Suppr超能文献

伴有循环绒毛状淋巴细胞的脾B细胞淋巴瘤:脾脏肿大的B细胞白血病的鉴别诊断

Splenic B cell lymphoma with circulating villous lymphocytes: differential diagnosis of B cell leukaemias with large spleens.

作者信息

Melo J V, Hegde U, Parreira A, Thompson I, Lampert I A, Catovsky D

出版信息

J Clin Pathol. 1987 Jun;40(6):642-51. doi: 10.1136/jcp.40.6.642.

Abstract

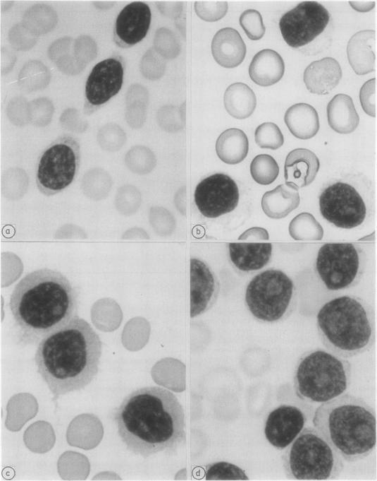
The clinical, haematological, morphological and histological features of a series of 22 patients presenting with splenic lymphoma with circulating villous lymphocytes were assessed and compared with those of patients with other forms of chronic B cell leukaemia in an attempt to differentiate this condition from hairy cell leukaemia, prolymphocytic leukaemia, and chronic lymphocytic leukaemia, with which this condition has many features in common. The disease was twice as common in men than in women, with a mean (SD) age at diagnosis of 72 (9) years, and the most consistent presenting feature was massive enlargement of the spleen, which showed white and red pulp disease with a plasmacytic component. Small monoclonal bands were found in 60% of cases.

摘要

对22例呈现脾淋巴瘤伴循环绒毛淋巴细胞的患者的临床、血液学、形态学和组织学特征进行了评估,并与其他形式的慢性B细胞白血病患者的特征进行比较,以试图将这种疾病与毛细胞白血病、原淋巴细胞白血病和慢性淋巴细胞白血病区分开来,这种疾病与它们有许多共同特征。该疾病在男性中的发病率是女性的两倍,诊断时的平均(标准差)年龄为72(9)岁,最一致的表现特征是脾脏肿大,呈现白髓和红髓病变并伴有浆细胞成分。60%的病例中发现了小的单克隆条带。

https://cdn.ncbi.nlm.nih.gov/pmc/blobs/e8b7/1141055/442bdaa5c7f0/jclinpath00326-0054-a.jpg

文献检索

告别复杂PubMed语法,用中文像聊天一样搜索,搜遍4000万医学文献。AI智能推荐,让科研检索更轻松。

立即免费搜索

文件翻译

保留排版,准确专业,支持PDF/Word/PPT等文件格式,支持 12+语言互译。

免费翻译文档

深度研究

AI帮你快速写综述,25分钟生成高质量综述,智能提取关键信息,辅助科研写作。

立即免费体验