• 文献检索
  • 文档翻译
  • 深度研究
  • 学术资讯
  • Suppr Zotero 插件Zotero 插件
  • 邀请有礼
  • 套餐&价格
  • 历史记录
应用&插件
Suppr Zotero 插件Zotero 插件浏览器插件Mac 客户端Windows 客户端微信小程序
定价
高级版会员购买积分包购买API积分包
服务
文献检索文档翻译深度研究API 文档MCP 服务
关于我们
关于 Suppr公司介绍联系我们用户协议隐私条款
关注我们

Suppr 超能文献

核心技术专利:CN118964589B侵权必究
粤ICP备2023148730 号-1Suppr @ 2026

文献检索

告别复杂PubMed语法,用中文像聊天一样搜索,搜遍4000万医学文献。AI智能推荐,让科研检索更轻松。

立即免费搜索

文件翻译

保留排版,准确专业,支持PDF/Word/PPT等文件格式,支持 12+语言互译。

免费翻译文档

深度研究

AI帮你快速写综述,25分钟生成高质量综述,智能提取关键信息,辅助科研写作。

立即免费体验

脑出血小鼠继发性肺部感染的动态过程。

Dynamic Process of Secondary Pulmonary Infection in Mice With Intracerebral Hemorrhage.

机构信息

College of Chinese Materia Medica, Tianjin University of Traditional Chinese Medicine, Tianjin, China.

Tianjin State Key Laboratory of Modern Chinese Medicine, Tianjin University of Traditional Chinese Medicine, Tianjin, China.

出版信息

Front Immunol. 2021 Nov 19;12:767155. doi: 10.3389/fimmu.2021.767155. eCollection 2021.

DOI:10.3389/fimmu.2021.767155
PMID:34868020
原文链接:https://pmc.ncbi.nlm.nih.gov/articles/PMC8639885/
Abstract

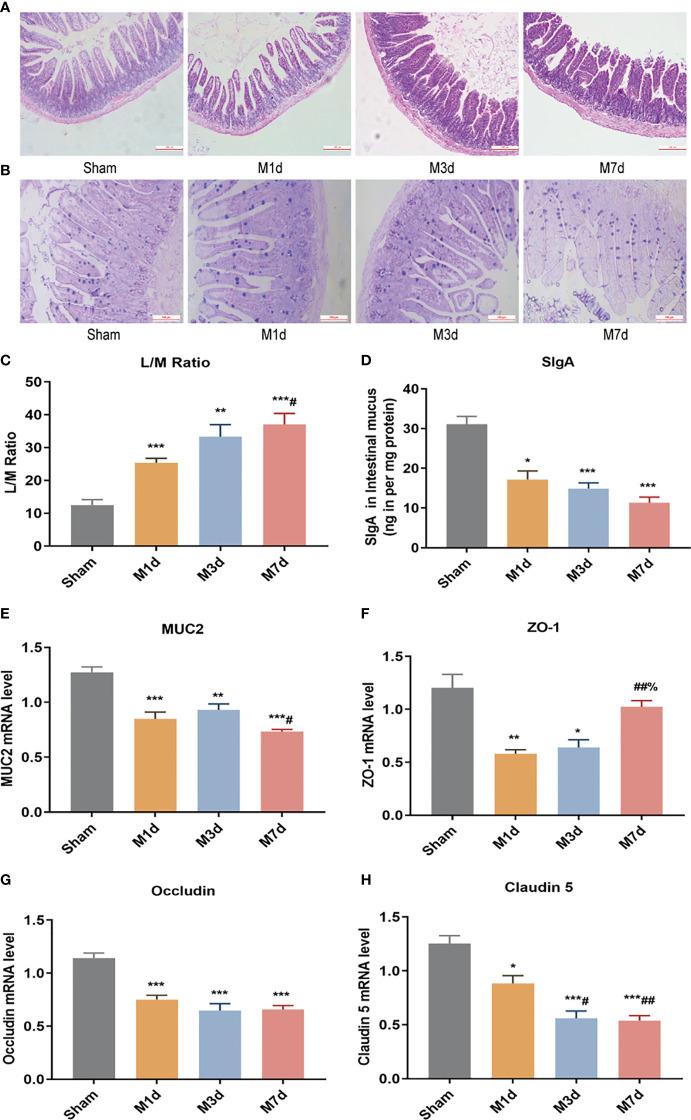
Stroke is a common central nervous system disease in clinical practice. Stroke patients often have infectious complications, such as pneumonia and infections of the urinary tract and gastrointestinal tract. Although it has been shown that translocation of the host gut microbiota to the lungs and immune dysfunction plays a vital role in the development of infection after ischemic stroke, the occurrence and mechanism of pulmonary infection at different time points after hemorrhagic cerebral remain unclear. In this study, the changes in the immune system and intestinal barrier function in mice during disease development were investigated at 1 day (M 1 d), 3 days (M 3 d) and 7 days (M 7 d) following hemorrhagic stroke to clarify the mechanism of secondary pulmonary infection. The experimental results revealed that after hemorrhagic stroke, model mice showed increased brain damage from day 1 to 3, followed by a trend of brain recovery from day 3 to 7 . After hemorrhagic stroke, the immune system was disturbed in model mice. Significant immunosuppression of the peripheral immune system was observed in the M 3 d group but improved in the M 7 d group. Staining of lung tissues with hematoxylin and eosin (H&E) and for inflammatory factors revealed considerable disease and immune disorders in the M 7 d group. Stroke seriously impaired intestinal barrier function in mice and significantly changed the small intestine structure. From 1 to 7 d after stroke, intestinal permeability was increased, whereas the levels of markers for intestinal tight junctions, mucus and immunoglobulin A were decreased. Analysis based on 16S rRNA suggested that the microflora in the lung and ileum was significantly altered after stroke. The composition of microflora in lung and ileum tissue was similar in the M 7d group, suggesting that intestinal bacteria had migrated to lung tissue and caused lung infection at this time point after hemorrhagic stroke. In stroke mice, the aggravation of intestinal barrier dysfunction and immune disorders after intracerebral hemorrhage, promoted the migration of enteric bacteria, and increased the risk of pneumonia poststroke. Our findings reveal the dynamic process of infection after hemorrhagic stroke and provide clues for the optimal timing of intervention for secondary pulmonary infection in stroke patients.

摘要

中风是临床实践中常见的中枢神经系统疾病。中风患者常发生感染性并发症,如肺炎和尿路感染、胃肠道感染。尽管已经表明,宿主肠道微生物群易位到肺部和免疫功能障碍在缺血性中风后感染的发展中起着至关重要的作用,但出血性脑卒后不同时间点肺部感染的发生和机制仍不清楚。在这项研究中,在出血性中风后 1 天(M1d)、3 天(M3d)和 7 天(M7d),研究了疾病发展过程中老鼠免疫系统和肠道屏障功能的变化,以阐明继发性肺部感染的机制。实验结果表明,出血性中风后,模型鼠从第 1 天到第 3 天大脑损伤增加,然后从第 3 天到第 7 天大脑恢复。出血性中风后,模型鼠的免疫系统受到干扰。在 M3d 组观察到外周免疫系统明显免疫抑制,但在 M7d 组得到改善。用苏木精和伊红(H&E)对肺组织进行染色和对炎症因子进行染色,发现 M7d 组疾病和免疫紊乱相当严重。中风严重损害了小鼠的肠道屏障功能,显著改变了小肠结构。中风后 1 至 7 天,肠通透性增加,而肠道紧密连接、粘液和免疫球蛋白 A 的标志物水平降低。基于 16S rRNA 的分析表明,中风后肺部和回肠的微生物群发生了显著变化。M7d 组肺部和回肠组织的微生物群组成相似,提示此时出血性中风后肠道细菌已迁移至肺组织并引起肺部感染。在中风小鼠中,脑出血后肠道屏障功能障碍和免疫紊乱的加重,促进了肠道细菌的迁移,增加了中风后肺炎的风险。我们的发现揭示了出血性中风后感染的动态过程,并为中风患者继发性肺部感染的最佳干预时机提供了线索。

https://cdn.ncbi.nlm.nih.gov/pmc/blobs/c0c4/8639885/218e4293d6e4/fimmu-12-767155-g006.jpg
https://cdn.ncbi.nlm.nih.gov/pmc/blobs/c0c4/8639885/a2151e20eedb/fimmu-12-767155-g001.jpg
https://cdn.ncbi.nlm.nih.gov/pmc/blobs/c0c4/8639885/17b3e2a24c04/fimmu-12-767155-g002.jpg
https://cdn.ncbi.nlm.nih.gov/pmc/blobs/c0c4/8639885/2efc9f61c873/fimmu-12-767155-g003.jpg
https://cdn.ncbi.nlm.nih.gov/pmc/blobs/c0c4/8639885/c5ea840f1252/fimmu-12-767155-g004.jpg
https://cdn.ncbi.nlm.nih.gov/pmc/blobs/c0c4/8639885/85aab079abab/fimmu-12-767155-g005.jpg
https://cdn.ncbi.nlm.nih.gov/pmc/blobs/c0c4/8639885/218e4293d6e4/fimmu-12-767155-g006.jpg
https://cdn.ncbi.nlm.nih.gov/pmc/blobs/c0c4/8639885/a2151e20eedb/fimmu-12-767155-g001.jpg
https://cdn.ncbi.nlm.nih.gov/pmc/blobs/c0c4/8639885/17b3e2a24c04/fimmu-12-767155-g002.jpg
https://cdn.ncbi.nlm.nih.gov/pmc/blobs/c0c4/8639885/2efc9f61c873/fimmu-12-767155-g003.jpg
https://cdn.ncbi.nlm.nih.gov/pmc/blobs/c0c4/8639885/c5ea840f1252/fimmu-12-767155-g004.jpg
https://cdn.ncbi.nlm.nih.gov/pmc/blobs/c0c4/8639885/85aab079abab/fimmu-12-767155-g005.jpg
https://cdn.ncbi.nlm.nih.gov/pmc/blobs/c0c4/8639885/218e4293d6e4/fimmu-12-767155-g006.jpg

相似文献

1
Dynamic Process of Secondary Pulmonary Infection in Mice With Intracerebral Hemorrhage.脑出血小鼠继发性肺部感染的动态过程。
Front Immunol. 2021 Nov 19;12:767155. doi: 10.3389/fimmu.2021.767155. eCollection 2021.
2
Translocation and dissemination of commensal bacteria in post-stroke infection.脑卒中后感染中共生菌的易位和传播。
Nat Med. 2016 Nov;22(11):1277-1284. doi: 10.1038/nm.4194. Epub 2016 Oct 3.
3
Effect of feeding Chinese herb medicine ageratum-liquid on intestinal bacterial translocations induced by H9N2 AIV in mice.中药合剂贯叶连翘对 H9N2 AIV 诱导的小鼠肠道细菌易位的影响。
Virol J. 2019 Feb 21;16(1):24. doi: 10.1186/s12985-019-1131-y.
4
Dysbiosis of Gut Microbiota and Intestinal Barrier Dysfunction in Pigs with Pulmonary Inflammation Induced by Mycoplasma hyorhinis Infection.猪肺炎支原体感染引起肺部炎症时肠道微生物失调和肠道屏障功能障碍。
mSystems. 2022 Aug 30;7(4):e0028222. doi: 10.1128/msystems.00282-22. Epub 2022 Jun 14.
5
Comprehensive assessment of HF-rTMS treatment mechanism for post-stroke dysphagia in rats by integration of fecal metabolomics and 16S rRNA sequencing.通过整合粪便代谢组学和 16S rRNA 测序对卒中后吞咽障碍大鼠 HF-rTMS 治疗机制的综合评估。
Front Cell Infect Microbiol. 2024 Apr 15;14:1373737. doi: 10.3389/fcimb.2024.1373737. eCollection 2024.
6
Activated Drp1-mediated mitochondrial ROS influence the gut microbiome and intestinal barrier after hemorrhagic shock.激活的 Drp1 介导线粒体 ROS 影响出血性休克后的肠道微生物组和肠道屏障。
Aging (Albany NY). 2020 Jan 18;12(2):1397-1416. doi: 10.18632/aging.102690.
7
Influences of enteral nutrition combined with probiotics on gut microflora and barrier function of rats with abdominal infection.肠内营养联合益生菌对腹部感染大鼠肠道菌群及屏障功能的影响
World J Gastroenterol. 2006 Jul 21;12(27):4352-8. doi: 10.3748/wjg.v12.i27.4352.
8
Mammary tumors alter the fecal bacteriome and permit enteric bacterial translocation.乳腺肿瘤改变粪便细菌组,并允许肠道细菌易位。
BMC Cancer. 2022 Mar 5;22(1):245. doi: 10.1186/s12885-022-09274-0.
9
Evaluation of intestinal injury, inflammatory response and oxidative stress following intracerebral hemorrhage in mice.评价脑溢血后小鼠的肠道损伤、炎症反应和氧化应激。
Int J Mol Med. 2018 Oct;42(4):2120-2128. doi: 10.3892/ijmm.2018.3755. Epub 2018 Jul 4.
10
Signals from intestinal microbiota mediate the crosstalk between the lung-gut axis in an influenza infection mouse model.在流感感染小鼠模型中,来自肠道微生物群的信号介导了肺-肠轴之间的串扰。
Front Immunol. 2024 Jul 23;15:1435180. doi: 10.3389/fimmu.2024.1435180. eCollection 2024.

引用本文的文献

1
Procalcitonin and biomarkers for stroke-associated pneumonia: a systematic review and meta-analysis.降钙素原及卒中相关性肺炎生物标志物:一项系统评价与荟萃分析
BMC Pulm Med. 2025 Jun 9;25(1):286. doi: 10.1186/s12890-025-03750-6.
2
Dynamic changes and metabolic function of intestinal flora in patients with postoperative pneumonia after lung cancer surgery.肺癌手术后发生术后肺炎患者肠道菌群的动态变化及代谢功能
PLoS One. 2025 Apr 1;20(4):e0321016. doi: 10.1371/journal.pone.0321016. eCollection 2025.
3
Rat models of postintracerebral hemorrhage pneumonia induced by nasal inoculation with or intratracheal inoculation with LPS.

本文引用的文献

1
Clinical and Microbiological Analysis of Hospital-Acquired Pneumonia Among Patients With Ischemic Stroke: A Retrospective Outlook.缺血性中风患者医院获得性肺炎的临床与微生物学分析:一项回顾性研究
Cureus. 2021 May 24;13(5):e15214. doi: 10.7759/cureus.15214.
2
Could the Gut Microbiota Serve as a Therapeutic Target in Ischemic Stroke?肠道微生物群能否作为缺血性中风的治疗靶点?
Evid Based Complement Alternat Med. 2021 Apr 17;2021:1391384. doi: 10.1155/2021/1391384. eCollection 2021.
3
Distinct Age-Specific miRegulome Profiling of Isolated Small and Large Intestinal Epithelial Cells in Mice.
通过鼻腔接种或气管内接种脂多糖诱导的脑出血后肺炎大鼠模型。
Front Immunol. 2025 Jan 8;15:1477902. doi: 10.3389/fimmu.2024.1477902. eCollection 2024.
4
Gut Microbiota, Bacterial Translocation, and Stroke: Current Knowledge and Future Directions.肠道微生物群、细菌易位与中风:当前认知与未来方向
Biomedicines. 2024 Dec 6;12(12):2781. doi: 10.3390/biomedicines12122781.
5
Intestinal Akkermansia muciniphila is Beneficial to Functional Recovery Following Ischemic Stroke.肠道阿克曼氏菌黏蛋白有利于缺血性脑卒中后的功能恢复。
J Neuroimmune Pharmacol. 2024 Aug 14;19(1):43. doi: 10.1007/s11481-024-10146-6.
6
Role of the gut microbiota in complications after ischemic stroke.肠道微生物群在缺血性中风后并发症中的作用。
Front Cell Infect Microbiol. 2024 Apr 5;14:1334581. doi: 10.3389/fcimb.2024.1334581. eCollection 2024.
7
Protective effects of butyrate on cerebral ischaemic injury in animal models: a systematic review and meta-analysis.丁酸盐对动物模型脑缺血损伤的保护作用:系统评价与荟萃分析
Front Neurosci. 2024 Feb 29;18:1304906. doi: 10.3389/fnins.2024.1304906. eCollection 2024.
8
Genetically predicted causality between gut microbiota, blood metabolites, and intracerebral hemorrhage: a bidirectional Mendelian randomization study.肠道微生物群、血液代谢物与脑出血之间的遗传预测因果关系:一项双向孟德尔随机化研究。
Front Microbiol. 2024 Jan 15;15:1257405. doi: 10.3389/fmicb.2024.1257405. eCollection 2024.
9
Immune regulation of the gut-brain axis and lung-brain axis involved in ischemic stroke.参与缺血性中风的肠脑轴和肺脑轴的免疫调节。
Neural Regen Res. 2024 Mar;19(3):519-528. doi: 10.4103/1673-5374.380869.
10
Predictive effect of the decline in CD4 T cell levels in blood on infection in patients with severe hemorrhagic stroke and mechanism.血液中CD4 T细胞水平下降对重症出血性卒中患者感染的预测作用及机制
Front Neurol. 2023 Jun 9;14:1118282. doi: 10.3389/fneur.2023.1118282. eCollection 2023.
小鼠分离的小肠和大肠上皮细胞的特定年龄特异性的 miRegulome 特征分析。
Int J Mol Sci. 2021 Mar 29;22(7):3544. doi: 10.3390/ijms22073544.
4
Crosstalk between sIgA-Coated Bacteria in Infant Gut and Early-Life Health.黏膜相关恒定 T 细胞在自身免疫性疾病中的作用
Trends Microbiol. 2021 Aug;29(8):725-735. doi: 10.1016/j.tim.2021.01.012. Epub 2021 Feb 15.
5
DOCK4 stimulates MUC2 production through its effect on goblet cell differentiation.DOCK4 通过影响杯状细胞分化来刺激 MUC2 的产生。
J Cell Physiol. 2021 Sep;236(9):6507-6519. doi: 10.1002/jcp.30325. Epub 2021 Feb 8.
6
Polysaccharide of Koidz (PAMK) Alleviates Cyclophosphamide-induced Immunosuppression in Mice by Upregulating CD28/IP3R/PLCγ-1/AP-1/NFAT Signal Pathway.小柴胡多糖(PAMK)通过上调CD28/IP3R/PLCγ-1/AP-1/NFAT信号通路减轻环磷酰胺诱导的小鼠免疫抑制。
Front Pharmacol. 2020 Dec 8;11:529657. doi: 10.3389/fphar.2020.529657. eCollection 2020.
7
IP-10 and MCP-1 as biomarkers associated with disease severity of COVID-19.IP-10 和 MCP-1 作为与 COVID-19 疾病严重程度相关的生物标志物。
Mol Med. 2020 Oct 29;26(1):97. doi: 10.1186/s10020-020-00230-x.
8
Systematic Study of the Immune Components after Ischemic Stroke Using CyTOF Techniques.应用 CyTOF 技术对缺血性脑卒中后免疫成分进行系统研究。
J Immunol Res. 2020 Aug 28;2020:9132410. doi: 10.1155/2020/9132410. eCollection 2020.
9
Muc2 Mucin and Nonmucin Microbiota Confer Distinct Innate Host Defense in Disease Susceptibility and Colonic Injury.黏蛋白 2 黏蛋白和非黏蛋白微生物群赋予宿主在疾病易感性和结肠损伤中的独特先天防御。
Cell Mol Gastroenterol Hepatol. 2021;11(1):77-98. doi: 10.1016/j.jcmgh.2020.07.003. Epub 2020 Jul 10.
10
Antibiotic treatment for pneumonia complicating stroke: Recommendations from the pneumonia in stroke consensus (PISCES) group.卒中相关性肺炎的抗生素治疗:卒中肺炎共识(PISCES)组的建议
Eur Stroke J. 2019 Dec;4(4):318-328. doi: 10.1177/2396987319851335. Epub 2019 May 27.