• 文献检索
  • 文档翻译
  • 深度研究
  • 学术资讯
  • Suppr Zotero 插件Zotero 插件
  • 邀请有礼
  • 套餐&价格
  • 历史记录
应用&插件
Suppr Zotero 插件Zotero 插件浏览器插件Mac 客户端Windows 客户端微信小程序
定价
高级版会员购买积分包购买API积分包
服务
文献检索文档翻译深度研究API 文档MCP 服务
关于我们
关于 Suppr公司介绍联系我们用户协议隐私条款
关注我们

Suppr 超能文献

核心技术专利:CN118964589B侵权必究
粤ICP备2023148730 号-1Suppr @ 2026

文献检索

告别复杂PubMed语法,用中文像聊天一样搜索,搜遍4000万医学文献。AI智能推荐,让科研检索更轻松。

立即免费搜索

文件翻译

保留排版,准确专业,支持PDF/Word/PPT等文件格式,支持 12+语言互译。

免费翻译文档

深度研究

AI帮你快速写综述,25分钟生成高质量综述,智能提取关键信息,辅助科研写作。

立即免费体验

新辅助化疗导致的营养状况损害预测根治性膀胱切除术后并发症。

Nutritional Status Impairment Due to Neoadjuvant Chemotherapy Predicts Post-Radical Cystectomy Complications.

机构信息

Department of Urology, Chaim Sheba Medical Center, Tel Hashomer, Ramat Gan 5266202, Israel.

Sackler Faculty of Medicine, Tel Aviv University, Tel Aviv 6997801, Israel.

出版信息

Nutrients. 2021 Dec 14;13(12):4471. doi: 10.3390/nu13124471.

DOI:10.3390/nu13124471
PMID:34960023
原文链接:https://pmc.ncbi.nlm.nih.gov/articles/PMC8708207/
Abstract

BACKGROUND

Radical cystectomy (RC) is the standard treatment for muscle invasive bladder cancer (MIBC). Neoadjuvant chemotherapy (NAC) is associated with improved patient survival. The impact of NAC on nutritional status is understudied, while the association between malnutrition and poor surgical outcomes is well known. This study aims to examine the association between NAC, nutritional status impairment, and post-operative morbidity.

MATERIALS AND METHODS

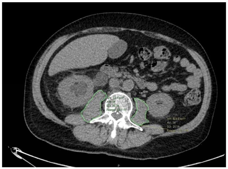
We included MIBC patients who underwent RC and received NAC from multiple academic centers in Israel. Cross-sectional imaging was used to measure the psoas muscle area and normalized it by height (smooth muscle index, SMI). Pre- and post-NAC SMI difference was calculated (represents nutritional status change). The primary outcomes were post-RC ileus, infection, and a composite outcome of any complication. Logistic regression models were fit to identify independent predictors of the outcomes.

RESULTS

Ninety-one patients were included in the study. The median SMI change was -0.71 (-1.58, -0.06) cm/m. SMI decline was significantly higher in patients with post-RC complications (-18 vs. -203, < 0.001). SMI change was an independent predictor of all complications, ileus, infection, and other complications. The accuracy of SMI change for predicting all complications, ileus, infection, and other complications was 0.85, 0.87, 0.75, and 0.86, respectively.

CONCLUSIONS

NAC-related nutritional deterioration is associated with increased risk of complications after RC. Our results hint towards the need for nutritional intervention during NAC prior to RC.

摘要

背景

根治性膀胱切除术(RC)是肌层浸润性膀胱癌(MIBC)的标准治疗方法。新辅助化疗(NAC)可提高患者生存率。NAC 对营养状况的影响研究较少,而营养不良与手术不良结局的关系是众所周知的。本研究旨在探讨 NAC、营养状况受损与术后发病率之间的关系。

材料和方法

我们纳入了在以色列多个学术中心接受 RC 并接受 NAC 的 MIBC 患者。采用横断面影像学测量竖脊肌面积,并通过身高进行归一化(平滑肌肉指数,SMI)。计算 NAC 前后 SMI 的差异(代表营养状况的变化)。主要结局为 RC 后肠梗阻、感染和任何并发症的综合结局。采用逻辑回归模型确定结局的独立预测因素。

结果

本研究共纳入 91 例患者。SMI 变化的中位数为-0.71(-1.58,-0.06)cm/m。RC 后发生并发症的患者 SMI 下降幅度明显更大(-18 与-203,<0.001)。SMI 变化是所有并发症、肠梗阻、感染和其他并发症的独立预测因素。SMI 变化预测所有并发症、肠梗阻、感染和其他并发症的准确性分别为 0.85、0.87、0.75 和 0.86。

结论

NAC 相关的营养恶化与 RC 后并发症风险增加相关。我们的结果提示在 RC 前的 NAC 期间需要进行营养干预。

https://cdn.ncbi.nlm.nih.gov/pmc/blobs/92fc/8708207/ea84b2e49ea5/nutrients-13-04471-g004.jpg
https://cdn.ncbi.nlm.nih.gov/pmc/blobs/92fc/8708207/1a7f121fae34/nutrients-13-04471-g001.jpg
https://cdn.ncbi.nlm.nih.gov/pmc/blobs/92fc/8708207/366de7e58c09/nutrients-13-04471-g002.jpg
https://cdn.ncbi.nlm.nih.gov/pmc/blobs/92fc/8708207/fdb1af7d8d21/nutrients-13-04471-g003.jpg
https://cdn.ncbi.nlm.nih.gov/pmc/blobs/92fc/8708207/ea84b2e49ea5/nutrients-13-04471-g004.jpg
https://cdn.ncbi.nlm.nih.gov/pmc/blobs/92fc/8708207/1a7f121fae34/nutrients-13-04471-g001.jpg
https://cdn.ncbi.nlm.nih.gov/pmc/blobs/92fc/8708207/366de7e58c09/nutrients-13-04471-g002.jpg
https://cdn.ncbi.nlm.nih.gov/pmc/blobs/92fc/8708207/fdb1af7d8d21/nutrients-13-04471-g003.jpg
https://cdn.ncbi.nlm.nih.gov/pmc/blobs/92fc/8708207/ea84b2e49ea5/nutrients-13-04471-g004.jpg

相似文献

1
Nutritional Status Impairment Due to Neoadjuvant Chemotherapy Predicts Post-Radical Cystectomy Complications.新辅助化疗导致的营养状况损害预测根治性膀胱切除术后并发症。
Nutrients. 2021 Dec 14;13(12):4471. doi: 10.3390/nu13124471.
2
Impact of sarcopenia status of muscle-invasive bladder cancer patients on kidney function after neoadjuvant chemotherapy.肌层浸润性膀胱癌患者的肌肉减少症状况对新辅助化疗后肾功能的影响。
Minerva Urol Nephrol. 2021 Apr;73(2):215-224. doi: 10.23736/S2724-6051.20.03616-4. Epub 2020 Feb 19.
3
Neoadjuvant chemotherapy for bladder cancer does not increase risk of perioperative morbidity.膀胱癌新辅助化疗不会增加围手术期发病风险。
BJU Int. 2014 Aug;114(2):221-8. doi: 10.1111/bju.12585. Epub 2014 Mar 14.
4
Genomic Differences Between "Primary" and "Secondary" Muscle-invasive Bladder Cancer as a Basis for Disparate Outcomes to Cisplatin-based Neoadjuvant Chemotherapy.原发性和继发性肌层浸润性膀胱癌之间的基因组差异是基于顺铂为基础的新辅助化疗疗效差异的基础。
Eur Urol. 2019 Feb;75(2):231-239. doi: 10.1016/j.eururo.2018.09.002. Epub 2018 Oct 2.
5
Sarcopenia and Response to Neoadjuvant Chemotherapy for Muscle-Invasive Bladder Cancer.肌肉减少症与肌层浸润性膀胱癌新辅助化疗的反应。
Clin Genitourin Cancer. 2019 Jun;17(3):216-222.e5. doi: 10.1016/j.clgc.2019.03.007. Epub 2019 Mar 25.
6
[Impact of neoadjuvant chemotherapy on the peri-operative morbidity of radical cystectomy for muscle invasive bladder cancer].[新辅助化疗对肌层浸润性膀胱癌根治性膀胱切除术围手术期发病率的影响]
Prog Urol. 2018 Sep;28(10):495-501. doi: 10.1016/j.purol.2018.06.002. Epub 2018 Jul 8.
7
Meta-analysis of neoadjuvant chemotherapy compared to radical cystectomy alone in improving overall survival of muscle-invasive bladder cancer patients.新辅助化疗对比单纯根治性膀胱切除术改善肌层浸润性膀胱癌患者总生存的荟萃分析。
BMC Urol. 2020 Oct 14;20(1):158. doi: 10.1186/s12894-020-00733-z.
8
Cystectomy vs. bladder preservation after neoadjuvant chemotherapy in muscle-invasive bladder cancer: A tertiary medical center experience.新辅助化疗后肌层浸润性膀胱癌行膀胱切除术与膀胱保留术的比较:一家三级医疗中心的经验。
Cancer Treat Res Commun. 2020;25:100222. doi: 10.1016/j.ctarc.2020.100222. Epub 2020 Oct 10.
9
Neoadjuvant Chemotherapy Does Not Increase the Morbidity of Radical Cystectomy: A 10-year Retrospective Nationwide Study.新辅助化疗不会增加根治性膀胱切除术的发病率:一项 10 年回顾性全国研究。
Eur Urol Oncol. 2018 Dec;1(6):525-530. doi: 10.1016/j.euo.2018.06.014. Epub 2018 Jul 14.
10
Randomised phase III study of neoadjuvant chemotherapy with methotrexate, doxorubicin, vinblastine and cisplatin followed by radical cystectomy compared with radical cystectomy alone for muscle-invasive bladder cancer: Japan Clinical Oncology Group Study JCOG0209.随机 III 期研究:新辅助化疗(甲氨蝶呤、多柔比星、长春碱和顺铂)联合根治性膀胱切除术与单独根治性膀胱切除术治疗肌层浸润性膀胱癌的比较:日本临床肿瘤学组研究 JCOG0209。
Ann Oncol. 2014 Jun;25(6):1192-8. doi: 10.1093/annonc/mdu126. Epub 2014 Mar 24.

引用本文的文献

1
Malnutrition Prevalence and Its Implications on Surgical and Oncological Outcomes in Advanced Ovarian Cancer Patients: A Comprehensive Analysis.晚期卵巢癌患者的营养不良患病率及其对外科手术和肿瘤学结局的影响:一项综合分析
Obstet Gynecol Int. 2025 May 10;2025:2918759. doi: 10.1155/ogi/2918759. eCollection 2025.
2
Textbook oncological outcome of locally advanced gastric cancer patients with preoperative sarcopenia: a multicenter clinical study.术前存在肌肉减少症的局部晚期胃癌患者的教科书式肿瘤学结局:一项多中心临床研究。
Surg Endosc. 2025 Jan;39(1):356-367. doi: 10.1007/s00464-024-11397-3. Epub 2024 Nov 15.
3
Risk factor analysis and nomogram construction of postoperative complications for patients with locally advanced gastric cancer who received neoadjuvant immunotherapy and chemotherapy.

本文引用的文献

1
Cancer Statistics, 2021.癌症统计数据,2021.
CA Cancer J Clin. 2021 Jan;71(1):7-33. doi: 10.3322/caac.21654. Epub 2021 Jan 12.
2
Variable selection strategies and its importance in clinical prediction modelling.变量选择策略及其在临床预测模型中的重要性。
Fam Med Community Health. 2020 Feb 16;8(1):e000262. doi: 10.1136/fmch-2019-000262. eCollection 2020.
3
Robot-assisted Radical Cystectomy Versus Open Radical Cystectomy: A Meta-analysis of Oncologic, Perioperative, and Complication-related outcomes.机器人辅助根治性膀胱切除术与开放性根治性膀胱切除术:肿瘤学、围手术期和并发症相关结局的荟萃分析。
接受新辅助免疫治疗和化疗的局部晚期胃癌患者术后并发症的危险因素分析及列线图构建
Front Med (Lausanne). 2024 Jul 26;11:1405704. doi: 10.3389/fmed.2024.1405704. eCollection 2024.
4
Sarcopenia is associated with leukopenia in urothelial carcinoma patients who receive tislelizumab combined with gemcitabine and cisplatin therapy.在接受替雷利珠单抗联合吉西他滨和顺铂治疗的尿路上皮癌患者中,肌肉减少症与白细胞减少症相关。
Int J Clin Oncol. 2024 May;29(5):592-601. doi: 10.1007/s10147-023-02448-1. Epub 2024 Mar 22.
5
Immunonutrition in Radical Cystectomy: State of the Art and Perspectives.根治性膀胱切除术中的免疫营养:现状与展望
Cancers (Basel). 2023 Jul 24;15(14):3747. doi: 10.3390/cancers15143747.
6
Sarcopenia in Urinary Bladder Cancer: Definition, Prevalence and Prognostic Value in Survival.膀胱癌中的肌肉减少症:定义、患病率及生存预后价值
Maedica (Bucur). 2022 Jun;17(2):427-435. doi: 10.26574/maedica.2022.17.2.427.
7
Preoperative Nutritional Risk Assessment for Predicting Complications after Radical Cystectomy plus Urinary Diversion for Bladder Cancer.术前营养风险评估对预测膀胱癌根治性膀胱切除术加尿流改道术后并发症的作用
Emerg Med Int. 2022 Aug 16;2022:2901189. doi: 10.1155/2022/2901189. eCollection 2022.
8
Neoadjuvant Treatment in Muscle-Invasive Bladder Cancer: From the Beginning to the Latest Developments.肌层浸润性膀胱癌的新辅助治疗:从起源到最新进展
Front Oncol. 2022 Jul 22;12:912699. doi: 10.3389/fonc.2022.912699. eCollection 2022.
Eur Urol Oncol. 2019 Jul;2(4):443-447. doi: 10.1016/j.euo.2018.10.008. Epub 2018 Nov 16.
4
Adverse impact of malnutrition markers on major abdominopelvic cancer surgery.营养不良指标对主要腹部盆腔癌症手术的不良影响。
ANZ J Surg. 2019 May;89(5):509-514. doi: 10.1111/ans.15129. Epub 2019 Apr 8.
5
Early Complications and Mortality following Radical Cystectomy: Associations with Malnutrition and Obesity.根治性膀胱切除术后的早期并发症和死亡率:与营养不良和肥胖的关联
Bladder Cancer. 2018 Oct 29;4(4):377-388. doi: 10.3233/BLC-180173.
6
Clinical Impact of Neoadjuvant Therapy on Nutritional Status in Pancreatic Cancer.新辅助治疗对胰腺癌患者营养状况的临床影响。
Ann Surg Oncol. 2018 Oct;25(11):3365-3371. doi: 10.1245/s10434-018-6699-8. Epub 2018 Aug 10.
7
[Effect of neoadjuvant chemotherapy on nutritional status of locally advanced gastric cancer].新辅助化疗对局部进展期胃癌营养状况的影响
Zhonghua Wei Chang Wai Ke Za Zhi. 2018 Mar 25;21(3):331-335.
8
Preoperative nutritional factors and outcomes after radical cystectomy: A narrative review.根治性膀胱切除术后的术前营养因素与结局:一项叙述性综述。
Can Urol Assoc J. 2017 Dec;11(12):419-424. doi: 10.5489/cuaj.4471. Epub 2017 Nov 1.
9
Prospective Evaluation of Nutritional Factors to Predict the Risk of Complications for Patients Undergoing Radical Cystectomy: A Cohort Study.预测根治性膀胱切除术患者并发症风险的营养因素前瞻性评估:一项队列研究
Nutr Cancer. 2017 Nov-Dec;69(8):1196-1204. doi: 10.1080/01635581.2017.1367941. Epub 2017 Oct 30.
10
The Need for Standardized Assessment of Muscle Quality in Skeletal Muscle Function Deficit and Other Aging-Related Muscle Dysfunctions: A Symposium Report.骨骼肌功能缺陷及其他与衰老相关的肌肉功能障碍中肌肉质量标准化评估的必要性:研讨会报告
Front Physiol. 2017 Feb 15;8:87. doi: 10.3389/fphys.2017.00087. eCollection 2017.