• 文献检索
  • 文档翻译
  • 深度研究
  • 学术资讯
  • Suppr Zotero 插件Zotero 插件
  • 邀请有礼
  • 套餐&价格
  • 历史记录
应用&插件
Suppr Zotero 插件Zotero 插件浏览器插件Mac 客户端Windows 客户端微信小程序
定价
高级版会员购买积分包购买API积分包
服务
文献检索文档翻译深度研究API 文档MCP 服务
关于我们
关于 Suppr公司介绍联系我们用户协议隐私条款
关注我们

Suppr 超能文献

核心技术专利:CN118964589B侵权必究
粤ICP备2023148730 号-1Suppr @ 2026

文献检索

告别复杂PubMed语法,用中文像聊天一样搜索,搜遍4000万医学文献。AI智能推荐,让科研检索更轻松。

立即免费搜索

文件翻译

保留排版,准确专业,支持PDF/Word/PPT等文件格式,支持 12+语言互译。

免费翻译文档

深度研究

AI帮你快速写综述,25分钟生成高质量综述,智能提取关键信息,辅助科研写作。

立即免费体验

细菌延伸因子Tu的新特性

Novel properties of bacterial elongation factor Tu.

作者信息

Beck B D, Arscott P G, Jacobson A

出版信息

Proc Natl Acad Sci U S A. 1978 Mar;75(3):1250-4. doi: 10.1073/pnas.75.3.1250.

DOI:10.1073/pnas.75.3.1250
PMID:349562
原文链接:https://pmc.ncbi.nlm.nih.gov/articles/PMC411448/
Abstract

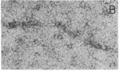
We have characterized novel properties of the bacterial protein synthesis elongation factor Tu which indicate that it may function as a structural protein. Under appropriate conditions, elongation factor Tu polymerizes to form filaments and, more often, bundles of filaments. It is also the predominant component of a complex of proteins from Escherichia coli that undergoes reversible polymerization in the presence of KCl and MgCl2. In addition, purified elongation factor Tu binds tightly to DNase I in the presence of 10 mM MgCl2. In crude extracts the factor shows no binding in the presence or absence of MgCl2. These properties suggest that elongation factor Tu may have certain actin-like properties and that it has cellular functions other than its role in protein synthesis.

摘要

我们已经对细菌蛋白质合成延伸因子Tu的新特性进行了表征,这些特性表明它可能作为一种结构蛋白发挥作用。在适当条件下,延伸因子Tu会聚合形成细丝,更常见的是形成细丝束。它也是来自大肠杆菌的一组蛋白质复合物的主要成分,该复合物在氯化钾和氯化镁存在的情况下会发生可逆聚合。此外,在10 mM氯化镁存在的情况下,纯化的延伸因子Tu会与脱氧核糖核酸酶I紧密结合。在粗提物中,无论有无氯化镁,该因子均无结合现象。这些特性表明,延伸因子Tu可能具有某些肌动蛋白样特性,并且它在细胞中除了在蛋白质合成中发挥作用外,还具有其他功能。

https://cdn.ncbi.nlm.nih.gov/pmc/blobs/a594/411448/813ce7dd82ba/pnas00015-0215-g.jpg
https://cdn.ncbi.nlm.nih.gov/pmc/blobs/a594/411448/0701fb570ad1/pnas00015-0213-a.jpg
https://cdn.ncbi.nlm.nih.gov/pmc/blobs/a594/411448/38145dccf8fe/pnas00015-0213-b.jpg
https://cdn.ncbi.nlm.nih.gov/pmc/blobs/a594/411448/a47bc1e017b3/pnas00015-0214-a.jpg
https://cdn.ncbi.nlm.nih.gov/pmc/blobs/a594/411448/b5c1b8a96f32/pnas00015-0215-a.jpg
https://cdn.ncbi.nlm.nih.gov/pmc/blobs/a594/411448/9af48a264643/pnas00015-0215-b.jpg
https://cdn.ncbi.nlm.nih.gov/pmc/blobs/a594/411448/9695fe8422b1/pnas00015-0215-c.jpg
https://cdn.ncbi.nlm.nih.gov/pmc/blobs/a594/411448/df2aa3cfbd85/pnas00015-0215-d.jpg
https://cdn.ncbi.nlm.nih.gov/pmc/blobs/a594/411448/bccfd0455363/pnas00015-0215-e.jpg
https://cdn.ncbi.nlm.nih.gov/pmc/blobs/a594/411448/64c2c7baf3e1/pnas00015-0215-f.jpg
https://cdn.ncbi.nlm.nih.gov/pmc/blobs/a594/411448/813ce7dd82ba/pnas00015-0215-g.jpg
https://cdn.ncbi.nlm.nih.gov/pmc/blobs/a594/411448/0701fb570ad1/pnas00015-0213-a.jpg
https://cdn.ncbi.nlm.nih.gov/pmc/blobs/a594/411448/38145dccf8fe/pnas00015-0213-b.jpg
https://cdn.ncbi.nlm.nih.gov/pmc/blobs/a594/411448/a47bc1e017b3/pnas00015-0214-a.jpg
https://cdn.ncbi.nlm.nih.gov/pmc/blobs/a594/411448/b5c1b8a96f32/pnas00015-0215-a.jpg
https://cdn.ncbi.nlm.nih.gov/pmc/blobs/a594/411448/9af48a264643/pnas00015-0215-b.jpg
https://cdn.ncbi.nlm.nih.gov/pmc/blobs/a594/411448/9695fe8422b1/pnas00015-0215-c.jpg
https://cdn.ncbi.nlm.nih.gov/pmc/blobs/a594/411448/df2aa3cfbd85/pnas00015-0215-d.jpg
https://cdn.ncbi.nlm.nih.gov/pmc/blobs/a594/411448/bccfd0455363/pnas00015-0215-e.jpg
https://cdn.ncbi.nlm.nih.gov/pmc/blobs/a594/411448/64c2c7baf3e1/pnas00015-0215-f.jpg
https://cdn.ncbi.nlm.nih.gov/pmc/blobs/a594/411448/813ce7dd82ba/pnas00015-0215-g.jpg

相似文献

1
Novel properties of bacterial elongation factor Tu.细菌延伸因子Tu的新特性
Proc Natl Acad Sci U S A. 1978 Mar;75(3):1250-4. doi: 10.1073/pnas.75.3.1250.
2
Polymerization of the bacterial elongation factor for protein synthesis, EF-Tu.
Eur J Biochem. 1979 Jul;97(2):495-502. doi: 10.1111/j.1432-1033.1979.tb13137.x.
3
Characterization of regular polymerization products of elongation factor EF-Tu from Escherichia coli by electron microscopy and image processing.
J Mol Biol. 1981 Dec 5;153(2):477-86. doi: 10.1016/0022-2836(81)90293-x.
4
Effects of mutagenesis of Gln97 in the switch II region of Escherichia coli elongation factor Tu on its interaction with guanine nucleotides, elongation factor Ts, and aminoacyl-tRNA.大肠杆菌延伸因子Tu的开关II区域中谷氨酰胺97突变对其与鸟嘌呤核苷酸、延伸因子Ts及氨酰-tRNA相互作用的影响。
Biochemistry. 2003 Nov 25;42(46):13587-95. doi: 10.1021/bi034855a.
5
Specific peptide-activated proteolytic cleavage of Escherichia coli elongation factor Tu.大肠杆菌延伸因子Tu的特异性肽激活蛋白水解切割
Proc Natl Acad Sci U S A. 1998 Mar 17;95(6):2891-5. doi: 10.1073/pnas.95.6.2891.
6
Cross-linking of tRNA at two different sites of the elongation factor Tu.在延伸因子Tu的两个不同位点处tRNA的交联。
Proc Natl Acad Sci U S A. 1984 Jul;81(13):3969-72. doi: 10.1073/pnas.81.13.3969.
7
Biochemical and structural studies of the tetragonal crystalline modification of the Escherichia coli elongation factor Tu.大肠杆菌延伸因子Tu四方晶型的生化与结构研究。
J Biol Chem. 1980 Jul 25;255(14):6751-7.
8
Translation elongation factor EF-Tu modulates filament formation of actin-like MreB protein in vitro.翻译延伸因子EF-Tu在体外调节肌动蛋白样MreB蛋白的丝状体形成。
J Mol Biol. 2015 Apr 24;427(8):1715-27. doi: 10.1016/j.jmb.2015.01.025. Epub 2015 Feb 10.
9
Paracrystalline arrays of protein-synthesis elongation factor Tu. Comparison with polymerized actin.
Eur J Biochem. 1978 Aug 1;88(2):593-7. doi: 10.1111/j.1432-1033.1978.tb12485.x.
10
GTP-binding membrane protein of Escherichia coli with sequence homology to initiation factor 2 and elongation factors Tu and G.与起始因子2以及延伸因子Tu和G具有序列同源性的大肠杆菌GTP结合膜蛋白。
Proc Natl Acad Sci U S A. 1985 Nov;82(22):7500-4. doi: 10.1073/pnas.82.22.7500.

引用本文的文献

1
Spontaneous mutations in hlyD and tuf genes result in resistance of Dickeya solani IPO 2222 to phage ϕD5 but cause decreased bacterial fitness and virulence in planta.hlyD 和 tuf 基因的自发突变导致 Dickeya solani IPO 2222 对噬菌体 ϕD5 产生抗性,但导致细菌在植物体内的适应性和毒力降低。
Sci Rep. 2023 May 9;13(1):7534. doi: 10.1038/s41598-023-34803-7.
2
Probiotic Gastrointestinal Transit and Colonization After Oral Administration: A Long Journey.口服益生菌后的胃肠道转运和定植:一段漫长的旅程。
Front Cell Infect Microbiol. 2021 Mar 10;11:609722. doi: 10.3389/fcimb.2021.609722. eCollection 2021.
3
Deciphering Additional Roles for the EF-Tu, l-Asparaginase II and OmpT Proteins of Shiga Toxin-Producing .

本文引用的文献

1
Protein measurement with the Folin phenol reagent.使用福林酚试剂进行蛋白质测定。
J Biol Chem. 1951 Nov;193(1):265-75.
2
Transduction of lactose-utilizing ability among strains of E. coli and S. dysenteriae and the properties of the transducing phage particles.大肠杆菌和痢疾志贺氏菌菌株间乳糖利用能力的转导及转导噬菌体颗粒的特性
Virology. 1960 Nov;12:348-90. doi: 10.1016/0042-6822(60)90161-6.
3
Diffusion-in-gel methods for immunological analysis.用于免疫分析的凝胶扩散法。
解析产志贺毒素大肠杆菌的延伸因子Tu、L-天冬酰胺酶II和外膜蛋白酶T的其他作用
Microorganisms. 2020 Aug 4;8(8):1184. doi: 10.3390/microorganisms8081184.
4
Gallibacterium elongation factor-Tu possesses amyloid-like protein characteristics, participates in cell adhesion, and is present in biofilms.嘉利雅菌伸长因子-Tu 具有淀粉样蛋白特性,参与细胞黏附,并存在于生物膜中。
J Microbiol. 2017 Sep;55(9):745-752. doi: 10.1007/s12275-017-7077-0. Epub 2017 Sep 2.
5
Elongation factor Tu on Escherichia coli isolated from urine of kidney stone patients promotes calcium oxalate crystal growth and aggregation.从肾结石患者尿液中分离的大肠杆菌中的延伸因子 Tu 可促进草酸钙晶体生长和聚集。
Sci Rep. 2017 Jun 7;7(1):2953. doi: 10.1038/s41598-017-03213-x.
6
Description of a novel adhesin of Mycobacterium avium subsp. paratuberculosis.副结核分枝杆菌鸟亚种一种新型黏附素的描述。
Biomed Res Int. 2014;2014:729618. doi: 10.1155/2014/729618. Epub 2014 Jul 22.
7
Mutations in cell elongation genes mreB, mrdA and mrdB suppress the shape defect of RodZ-deficient cells.细胞伸长基因 mreB、mrdA 和 mrdB 的突变可抑制 RodZ 缺陷细胞的形态缺陷。
Mol Microbiol. 2013 Mar;87(5):1029-44. doi: 10.1111/mmi.12148. Epub 2013 Jan 21.
8
Offense and defense: microbial membrane vesicles play both ways.攻守兼备:微生物膜泡两面派。
Res Microbiol. 2012 Nov-Dec;163(9-10):607-18. doi: 10.1016/j.resmic.2012.10.020. Epub 2012 Oct 30.
9
Immunospecific responses to bacterial elongation factor Tu during Burkholderia infection and immunization.在伯克霍尔德氏菌感染和免疫过程中针对细菌延伸因子 Tu 的免疫特异性反应。
PLoS One. 2010 Dec 17;5(12):e14361. doi: 10.1371/journal.pone.0014361.
10
Proteomic evaluation of biological nanoparticles isolated from human kidney stones and calcified arteries.从人肾结石和钙化动脉中分离的生物纳米粒子的蛋白质组学评价。
Acta Biomater. 2010 Oct;6(10):4065-72. doi: 10.1016/j.actbio.2010.05.004. Epub 2010 May 11.
Prog Allergy. 1958;5:1-78.
4
Cleavage of structural proteins during the assembly of the head of bacteriophage T4.在噬菌体T4头部组装过程中结构蛋白的切割
Nature. 1970 Aug 15;227(5259):680-5. doi: 10.1038/227680a0.
5
Precipitation of proteins by vinblastine and calcium ions.长春碱和钙离子对蛋白质的沉淀作用。
Proc Natl Acad Sci U S A. 1970 Jul;66(3):807-14. doi: 10.1073/pnas.66.3.807.
6
The reactions of the sulfhydryl groups on the elongation factors Tu and Ts.延伸因子Tu和Ts上巯基的反应。
Arch Biochem Biophys. 1971 May;144(1):115-21. doi: 10.1016/0003-9861(71)90460-7.
7
Studies on the purification and properties of factor Tu from E. coli.大肠杆菌中Tu因子的纯化及性质研究
Arch Biochem Biophys. 1970 Nov;141(1):26-37. doi: 10.1016/0003-9861(70)90102-5.
8
Bacteriophage Q replicase contains the protein biosynthesis elongation factors EF Tu and EF Ts.噬菌体Q复制酶包含蛋白质生物合成延伸因子EF Tu和EF Ts。
Proc Natl Acad Sci U S A. 1972 May;69(5):1313-7. doi: 10.1073/pnas.69.5.1313.
9
Elongation factors EF Tu and EF G interact at related sites on ribosomes.延伸因子EF Tu和EF G在核糖体上的相关位点相互作用。
Proc Natl Acad Sci U S A. 1972 Mar;69(3):752-5. doi: 10.1073/pnas.69.3.752.
10
Biochemical and structural studies of actomyosin-like proteins from non-muscle cells. II. Purification, properties, and membrane association of actin from amoebae of Dictyostelium discoideum.非肌肉细胞中肌动球蛋白样蛋白的生化与结构研究。II. 盘基网柄菌变形虫肌动蛋白的纯化、特性及与膜的结合
J Biol Chem. 1974 Sep 25;249(18):6013-20.