Li Yucong, Yang Yongkang, Wang Ming, Zhang Xiaoting, Bai Shanshan, Lu Xuan, Li Yuan, Waldorff Erik I, Zhang Nianli, Lee Wayne Yuk-Wai, Li Gang
Department of Orthopaedic and Traumatology, Faculty of Medicine, The Chinese University of Hong Kong, Hong Kong, China.
Stem Cells and Regenerative Medicine Laboratory, Li Ka Shing Institute of Health Sciences, The Chinese University of Hong Kong, Prince of Wales Hospital, Hong Kong, China.
Bone Joint Res. 2021 Dec;10(12):767-779. doi: 10.1302/2046-3758.1012.BJR-2021-0274.R1.
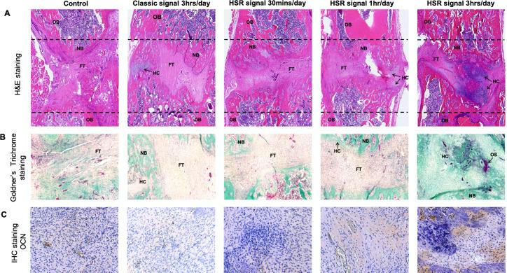
Distraction osteogenesis (DO) is a useful orthopaedic procedure employed to lengthen and reshape bones by stimulating bone formation through controlled slow stretching force. Despite its promising applications, difficulties are still encountered. Our previous study demonstrated that pulsed electromagnetic field (PEMF) treatment significantly enhances bone mineralization and neovascularization, suggesting its potential application. The current study compared a new, high slew rate (HSR) PEMF signal, with different treatment durations, with the standard Food and Drug Administration (FDA)-approved signal, to determine if HSR PEMF is a better alternative for bone formation augmentation.
The effects of a HSR PEMF signal with three daily treatment durations (0.5, one, and three hours/day) were investigated in an established rat DO model with comparison of an FDA-approved classic signal (three hrs/day). PEMF treatments were applied to the rats daily for 35 days, starting from the distraction phase until termination. Radiography, micro-CT (μCT), biomechanical tests, and histological examinations were employed to evaluate the quality of bone formation.
All rats tolerated the treatment well and no obvious adverse effects were found. By comparison, the HSR signal (three hrs/day) treatment group achieved the best healing outcome, in that endochondral ossification and bone consolidation were enhanced. In addition, HSR signal treatment (one one hr/day) had similar effects to treatment using the classic signal (three three hrs/day), indicating that treatment duration could be significantly shortened with the HSR signal.
HSR signal may significantly enhance bone formation and shorten daily treatment duration in DO, making it a potential candidate for a new clinical protocol for patients undergoing DO treatments. Cite this article: 2021;10(12):767-779.
牵张成骨术(DO)是一种有用的骨科手术,通过可控的缓慢牵张力刺激骨形成,从而延长和重塑骨骼。尽管其应用前景广阔,但仍存在一些困难。我们之前的研究表明,脉冲电磁场(PEMF)治疗可显著增强骨矿化和新生血管形成,提示其潜在应用价值。本研究将一种新的高转换率(HSR)PEMF信号与不同的治疗持续时间,与美国食品药品监督管理局(FDA)批准的标准信号进行比较,以确定HSR PEMF是否是增强骨形成的更好选择。
在已建立的大鼠DO模型中,研究了每日三种治疗持续时间(0.5、1和3小时/天)的HSR PEMF信号的效果,并与FDA批准的经典信号(3小时/天)进行比较。从牵张期开始直至结束,每天对大鼠进行PEMF治疗,持续35天。采用X线摄影、显微CT(μCT)、生物力学测试和组织学检查来评估骨形成质量。
所有大鼠对治疗耐受性良好,未发现明显不良反应。相比之下,HSR信号(3小时/天)治疗组获得了最佳愈合结果,软骨内成骨和骨巩固得到增强。此外,HSR信号治疗(1小时/天)与经典信号治疗(3小时/天)效果相似,表明HSR信号可显著缩短治疗持续时间。
HSR信号可能显著增强DO中的骨形成并缩短每日治疗持续时间,使其成为DO治疗患者新临床方案的潜在候选者。引用本文:2021;10(12):767 - 779。