/blobs/6cce/8632906/93a1f09986a1/41598_2021_2508_Fig3_HTML.jpg
https://cdn.ncbi.nlm.nih.gov/pmc/blobs/6cce/8632906/84de68a321a2/41598_2021_2508_Fig4_HTML.jpg
https://cdn.ncbi.nlm.nih.gov/pmc/blobs/6cce/8632906/d8b9295b808c/41598_2021_2508_Fig5_HTML.jpg
https://cdn.ncbi.nlm.nih.gov/pmc/blobs/6cce/8632906/d55f57d92df2/41598_2021_2508_Fig6_HTML.jpg
https://cdn.ncbi.nlm.nih.gov/pmc/blobs/6cce/8632906/d4512e8c341c/41598_2021_2508_Fig7_HTML.jpg
https://cdn.ncbi.nlm.nih.gov/pmc/blobs/6cce/8632906/d02a9f55e8aa/41598_2021_2508_Fig8_HTML.jpg

相似文献

1
Disparate effects of MMP and TIMP modulation on coronary atherosclerosis and associated myocardial fibrosis.基质金属蛋白酶和组织金属蛋白酶抑制剂调节对冠状动脉粥样硬化及相关心肌纤维化的不同影响。
Sci Rep. 2021 Nov 30;11(1):23081. doi: 10.1038/s41598-021-02508-4.
2
Accelerated LV remodeling after myocardial infarction in TIMP-1-deficient mice: effects of exogenous MMP inhibition.基质金属蛋白酶组织抑制因子-1缺陷小鼠心肌梗死后的快速左心室重构:外源性基质金属蛋白酶抑制的作用
Am J Physiol Heart Circ Physiol. 2005 Jan;288(1):H149-58. doi: 10.1152/ajpheart.00370.2004.
3
Differential effects of tissue inhibitor of metalloproteinase (TIMP)-1 and TIMP-2 on atherosclerosis and monocyte/macrophage invasion.金属蛋白酶组织抑制剂(TIMP)-1和TIMP-2对动脉粥样硬化及单核细胞/巨噬细胞浸润的不同作用
Cardiovasc Res. 2016 Feb 1;109(2):318-30. doi: 10.1093/cvr/cvv268. Epub 2015 Dec 8.
4
Granulocytes in coronary thrombus evolution after myocardial infarction--time-dependent changes in expression of matrix metalloproteinases.心肌梗死后冠状动脉血栓形成过程中的粒细胞——基质金属蛋白酶表达的时间依赖性变化
Cardiovasc Pathol. 2016 Jan-Feb;25(1):40-6. doi: 10.1016/j.carpath.2015.09.007. Epub 2015 Oct 18.
5
Expression of matrix metalloproteinases and tissue inhibitors of metalloproteinases in human optic nerve head astrocytes.基质金属蛋白酶及其组织抑制剂在人视神经乳头星形胶质细胞中的表达
Glia. 2001 Mar 1;33(3):205-16. doi: 10.1002/1098-1136(200103)33:3<205::aid-glia1019>3.0.co;2-d.
6
Possible mechanism by which renal sympathetic denervation improves left ventricular remodelling after myocardial infarction.肾交感神经去神经支配改善心肌梗死后左心室重构的可能机制。
Exp Physiol. 2016 Feb;101(2):260-71. doi: 10.1113/EP085302. Epub 2015 Dec 16.
7
Multiple-polymorphism associations of 7 matrix metalloproteinase and tissue inhibitor metalloproteinase genes with myocardial infarction and angiographic coronary artery disease.7种基质金属蛋白酶和金属蛋白酶组织抑制剂基因的多态性与心肌梗死及血管造影冠心病的关联
Am Heart J. 2007 Oct;154(4):751-8. doi: 10.1016/j.ahj.2007.06.030.
8
Discordant activation of gene promoters for matrix metalloproteinases and tissue inhibitors of the metalloproteinases following myocardial infarction.心肌梗死后基质金属蛋白酶及其组织抑制剂基因启动子的失调激活。
J Surg Res. 2012 Jan;172(1):59-67. doi: 10.1016/j.jss.2010.06.015. Epub 2010 Jul 2.
9
Effect of matrix metalloproteinase and their inhibitors on atrial myocardial structural remodeling.基质金属蛋白酶及其抑制剂对心房心肌结构重构的影响。
J Cardiovasc Med (Hagerstown). 2013 Apr;14(4):265-9. doi: 10.2459/JCM.0b013e328354e458.
10
ADAMTS-7 Modulates Atherosclerotic Plaque Formation by Degradation of TIMP-1.ADAMTS-7 通过降解 TIMP-1 调节动脉粥样硬化斑块的形成。
Circ Res. 2023 Sep 29;133(8):674-686. doi: 10.1161/CIRCRESAHA.123.322737. Epub 2023 Sep 7.

引用本文的文献

1
Cationic microbubble loading hSIRT3 and hTIMP3 optimize cardiac-targeted delivery and myocardial protection in the porcine MI/R model.负载hSIRT3和hTIMP3的阳离子微泡优化了猪心肌梗死/再灌注模型中的心脏靶向递送和心肌保护作用。
Mater Today Bio. 2025 Aug 22;34:102234. doi: 10.1016/j.mtbio.2025.102234. eCollection 2025 Oct.
2
rs17576 polymorphism of matrix metalloproteinase-9 in predicting coronary artery disease severity and its adverse outcome.基质金属蛋白酶-9的rs17576多态性在预测冠状动脉疾病严重程度及其不良结局中的作用
ARYA Atheroscler. 2025;21(3):16-27. doi: 10.48305/arya.2025.43384.3019.
3
Galectin-1 in Cardiovascular Pathogenesis: Unraveling Dual Roles and Mechanistic Insights in Emerging Research.

本文引用的文献

1
Reperfused vs. nonreperfused myocardial infarction: when to use which model.再灌注与非再灌注心肌梗死:何时使用哪种模型。
Am J Physiol Heart Circ Physiol. 2021 Jul 1;321(1):H208-H213. doi: 10.1152/ajpheart.00234.2021. Epub 2021 Jun 11.
2
MMP9 inhibition increases autophagic flux in chronic heart failure.MMP9 抑制可增加慢性心力衰竭中的自噬通量。
Am J Physiol Heart Circ Physiol. 2020 Dec 1;319(6):H1414-H1437. doi: 10.1152/ajpheart.00032.2020. Epub 2020 Oct 16.
3
Matrix metalloproteinase-7 in platelet-activated macrophages accounts for cardiac remodeling in uremic mice.
半乳糖凝集素-1在心血管发病机制中的作用:新兴研究中双重作用及机制的解析
Medicina (Kaunas). 2025 May 30;61(6):1020. doi: 10.3390/medicina61061020.
4
Genetic variants in the development of autoimmune complaints and capsular contracture in women with breast implants: A systematic review.乳房植入女性自身免疫性疾病和包膜挛缩发生中的基因变异:一项系统综述。
JPRAS Open. 2025 Apr 15;44:529-541. doi: 10.1016/j.jpra.2025.04.007. eCollection 2025 Jun.
5
Correlation between dyslipidaemia and gastric cancer: pathogenesis to prevention and treatment strategies.血脂异常与胃癌之间的关联:从发病机制到预防及治疗策略
Lipids Health Dis. 2025 Jun 7;24(1):204. doi: 10.1186/s12944-025-02625-3.
6
Antiatherogenic and plaque stabilizing effects of saffron ethanolic extract in atherosclerotic rabbits.藏红花乙醇提取物对动脉粥样硬化兔的抗动脉粥样硬化和斑块稳定作用。
BMC Complement Med Ther. 2025 May 23;25(1):187. doi: 10.1186/s12906-025-04927-6.
7
Matrix Metalloproteinases: Pathophysiologic Implications and Potential Therapeutic Targets in Cardiovascular Disease.基质金属蛋白酶:心血管疾病中的病理生理意义及潜在治疗靶点
Biomolecules. 2025 Apr 17;15(4):598. doi: 10.3390/biom15040598.
8
Mass spectrometry reveals age-dependent collagen decline in murine atria.质谱分析揭示了小鼠心房中胶原蛋白随年龄增长而减少的情况。
Ann N Y Acad Sci. 2025 Jun;1548(1):206-217. doi: 10.1111/nyas.15341. Epub 2025 Apr 28.
9
Cardiac Fibrosis in the Multi-Omics Era: Implications for Heart Failure.多组学时代的心脏纤维化:对心力衰竭的影响
Circ Res. 2025 Mar 28;136(7):773-802. doi: 10.1161/CIRCRESAHA.124.325402. Epub 2025 Mar 27.
10
Vascular Extracellular Matrix in Atherosclerosis.血管细胞外基质在动脉粥样硬化中的作用
Int J Mol Sci. 2024 Nov 8;25(22):12017. doi: 10.3390/ijms252212017.
血小板激活的巨噬细胞中的基质金属蛋白酶-7导致尿毒症小鼠的心脏重构。
Basic Res Cardiol. 2020 Apr 9;115(3):30. doi: 10.1007/s00395-020-0789-z.
4
The compendium of matrix metalloproteinase expression in the left ventricle of mice following myocardial infarction.心肌梗死后小鼠左心室基质金属蛋白酶表达纲要。
Am J Physiol Heart Circ Physiol. 2020 Mar 1;318(3):H706-H714. doi: 10.1152/ajpheart.00679.2019. Epub 2020 Feb 21.
5
Matrix metalloproteinase-12 produced by Ly6C macrophages prolongs the survival after myocardial infarction by preventing neutrophil influx.Ly6C 巨噬细胞产生的基质金属蛋白酶-12 通过防止中性粒细胞浸润延长心肌梗死后的存活时间。
J Mol Cell Cardiol. 2019 Jun;131:41-52. doi: 10.1016/j.yjmcc.2019.04.007. Epub 2019 Apr 19.
6
Combination of Plasma Biomarkers and Clinical Data for the Detection of Myocardial Fibrosis or Aggravation of Heart Failure Symptoms in Heart Failure with Preserved Ejection Fraction Patients.血浆生物标志物与临床数据相结合用于检测射血分数保留的心力衰竭患者的心肌纤维化或心力衰竭症状加重
J Clin Med. 2018 Nov 8;7(11):427. doi: 10.3390/jcm7110427.
7
Inflammation, Autophagy, and Apoptosis After Myocardial Infarction.心肌梗死后的炎症、自噬和细胞凋亡。
J Am Heart Assoc. 2018 Apr 21;7(9):e008024. doi: 10.1161/JAHA.117.008024.
8
Metalloproteinases in atherosclerosis.动脉粥样硬化中的金属蛋白酶。
Eur J Pharmacol. 2017 Dec 5;816:93-106. doi: 10.1016/j.ejphar.2017.09.007. Epub 2017 Sep 9.
9
Matrix Metalloproteinases in Myocardial Infarction and Heart Failure.心肌梗死与心力衰竭中的基质金属蛋白酶
Prog Mol Biol Transl Sci. 2017;147:75-100. doi: 10.1016/bs.pmbts.2017.02.001. Epub 2017 Mar 18.
10
MMP-9 signaling in the left ventricle following myocardial infarction.心肌梗死后左心室中的 MMP-9 信号转导。
Am J Physiol Heart Circ Physiol. 2016 Jul 1;311(1):H190-8. doi: 10.1152/ajpheart.00243.2016. Epub 2016 May 20.