Suppr超能文献

Smad7 通过抑制 TGF-β 和 ErbB2 抑制成肌纤维细胞激活,从而预防心肌梗死后心力衰竭。

Smad7 effects on TGF-β and ErbB2 restrain myofibroblast activation and protect from postinfarction heart failure.

机构信息

The Wilf Family Cardiovascular Research Institute, Department of Medicine (Cardiology), Albert Einstein College of Medicine, Bronx, New York, USA.

Herman B. Wells Center for Pediatric Research, Indiana University School of Medicine, Indianapolis, Indiana, USA.

出版信息

J Clin Invest. 2022 Feb 1;132(3). doi: 10.1172/JCI146926.

Abstract

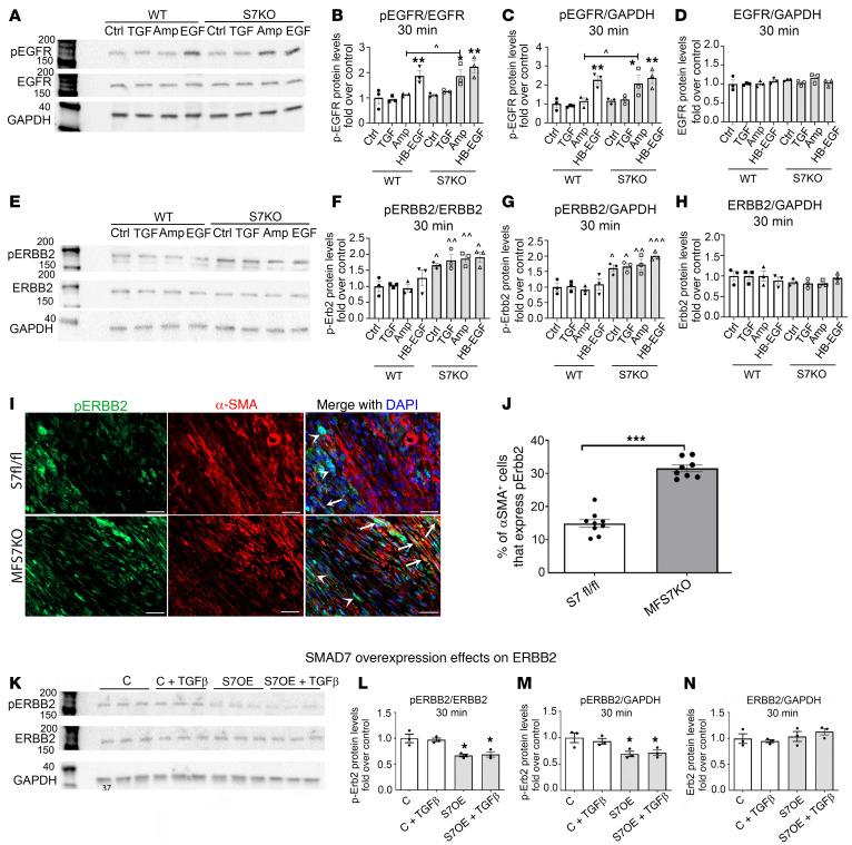
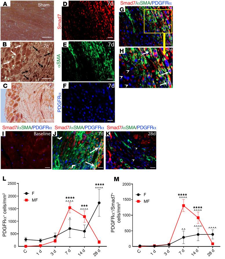
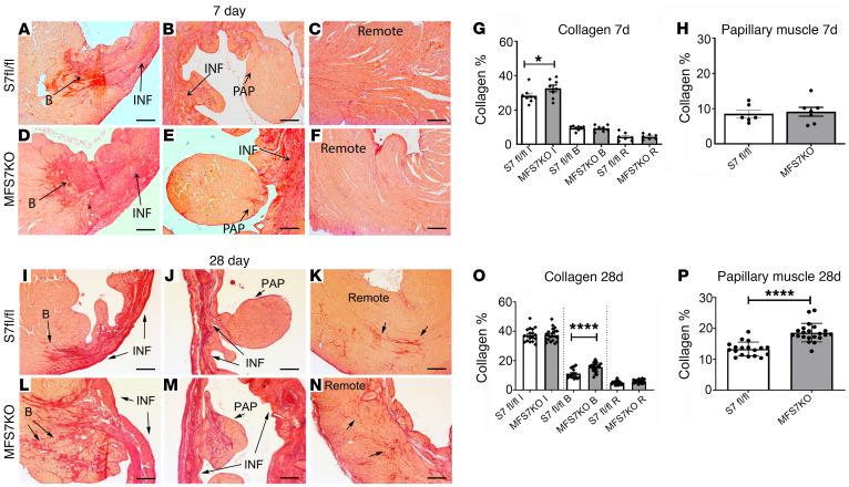
Repair of the infarcted heart requires TGF-β/Smad3 signaling in cardiac myofibroblasts. However, TGF-β-driven myofibroblast activation needs to be tightly regulated in order to prevent excessive fibrosis and adverse remodeling that may precipitate heart failure. We hypothesized that induction of the inhibitory Smad, Smad7, may restrain infarct myofibroblast activation, and we examined the molecular mechanisms of Smad7 actions. In a mouse model of nonreperfused infarction, Smad3 activation triggered Smad7 synthesis in α-SMA+ infarct myofibroblasts, but not in α-SMA-PDGFRα+ fibroblasts. Myofibroblast-specific Smad7 loss increased heart failure-related mortality, worsened dysfunction, and accentuated fibrosis in the infarct border zone and in the papillary muscles. Smad7 attenuated myofibroblast activation and reduced synthesis of structural and matricellular extracellular matrix proteins. Smad7 effects on TGF-β cascades involved deactivation of Smad2/3 and non-Smad pathways, without any effects on TGF-β receptor activity. Unbiased transcriptomic and proteomic analysis identified receptor tyrosine kinase signaling as a major target of Smad7. Smad7 interacted with ErbB2 in a TGF-β-independent manner and restrained ErbB1/ErbB2 activation, suppressing fibroblast expression of fibrogenic proteases, integrins, and CD44. Smad7 induction in myofibroblasts serves as an endogenous TGF-β-induced negative feedback mechanism that inhibits postinfarction fibrosis by restraining Smad-dependent and Smad-independent TGF-β responses, and by suppressing TGF-β-independent fibrogenic actions of ErbB2.

摘要

梗死心脏的修复需要心肌成纤维细胞中的 TGF-β/Smad3 信号转导。然而,为了防止可能导致心力衰竭的过度纤维化和不利重塑,TGF-β 驱动的心肌成纤维细胞激活需要严格调控。我们假设诱导抑制性 Smad,Smad7,可以抑制梗死心肌成纤维细胞的激活,并研究了 Smad7 作用的分子机制。在非再灌注性梗死的小鼠模型中,Smad3 激活触发了α-SMA+梗死心肌成纤维细胞中 Smad7 的合成,但在α-SMA-PDGFRα+成纤维细胞中没有。心肌成纤维细胞特异性 Smad7 缺失增加了心力衰竭相关死亡率,使梗死边缘区和乳头肌的功能障碍恶化,并加重纤维化。Smad7 减弱了心肌成纤维细胞的激活,并减少了结构和基质细胞外基质蛋白的合成。Smad7 对 TGF-β 级联的影响涉及 Smad2/3 和非 Smad 途径的失活,而对 TGF-β 受体活性没有任何影响。无偏倚的转录组学和蛋白质组学分析确定了受体酪氨酸激酶信号转导是 Smad7 的主要靶标。Smad7 以 TGF-β 非依赖性的方式与 ErbB2 相互作用,并抑制 ErbB1/ErbB2 的激活,从而抑制成纤维细胞表达纤维生成蛋白酶、整合素和 CD44。心肌成纤维细胞中 Smad7 的诱导是 TGF-β 诱导的负反馈机制的一种,通过抑制 Smad 依赖性和 Smad 非依赖性的 TGF-β 反应以及抑制 TGF-β 非依赖性的 ErbB2 纤维生成作用,抑制梗死后纤维化。

https://cdn.ncbi.nlm.nih.gov/pmc/blobs/29b6/8803336/130143dec32f/jci-132-146926-g041.jpg

文献检索

告别复杂PubMed语法,用中文像聊天一样搜索,搜遍4000万医学文献。AI智能推荐,让科研检索更轻松。

立即免费搜索

文件翻译

保留排版,准确专业,支持PDF/Word/PPT等文件格式,支持 12+语言互译。

免费翻译文档

深度研究

AI帮你快速写综述,25分钟生成高质量综述,智能提取关键信息,辅助科研写作。

立即免费体验