• 文献检索
  • 文档翻译
  • 深度研究
  • 学术资讯
  • Suppr Zotero 插件Zotero 插件
  • 邀请有礼
  • 套餐&价格
  • 历史记录
应用&插件
Suppr Zotero 插件Zotero 插件浏览器插件Mac 客户端Windows 客户端微信小程序
定价
高级版会员购买积分包购买API积分包
服务
文献检索文档翻译深度研究API 文档MCP 服务
关于我们
关于 Suppr公司介绍联系我们用户协议隐私条款
关注我们

Suppr 超能文献

核心技术专利:CN118964589B侵权必究
粤ICP备2023148730 号-1Suppr @ 2026

文献检索

告别复杂PubMed语法,用中文像聊天一样搜索,搜遍4000万医学文献。AI智能推荐,让科研检索更轻松。

立即免费搜索

文件翻译

保留排版,准确专业,支持PDF/Word/PPT等文件格式,支持 12+语言互译。

免费翻译文档

深度研究

AI帮你快速写综述,25分钟生成高质量综述,智能提取关键信息,辅助科研写作。

立即免费体验

合并肾脏受累的肉芽肿性多血管炎:一例病例报告及文献复习

Granulomatous Polyangiitis With Renal Involvement: A Case Report and Review of Literature.

作者信息

Koritala Thoyaja, Mene-Afejuku Tuoyo O, Schaefer Matthew, Dondapati Lavanya, Pleshkova Yelena, Yasmin Farah, Mushtaq Hisham Ahmed, Khedr Anwar, Adhikari Ramesh, Al Mutair Abbas, Alhumaid Saad, Rabaan Ali A, Al-Tawfiq Jaffar A, Jain Nitesh K, Khan Syed Anjum, Kashyap Rahul, Surani Salim

机构信息

Hospital Medicine, Mayo Clinic, Mankato, USA.

Radiology, Mayo Clinic, Mankato, USA.

出版信息

Cureus. 2021 Nov 22;13(11):e19814. doi: 10.7759/cureus.19814. eCollection 2021 Nov.

DOI:10.7759/cureus.19814
PMID:34963834
原文链接:https://pmc.ncbi.nlm.nih.gov/articles/PMC8695666/
Abstract

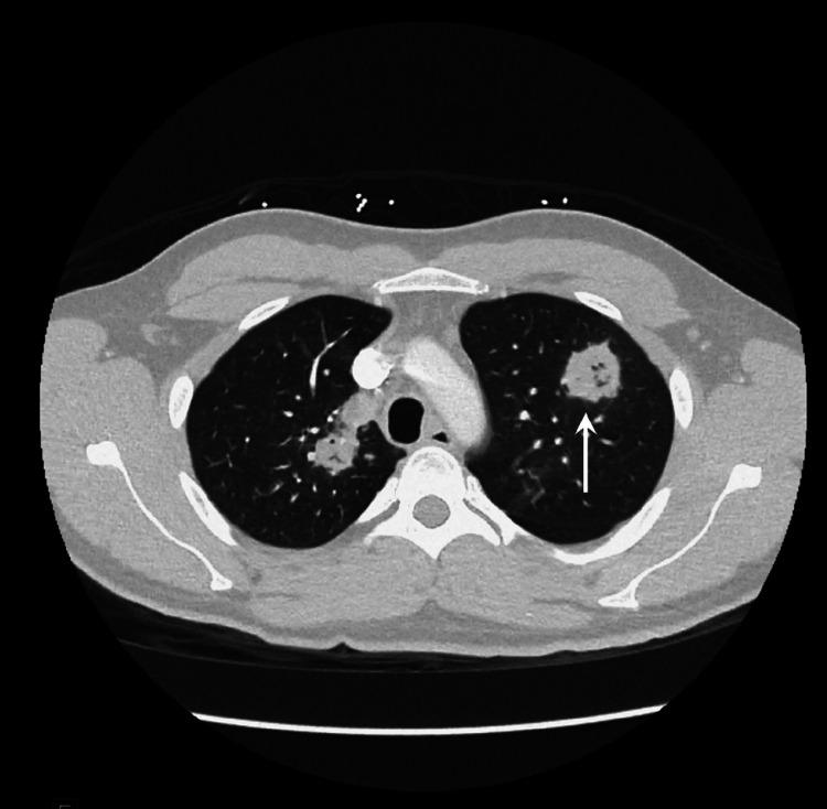
Granulomatosis with polyangiitis (GPA), formerly named Wegner's granulomatosis is an antineutrophilic cytoplasmic antibody (ANCA) associated vasculitis of the small vessels. GPA can affect several organ systems even though predominantly affects respiratory and renal systems. Pathogenesis is initiated by activation of the immune system to produce ANCA, Cytoplasmic (C-ANCA) antibody, which thereby leads to widespread necrosis and granulomatous inflammation. Multisystem involvement with varied symptomatology makes GPA diagnosis more challenging. Early diagnosis and management are vital and can alter the prognosis of the disease. We present a literature review and a clinical scenario of a 26-year-old male with a history of chronic sinusitis, testicular carcinoma in remission, recent onset of worsening cough, epistaxis, hoarseness of voice, weight loss, and dark-colored urine. Workup revealed high titers of C-ANCA, C-reactive protein, procalcitonin, CT chest evidence of mass-like consolidation, and bronchoscopy findings of friable tissue that was not amenable for biopsy. Methylprednisolone and rituximab (RTX) were administered, which resulted in marked clinical improvement. Therefore, a keen eye for details is necessary to diagnose GPA early, which can improve disease outcomes dramatically.

摘要

肉芽肿性多血管炎(GPA),以前称为韦格纳肉芽肿,是一种与抗中性粒细胞胞浆抗体(ANCA)相关的小血管血管炎。GPA可累及多个器官系统,尽管主要影响呼吸系统和肾脏系统。发病机制始于免疫系统激活产生ANCA,即胞浆型(C-ANCA)抗体,从而导致广泛的坏死和肉芽肿性炎症。多系统受累及多种症状表现使得GPA的诊断更具挑战性。早期诊断和治疗至关重要,可改变疾病的预后。我们呈现一篇文献综述以及一名26岁男性的临床病例,该患者有慢性鼻窦炎病史、睾丸癌缓解期、近期咳嗽加重、鼻出血、声音嘶哑、体重减轻及深色尿。检查发现C-ANCA、C反应蛋白、降钙素原高滴度,胸部CT有团块状实变证据,支气管镜检查发现组织脆弱不宜活检。给予甲泼尼龙和利妥昔单抗(RTX)治疗后,临床症状明显改善。因此,早期诊断GPA需要敏锐关注细节,这可显著改善疾病预后。

https://cdn.ncbi.nlm.nih.gov/pmc/blobs/b417/8695666/933dfb4375bb/cureus-0013-00000019814-i03.jpg
https://cdn.ncbi.nlm.nih.gov/pmc/blobs/b417/8695666/d49b302e227e/cureus-0013-00000019814-i01.jpg
https://cdn.ncbi.nlm.nih.gov/pmc/blobs/b417/8695666/eccad46afeb9/cureus-0013-00000019814-i02.jpg
https://cdn.ncbi.nlm.nih.gov/pmc/blobs/b417/8695666/933dfb4375bb/cureus-0013-00000019814-i03.jpg
https://cdn.ncbi.nlm.nih.gov/pmc/blobs/b417/8695666/d49b302e227e/cureus-0013-00000019814-i01.jpg
https://cdn.ncbi.nlm.nih.gov/pmc/blobs/b417/8695666/eccad46afeb9/cureus-0013-00000019814-i02.jpg
https://cdn.ncbi.nlm.nih.gov/pmc/blobs/b417/8695666/933dfb4375bb/cureus-0013-00000019814-i03.jpg

相似文献

1
Granulomatous Polyangiitis With Renal Involvement: A Case Report and Review of Literature.合并肾脏受累的肉芽肿性多血管炎:一例病例报告及文献复习
Cureus. 2021 Nov 22;13(11):e19814. doi: 10.7759/cureus.19814. eCollection 2021 Nov.
2
A Runny Nose Leads to a Rare Diagnosis: Chronic Sinusitis as a Sole Manifestation of Limited Granulomatosis With Polyangiitis.流涕引发罕见诊断:慢性鼻窦炎作为局限性肉芽肿性多血管炎的唯一表现
Cureus. 2023 May 18;15(5):e39203. doi: 10.7759/cureus.39203. eCollection 2023 May.
3
A Diagnostic Dilemma of a Case of Granulomatosis With Polyangiitis (GPA) Presenting With Thrombotic Vasculopathy.一例以血栓性血管病为表现的肉芽肿性多血管炎(GPA)病例的诊断困境
Cureus. 2023 Jan 31;15(1):e34479. doi: 10.7759/cureus.34479. eCollection 2023 Jan.
4
Challenges in Managing Newly Diagnosed Granulomatosis With Polyangiitis and Concurrent Respiratory Infections: A Retrospective Case Series.新诊断的肉芽肿性多血管炎合并呼吸道感染的管理挑战:一项回顾性病例系列研究
Cureus. 2024 Aug 7;16(8):e66412. doi: 10.7759/cureus.66412. eCollection 2024 Aug.
5
Limited granulomatosis with polyangiitis presenting as an isolated lung lesion.局限型肉芽肿伴多血管炎表现为孤立性肺病变。
Indian J Pathol Microbiol. 2020 Oct-Dec;63(4):611-614. doi: 10.4103/IJPM.IJPM_831_19.
6
Seronegative Granulomatosis With Polyangiitis With Isolated Lung Lesions: A Case Report.血清阴性肉芽肿性多血管炎伴孤立性肺部病变:一例报告
Cureus. 2024 May 5;16(5):e59692. doi: 10.7759/cureus.59692. eCollection 2024 May.
7
Granulomatosis with Polyangiitis (GPA) in a 15-year-old Girl with Facial Acne-like Ulcers: A Case Report.15 岁女孩面部痤疮样溃疡:一例 GPA 病例报告。
Infect Disord Drug Targets. 2020;20(6):932-936. doi: 10.2174/1871526519666191115105036.
8
Gastric presentation (vasculitis) mimics a gastric cancer as initial symptom in granulomatosis with polyangiitis: a case report and review of the literature.以胃部表现(血管炎)为首发症状的肉芽肿性多血管炎酷似胃癌:一例报告并文献复习
Rheumatol Int. 2015 Nov;35(11):1925-9. doi: 10.1007/s00296-015-3334-x. Epub 2015 Aug 7.
9
Adolescent with severe granulomatosis with polyangiitis: a case report.青少年重症肉芽肿性多血管炎:病例报告。
Pan Afr Med J. 2021 Mar 18;38:285. doi: 10.11604/pamj.2021.38.285.26893. eCollection 2021.
10
Tension Pneumothorax as Initial Manifestation of Granulomatosis with Polyangiitis (GPA).张力性气胸作为肉芽肿性多血管炎(GPA)的初始表现
Eur J Case Rep Intern Med. 2021 Feb 11;8(3):002304. doi: 10.12890/2021_002304. eCollection 2021.

引用本文的文献

1
A Curious Case of Pediatric Granulomatosis and Polyangiitis.小儿肉芽肿性多血管炎的一个罕见病例
Cureus. 2025 Apr 25;17(4):e82968. doi: 10.7759/cureus.82968. eCollection 2025 Apr.
2
A Rare Case of Limited Granulomatosis with Polyangiitis Presenting as Bilateral Parotitis.一例表现为双侧腮腺炎的局限性肉芽肿性多血管炎罕见病例。
Eur J Case Rep Intern Med. 2024 Dec 9;11(12):004992. doi: 10.12890/2024_004992. eCollection 2024.
3
Granulomatosis With Polyangiitis: Cardiac, Renal, and Respiratory Involvement.肉芽肿性多血管炎:心脏、肾脏及呼吸系统受累情况

本文引用的文献

1
Alveolar haemorrhage in ANCA-associated vasculitis: Long-term outcome and mortality predictors.抗中性粒细胞胞质抗体相关性血管炎的肺泡出血:长期预后和死亡预测因素。
J Autoimmun. 2020 Mar;108:102397. doi: 10.1016/j.jaut.2019.102397. Epub 2020 Jan 9.
2
Granulomatosis with Polyangiitis (Wegener's Granulomatosis): Evolving Concepts in Treatment.肉芽肿性多血管炎(韦格纳肉芽肿病):治疗中的新概念。
Semin Respir Crit Care Med. 2018 Aug;39(4):434-458. doi: 10.1055/s-0038-1660874. Epub 2018 Nov 7.
3
Symmetric polyarthritis as an initial symptom in granulomatosis with polyangiitis: A report of six cases and review of the literature.
Cureus. 2024 Jun 2;16(6):e61529. doi: 10.7759/cureus.61529. eCollection 2024 Jun.
4
Rare case of spontaneous rupture of renal artery secondary to wegner granulomatosis.韦格纳肉芽肿继发肾动脉自发性破裂的罕见病例。
Urol Case Rep. 2023 Dec 7;52:102631. doi: 10.1016/j.eucr.2023.102631. eCollection 2024 Jan.
5
Granulomatosis with polyangiitis with salivary glands involvement: Presenting a case and describing its clinical, pathophysiological, and therapeutic aspects.累及唾液腺的肉芽肿性多血管炎:病例报告并描述其临床、病理生理及治疗方面
Clin Case Rep. 2023 Jul 13;11(7):e7703. doi: 10.1002/ccr3.7703. eCollection 2023 Jul.
6
Atlantoaxial instability and cervical noninfectious spondylodiscitis in a patient with Wegener's granulomatosis: A case report.韦格纳肉芽肿病患者的寰枢椎不稳和颈椎非感染性脊椎椎间盘炎:一例报告
Clin Case Rep. 2022 Apr 4;10(4):e05675. doi: 10.1002/ccr3.5675. eCollection 2022 Apr.
以对称性多关节炎为首发症状的肉芽肿性多血管炎:6例报告并文献复习
Eur J Rheumatol. 2018 Sep;5(3):191-193. doi: 10.5152/eurjrheum.2018.17050. Epub 2018 Apr 19.
4
Epidemiology and Outcomes of Granulomatosis With Polyangiitis in Pediatric and Working-Age Adult Populations In the United States: Analysis of a Large National Claims Database.美国儿童和成年工作人群中肉芽肿性多血管炎的流行病学和结局:一项大型全国性索赔数据库分析。
Arthritis Rheumatol. 2018 Dec;70(12):2067-2076. doi: 10.1002/art.40577.
5
Avoidance of Harm From Treatment for ANCA-Associated Vasculitis.避免抗中性粒细胞胞浆抗体相关性血管炎治疗带来的伤害。
Curr Treatm Opt Rheumatol. 2017;3(4):230-243. doi: 10.1007/s40674-017-0082-y. Epub 2017 Nov 13.
6
Central Nervous System Disease in Antineutrophil Cytoplasmic Antibodies-Associated Vasculitis.抗中性粒细胞胞浆抗体相关血管炎中的中枢神经系统疾病
Rheum Dis Clin North Am. 2017 Nov;43(4):573-578. doi: 10.1016/j.rdc.2017.06.006.
7
Anti-neutrophil cytoplasmic antibody-associated vasculitis: prevalence, treatment, and outcomes.抗中性粒细胞胞浆抗体相关性血管炎:患病率、治疗和结局。
Rheumatol Int. 2017 Nov;37(11):1779-1788. doi: 10.1007/s00296-017-3818-y. Epub 2017 Sep 27.
8
Accuracy of Magnetic Resonance Imaging for Grading of Subglottic Stenosis in Patients With Granulomatosis With Polyangiitis: Correlation With Pulmonary Function Tests and Laryngoscopy.磁共振成像在评估肉芽肿性多血管炎患者声门下狭窄分级中的准确性:与肺功能检查和喉镜的相关性。
Arthritis Care Res (Hoboken). 2018 May;70(5):777-784. doi: 10.1002/acr.23332. Epub 2018 Apr 2.
9
ANCA-associated vasculitis with renal involvement.抗中性粒细胞胞质抗体相关性血管炎伴肾损害。
J Nephrol. 2018 Apr;31(2):197-208. doi: 10.1007/s40620-017-0412-z. Epub 2017 May 30.
10
Pituitary dysfunction in granulomatosis with polyangiitis.肉芽肿性多血管炎的垂体功能障碍。
Pituitary. 2017 Oct;20(5):594-601. doi: 10.1007/s11102-017-0811-0.