Suppr超能文献

吲哚咔唑 N-糖苷 LCS-1208 和 LCS-1269 的抗癌活性的分子机制。

Molecular Mechanisms of Anticancer Activity of N-Glycosides of Indolocarbazoles LCS-1208 and LCS-1269.

机构信息

N. N. Blokhin Russian Cancer Research Center, 24 Kashirskoe Shosse, 115478 Moscow, Russia.

Faculty of Biotechnology and Industrial Ecology, Mendeleev University of Chemical Technology of Russia, 9 Miusskaya Ploshchad, 125047 Moscow, Russia.

出版信息

Molecules. 2021 Dec 2;26(23):7329. doi: 10.3390/molecules26237329.

Abstract

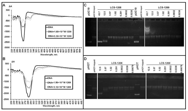
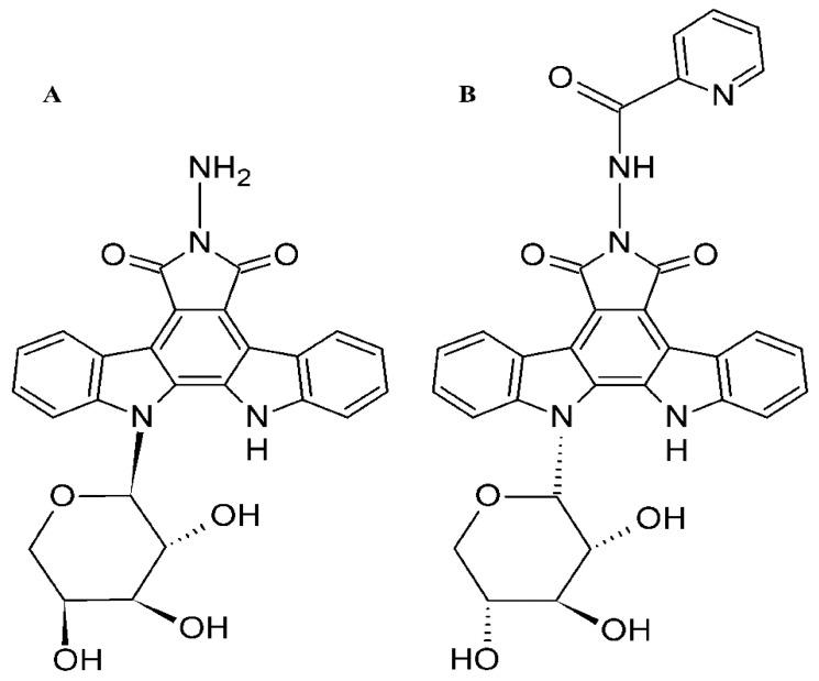
Novel indolocarbazole derivatives named LCS were synthesized by our research group. Two of them were selected as the most active anticancer agents in vivo. We studied the mechanisms of anticancer activity in accordance with the previously described effects of indolocarbazoles. Cytotoxicity was estimated by MTT assay. We analyzed LCS-DNA interactions by circular dichroism in cholesteric liquid crystals and fluorescent indicator displacement assay. The effect on the activity of topoisomerases I and II was studied by DNA relaxation assay. Expression of interferon signaling target genes was estimated by RT-PCR. Chromatin remodeling was analyzed-the effect on histone H1 localization and reactivation of epigenetically silenced genes. LCS-induced change in the expression of a wide gene set was counted by means of PCR array. Our study revealed the cytotoxic activity of the compounds against 11 cancer cell lines and it was higher than in immortalized cells. Both compounds bind DNA; binding constants were estimated-LCS-1208 demonstrated higher affinity than LCS-1269; it was shown that LCS-1208 intercalates into DNA that is typical for rebeccamycin derivatives. LCS-1208 also inhibits topoisomerases I and IIα. Being a strong intercalator and topoisomerase inhibitor, LCS-1208 upregulates the expression of interferon-induced genes. In view of LCSs binding to DNA we analyzed their influence on chromatin stability and revealed that LCS-1269 displaces histone H1. Our analysis of chromatin remodeling also included a wide set of epigenetic experiments in which LCS-1269 demonstrated complex epigenetic activity. Finally, we revealed that the antitumor effect of the compounds is based not only on binding to DNA and chromatin remodeling but also on alternative mechanisms. Both compounds induce expression changes in genes involved in neoplastic transformation and target genes of the signaling pathways in cancer cells. Despite of being structurally similar, each compound has unique biological activities. The effects of LCS-1208 are associated with intercalation. The mechanisms of LCS-1269 include influence on higher levels such as chromatin remodeling and epigenetic effects.

摘要

我们研究小组合成了一种新型吲哚咔唑衍生物,命名为 LCS。其中两种被选为体内最有效的抗癌药物。我们根据吲哚咔唑的先前描述的作用研究了抗癌活性的机制。通过 MTT 测定法估计细胞毒性。我们通过胆甾相液晶中的圆二色性和荧光指示剂置换测定分析 LCS-DNA 相互作用。通过 DNA 松弛测定研究了对拓扑异构酶 I 和 II 的影响。通过 RT-PCR 估计干扰素信号靶基因的表达。分析染色质重塑 - 对组蛋白 H1 定位的影响和表观遗传沉默基因的重新激活。通过 PCR 阵列计数 LCS 诱导的广泛基因集的表达变化。我们的研究揭示了化合物对 11 种癌细胞系的细胞毒性活性,其活性高于永生化细胞。两种化合物均与 DNA 结合;估计结合常数 - LCS-1208 比 LCS-1269 具有更高的亲和力;表明 LCS-1208 嵌入到 Rebecca 霉素衍生物典型的 DNA 中。LCS-1208 还抑制拓扑异构酶 I 和 IIα。作为一种强嵌入剂和拓扑异构酶抑制剂,LCS-1208 上调干扰素诱导基因的表达。鉴于 LCS 与 DNA 结合,我们分析了它们对染色质稳定性的影响,并发现 LCS-1269 置换组蛋白 H1。我们还对染色质重塑进行了广泛的表观遗传实验分析,其中 LCS-1269 表现出复杂的表观遗传活性。最后,我们揭示了化合物的抗肿瘤作用不仅基于与 DNA 和染色质重塑的结合,还基于替代机制。两种化合物都诱导参与肿瘤转化的基因和癌细胞中信号通路的靶基因的表达变化。尽管结构相似,但每种化合物都具有独特的生物学活性。LCS-1208 的作用与嵌入有关。LCS-1269 的机制包括对更高层次的影响,如染色质重塑和表观遗传效应。

https://cdn.ncbi.nlm.nih.gov/pmc/blobs/8be3/8658795/be1a1940a1e6/molecules-26-07329-g001.jpg

相似文献

2
Methylenedioxy- and ethylenedioxy-fused indolocarbazoles: potent human topoisomerase I inhibitors and antitumor agents.
Anticancer Agents Med Chem. 2012 Nov;12(9):1117-31. doi: 10.2174/187152012803529628.
3
Indolocarbazole glycosides in inactive conformations.
Chembiochem. 2003 May 9;4(5):386-95. doi: 10.1002/cbic.200200478.
4
DNA cleavage by topoisomerase I in the presence of indolocarbazole derivatives of rebeccamycin.
Biochemistry. 1997 Apr 1;36(13):3917-29. doi: 10.1021/bi9624898.
8
Syntheses and biological activities of rebeccamycin analogues with uncommon sugars.
J Med Chem. 2005 Apr 7;48(7):2600-11. doi: 10.1021/jm0493764.
9
DNA binding and topoisomerase I poisoning activities of novel disaccharide indolocarbazoles.
Mol Pharmacol. 2002 Nov;62(5):1215-27. doi: 10.1124/mol.62.5.1215.
10
Synthesis and identification of novel indolo[2,3-a]pyrimido[5,4-c]carbazoles as a new class of anti-cancer agents.
Eur J Med Chem. 2012 Oct;56:292-300. doi: 10.1016/j.ejmech.2012.08.002. Epub 2012 Aug 10.

本文引用的文献

1
HeLa TI cell-based assay as a new approach to screen for chemicals able to reactivate the expression of epigenetically silenced genes.
PLoS One. 2021 Jun 11;16(6):e0252504. doi: 10.1371/journal.pone.0252504. eCollection 2021.
2
Chemistry and Properties of Indolocarbazoles.
Chem Rev. 2018 Sep 26;118(18):9058-9128. doi: 10.1021/acs.chemrev.8b00186. Epub 2018 Sep 7.
4
5
Natural Compounds as Anticancer Agents Targeting DNA Topoisomerases.
Curr Genomics. 2017 Feb;18(1):75-92. doi: 10.2174/1389202917666160808125213.
6
Wnt Signaling and Colorectal Cancer.
Curr Colorectal Cancer Rep. 2017 Apr;13(2):101-110. doi: 10.1007/s11888-017-0354-9. Epub 2017 Feb 28.
8
Lymphangiogenesis and colorectal cancer.
Saudi Med J. 2017 Mar;38(3):237-244. doi: 10.15537/smj.2017.3.16245.
9
Activation of cGAS-dependent antiviral responses by DNA intercalating agents.
Nucleic Acids Res. 2017 Jan 9;45(1):198-205. doi: 10.1093/nar/gkw878. Epub 2016 Sep 29.
10
HDACs and HDAC Inhibitors in Cancer Development and Therapy.
Cold Spring Harb Perspect Med. 2016 Oct 3;6(10):a026831. doi: 10.1101/cshperspect.a026831.

文献AI研究员

20分钟写一篇综述,助力文献阅读效率提升50倍。

立即体验

用中文搜PubMed

大模型驱动的PubMed中文搜索引擎

马上搜索

文档翻译

学术文献翻译模型,支持多种主流文档格式。

立即体验