• 文献检索
  • 文档翻译
  • 深度研究
  • 学术资讯
  • Suppr Zotero 插件Zotero 插件
  • 邀请有礼
  • 套餐&价格
  • 历史记录
应用&插件
Suppr Zotero 插件Zotero 插件浏览器插件Mac 客户端Windows 客户端微信小程序
定价
高级版会员购买积分包购买API积分包
服务
文献检索文档翻译深度研究API 文档MCP 服务
关于我们
关于 Suppr公司介绍联系我们用户协议隐私条款
关注我们

Suppr 超能文献

核心技术专利:CN118964589B侵权必究
粤ICP备2023148730 号-1Suppr @ 2026

文献检索

告别复杂PubMed语法,用中文像聊天一样搜索,搜遍4000万医学文献。AI智能推荐,让科研检索更轻松。

立即免费搜索

文件翻译

保留排版,准确专业,支持PDF/Word/PPT等文件格式,支持 12+语言互译。

免费翻译文档

深度研究

AI帮你快速写综述,25分钟生成高质量综述,智能提取关键信息,辅助科研写作。

立即免费体验

单次新生儿照射会导致甲状腺内的长期基因表达变化,这可能与肿瘤发生有关。

Single neonatal irradiation induces long-term gene expression changes in the thyroid gland, which may be involved in the tumorigenesis.

机构信息

Research Institute for Radiation Biology and Medicine (RIRBM), Hiroshima University, Hiroshima, Japan.

Tissue and Histopathology Section, Atomic Bomb Disease Institute, Nagasaki University, Nagasaki, Japan.

出版信息

Sci Rep. 2021 Dec 8;11(1):23620. doi: 10.1038/s41598-021-03012-5.

DOI:10.1038/s41598-021-03012-5
PMID:34880333
原文链接:https://pmc.ncbi.nlm.nih.gov/articles/PMC8655036/
Abstract

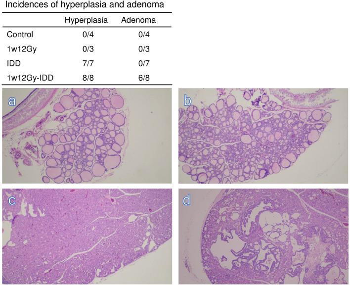
Exposure to ionizing radiation in childhood has been recognized as a risk factor for thyroid cancer. We previously demonstrated that neonatal X-irradiation induced specific deformation of the thyroid follicles. Here, we further analyzed this model to understand the possible relationship with thyroid carcinogenesis. Wistar rats were subjected to cervical X-irradiation at different ages of 1-8 weeks old and at different doses of 1.5-12 Gy. For tumor promotion, rats were fed with an iodine-deficient diet (IDD). In cervically X-irradiated neonatal rats, the size of thyroid follicles decreased, accompanied by an increase in the number of TUNEL-positive cells. Fas and Lgals3 mRNA levels increased, while Mct8 and Lat4 expressions decreased. The co-administration of IDD induced the proliferation and the upregulation in Lgals3 expression, resulting in thyroid adenoma development at 28 weeks post-exposure. Our data demonstrated that single neonatal X-irradiation induced continuous apoptotic activity in the thyroid with the long-term alternation in Fas, Mct8, Lat4, and Lgals3 mRNA expressions. Some of these changes were similar to those induced by IDD, suggesting that neonatal X-irradiation may partially act as a thyroid tumor promoter. These radiation-induced thyroidal changes may be enhanced by the combined treatment with IDD, resulting in the early development of thyroid adenoma.

摘要

儿童时期暴露于电离辐射已被认为是甲状腺癌的一个风险因素。我们之前证明,新生大鼠 X 射线照射会导致甲状腺滤泡的特异性变形。在这里,我们进一步分析了这个模型,以了解其与甲状腺癌发生的可能关系。Wistar 大鼠在 1-8 周龄时接受颈部 X 射线照射,剂量为 1.5-12Gy。为了促进肿瘤形成,大鼠给予碘缺乏饮食(IDD)。在颈部 X 射线照射的新生大鼠中,甲状腺滤泡的大小减小,同时 TUNEL 阳性细胞的数量增加。Fas 和 Lgals3 mRNA 水平增加,而 Mct8 和 Lat4 的表达减少。IDD 的共同给药诱导了细胞增殖和 Lgals3 表达的上调,导致暴露后 28 周出现甲状腺腺瘤。我们的数据表明,单次新生大鼠 X 射线照射诱导甲状腺持续的凋亡活性,长期改变 Fas、Mct8、Lat4 和 Lgals3 mRNA 的表达。其中一些变化与 IDD 诱导的变化相似,提示新生大鼠 X 射线照射可能部分充当甲状腺肿瘤促进剂。这些辐射诱导的甲状腺变化可能通过与 IDD 的联合治疗而增强,导致甲状腺腺瘤的早期发展。

https://cdn.ncbi.nlm.nih.gov/pmc/blobs/8752/8655036/62478dded94e/41598_2021_3012_Fig5_HTML.jpg
https://cdn.ncbi.nlm.nih.gov/pmc/blobs/8752/8655036/434caa398707/41598_2021_3012_Fig1_HTML.jpg
https://cdn.ncbi.nlm.nih.gov/pmc/blobs/8752/8655036/c849667c3e41/41598_2021_3012_Fig2_HTML.jpg
https://cdn.ncbi.nlm.nih.gov/pmc/blobs/8752/8655036/f51024e5d856/41598_2021_3012_Fig3_HTML.jpg
https://cdn.ncbi.nlm.nih.gov/pmc/blobs/8752/8655036/4ff6f2c247b3/41598_2021_3012_Fig4_HTML.jpg
https://cdn.ncbi.nlm.nih.gov/pmc/blobs/8752/8655036/62478dded94e/41598_2021_3012_Fig5_HTML.jpg
https://cdn.ncbi.nlm.nih.gov/pmc/blobs/8752/8655036/434caa398707/41598_2021_3012_Fig1_HTML.jpg
https://cdn.ncbi.nlm.nih.gov/pmc/blobs/8752/8655036/c849667c3e41/41598_2021_3012_Fig2_HTML.jpg
https://cdn.ncbi.nlm.nih.gov/pmc/blobs/8752/8655036/f51024e5d856/41598_2021_3012_Fig3_HTML.jpg
https://cdn.ncbi.nlm.nih.gov/pmc/blobs/8752/8655036/4ff6f2c247b3/41598_2021_3012_Fig4_HTML.jpg
https://cdn.ncbi.nlm.nih.gov/pmc/blobs/8752/8655036/62478dded94e/41598_2021_3012_Fig5_HTML.jpg

相似文献

1
Single neonatal irradiation induces long-term gene expression changes in the thyroid gland, which may be involved in the tumorigenesis.单次新生儿照射会导致甲状腺内的长期基因表达变化,这可能与肿瘤发生有关。
Sci Rep. 2021 Dec 8;11(1):23620. doi: 10.1038/s41598-021-03012-5.
2
Morphological and functional changes in neonatally X-irradiated thyroid gland in rats.新生大鼠甲状腺经 X 射线照射后的形态和功能变化。
Endocr J. 2020 Feb 28;67(2):231-240. doi: 10.1507/endocrj.EJ19-0245. Epub 2019 Nov 19.
3
Radiation-induced thyroid carcinogenesis as a function of time and dietary iodine supply: an in vivo model of tumorigenesis in the rat.辐射诱导的甲状腺致癌作用与时间及膳食碘供应的关系:大鼠肿瘤发生的体内模型
Endocrinology. 2002 Jul;143(7):2584-92. doi: 10.1210/endo.143.7.8914.
4
Comprehensive analysis for detecting radiation-specific molecules expressed during radiation-induced rat thyroid carcinogenesis.全面分析辐射诱导大鼠甲状腺癌发生过程中表达的辐射特异性分子。
J Radiat Res. 2021 May 5;62(Supplement_1):i78-i87. doi: 10.1093/jrr/rraa139.
5
Differential regulation of monocarboxylate transporter 8 expression in thyroid cancer and hyperthyroidism.甲状腺癌和甲状腺功能亢进症中单羧酸转运蛋白 8 表达的差异调节。
Eur J Endocrinol. 2017 Sep;177(3):243-250. doi: 10.1530/EJE-17-0279. Epub 2017 Jun 2.
6
Modification of dietary copper levels on the early stage of tumor-promotion with propylthiouracil in a rat two-stage thyroid carcinogenesis model.在大鼠二阶段甲状腺癌发生模型中,用丙硫氧嘧啶进行肿瘤促进早期阶段时,改变膳食铜水平的影响
Chem Biol Interact. 2009 Jul 15;180(2):262-70. doi: 10.1016/j.cbi.2009.02.002. Epub 2009 Feb 13.
7
Age-dependent effects on radiation-induced carcinogenesis in the rat thyroid.年龄依赖性对大鼠甲状腺辐射致癌的影响。
Sci Rep. 2021 Sep 27;11(1):19096. doi: 10.1038/s41598-021-98481-z.
8
Pronounced synergistic promotion of N-bis(2-hydroxypropyl)nitrosamine-initiated thyroid tumorigenesis in rats treated with excess soybean and iodine-deficient diets.在用过量大豆和缺碘饮食处理的大鼠中,显著协同促进N-双(2-羟丙基)亚硝胺引发的甲状腺肿瘤发生。
Toxicol Sci. 2005 Aug;86(2):258-63. doi: 10.1093/toxsci/kfi206. Epub 2005 May 18.
9
Large amount of vitamin A has no major effects on thyroidal hormone synthesis in two-stage rat thyroid carcinogenesis model using N-bis(2-hydroxypropyl)nitrosamine and thiourea.在使用N-双(2-羟丙基)亚硝胺和硫脲的两阶段大鼠甲状腺癌发生模型中,大量维生素A对甲状腺激素合成没有重大影响。
J Toxicol Sci. 2000 May;25(2):67-75. doi: 10.2131/jts.25.67.
10
Effect of age on the sensitivity of the rat thyroid gland to ionizing radiation.年龄对大鼠甲状腺对电离辐射敏感性的影响。
J Radiat Res. 2015 May;56(3):493-501. doi: 10.1093/jrr/rrv003. Epub 2015 Feb 16.

引用本文的文献

1
Identification of Thyroid Genes Whose Expression Is Altered by Neonatal Irradiation in Rats.鉴定大鼠中因新生儿期照射而表达发生改变的甲状腺基因。
Int J Mol Sci. 2025 Feb 21;26(5):1874. doi: 10.3390/ijms26051874.
2
Internal radiation dose estimates in organs of Wistar rats exposed to sprayed neutron-activated 31SiO2 microparticles: first results of international multicenter study.暴露于经中子活化的喷雾状31SiO2微粒的Wistar大鼠器官内辐射剂量估计:国际多中心研究的初步结果
J Radiat Res. 2024 Dec 3;65(6):744-751. doi: 10.1093/jrr/rrae063.

本文引用的文献

1
Morphological and functional changes in neonatally X-irradiated thyroid gland in rats.新生大鼠甲状腺经 X 射线照射后的形态和功能变化。
Endocr J. 2020 Feb 28;67(2):231-240. doi: 10.1507/endocrj.EJ19-0245. Epub 2019 Nov 19.
2
Papillary Thyroid Cancer: Genetic Alterations and Molecular Biomarker Investigations.甲状腺乳头状癌:遗传改变与分子生物标志物研究。
Int J Med Sci. 2019 Feb 28;16(3):450-460. doi: 10.7150/ijms.29935. eCollection 2019.
3
RADIATION AND THYROID CANCER-AN OVERVIEW.辐射与甲状腺癌——概述
Radiat Prot Dosimetry. 2018 Dec 1;182(1):53-57. doi: 10.1093/rpd/ncy146.
4
Differential regulation of monocarboxylate transporter 8 expression in thyroid cancer and hyperthyroidism.甲状腺癌和甲状腺功能亢进症中单羧酸转运蛋白 8 表达的差异调节。
Eur J Endocrinol. 2017 Sep;177(3):243-250. doi: 10.1530/EJE-17-0279. Epub 2017 Jun 2.
5
Radiation exposure and thyroid cancer: a review.辐射暴露与甲状腺癌:综述
Arch Endocrinol Metab. 2017 Mar-Apr;61(2):180-187. doi: 10.1590/2359-3997000000257. Epub 2017 Feb 16.
6
Identification of potential biomarkers and drugs for papillary thyroid cancer based on gene expression profile analysis.基于基因表达谱分析鉴定甲状腺乳头状癌的潜在生物标志物和药物。
Mol Med Rep. 2016 Dec;14(6):5041-5048. doi: 10.3892/mmr.2016.5855. Epub 2016 Oct 19.
7
Thyroid Growth and Cancer.甲状腺生长与癌症。
Eur Thyroid J. 2015 Sep;4(3):164-73. doi: 10.1159/000437263. Epub 2015 Aug 26.
8
Effect of age on the sensitivity of the rat thyroid gland to ionizing radiation.年龄对大鼠甲状腺对电离辐射敏感性的影响。
J Radiat Res. 2015 May;56(3):493-501. doi: 10.1093/jrr/rrv003. Epub 2015 Feb 16.
9
Integrated genomic characterization of papillary thyroid carcinoma.甲状腺乳头状癌的综合基因组特征分析
Cell. 2014 Oct 23;159(3):676-90. doi: 10.1016/j.cell.2014.09.050.
10
Characterization of LGALS3 (galectin-3) as a player in DNA damage response.将 LGALS3(半乳糖凝集素 3)鉴定为 DNA 损伤反应中的一个参与者。
Cancer Biol Ther. 2014 Jul;15(7):840-50. doi: 10.4161/cbt.28873. Epub 2014 Apr 22.